Cleve

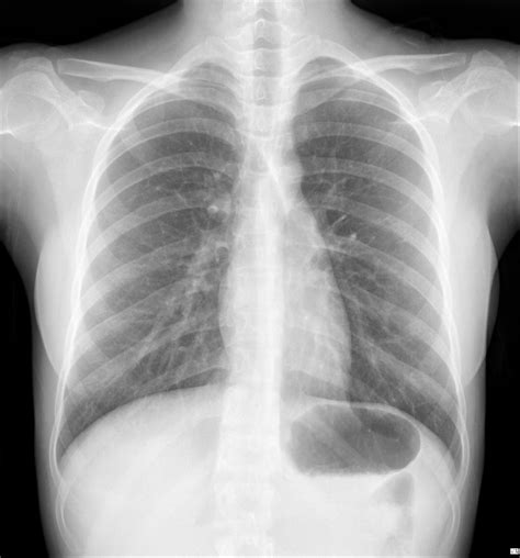
Abnormal Chest X Ray

Abnormal Chest X Ray

Receiving news of an abnormal chest X-ray can be an unsettling experience, often triggering immediate anxiety about what it means for your health. A chest X-ray is one of the most common diagnostic imaging tests performed in medicine, providing a detailed snapshot of your heart, lungs, airways, blood vessels, and the bones of your spine and chest. When a radiologist identifies something that does not fit the standard pattern of a "clear" or "normal" scan, they classify it as abnormal. However, it is crucial to understand that an abnormal chest X-ray is not a definitive diagnosis of a disease; rather, it is a finding that requires further investigation and clinical correlation by your healthcare provider.

What Does an Abnormal Chest X-Ray Mean?

An abnormal chest X-ray simply indicates that the image shows something unexpected or different from the typical anatomy. Because X-rays use ionizing radiation to create images, they rely on differences in density to create contrast. Denser structures, like bones, appear white, while air-filled structures, like healthy lungs, appear dark. When a shadow, spot, or change in structure appears where it shouldn't, or where a normal structure is distorted, the result is flagged.

Common findings that lead to this classification include:

  • Nodules or masses: Small spots or larger lumps in the lung tissue.
  • Consolidation: Areas where the lung tissue is filled with fluid instead of air, often indicative of pneumonia.
  • Pleural effusion: An accumulation of fluid in the space between the lungs and the chest wall.
  • Enlarged heart (cardiomegaly): When the heart appears larger than normal on the film.
  • Infiltrates: Substances, such as blood, pus, or protein, that have settled into the lung tissue.

Common Causes of Abnormal Findings

The reasons behind an abnormal chest X-ray are vast, ranging from minor, temporary issues to chronic conditions that require long-term management. Some findings are incidental, meaning they are discovered while investigating an unrelated issue and may have been present for years without causing symptoms.

Category Examples of Abnormal Findings
Infections Pneumonia, Tuberculosis, Fungal infections
Cardiovascular Heart failure, Fluid overload, Aortic abnormalities
Respiratory COPD, Pulmonary edema, Lung nodules
Trauma/Structural Rib fractures, Pneumothorax (collapsed lung)

It is important to remember that radiologists are highly skilled at identifying these shadows, but they cannot always determine the exact cause without clinical context. Your age, smoking history, occupation, current symptoms—such as a persistent cough, chest pain, or fever—and previous health records all play a role in how a doctor interprets the image.

⚠️ Note: If you have recently had a chest X-ray, do not attempt to interpret the report on your own. Always wait to discuss the findings with your primary care physician, as they will synthesize the imaging results with your overall clinical picture.

Steps to Take After Receiving Your Results

If you have been told your results are abnormal, the next phase involves diagnostic clarity. Your doctor will typically guide you through a logical series of steps to determine the significance of the finding.

  • Clinical Assessment: Your doctor will perform a physical exam and review your medical history to see if the X-ray finding correlates with your symptoms.
  • Reviewing Old X-rays: This is one of the most important steps. Comparing your current X-ray to older scans can show if a spot has been there for years (and is likely benign) or if it is a new development.
  • Advanced Imaging: If the X-ray is unclear, a CT scan of the chest is often the next step. A CT scan provides much higher resolution, cross-sectional images that can better characterize the nature of an abnormal chest X-ray finding.
  • Laboratory Tests: Blood tests may be ordered to check for markers of infection or inflammation.
  • Specialist Referral: Depending on the findings, you might be referred to a pulmonologist (lung specialist) or a cardiologist.

💡 Note: In many cases, an abnormal reading is found to be a benign calcification or an old scar from a past infection that poses no health risk to the patient.

Understanding the Role of the Radiologist

The radiologist is the physician who interprets the X-ray and writes the formal report. They are looking for subtle deviations from the norm. It is common for reports to include medical terminology that can be intimidating. If your report includes words like "opacity," "density," or "lesion," it does not necessarily mean you have a serious illness. "Opacity" simply refers to an area that is whiter than the surrounding lung, while "lesion" is a general medical term for any area of abnormal tissue, which can be benign or malignant.

Because X-ray technology captures 3D structures in a 2D format, the images can sometimes be misleading due to overlapping structures, such as a rib shadow appearing over the lung. This is why, when an abnormal chest X-ray is reported, doctors often prefer to verify the finding with more sophisticated diagnostic tools rather than relying on the X-ray alone.

Preventive Health and Follow-up

Maintaining lung health is vital, regardless of the findings on a recent scan. If your abnormal chest X-ray was caused by a chronic condition like COPD or a previous infection, working closely with your healthcare team to manage that condition is the best path forward. For smokers, quitting is the single most impactful action one can take to improve lung health and reduce the risk of future abnormal findings.

Regular check-ups ensure that any changes in your health are caught early. If you have a family history of lung disease or worked in an environment with high exposure to dust, chemicals, or asbestos, be sure to inform your doctor, as this information is vital for them to contextualize your imaging results accurately.

Navigating the implications of an abnormal chest X-ray is a process that requires patience and clear communication with your medical team. While such results often cause worry, they are frequently clarified through further testing or historical comparison. By focusing on your symptoms, your medical history, and follow-up imaging like a CT scan when necessary, you can gain a complete understanding of what the findings mean for your health. Remember that most shadows or findings discovered during routine screening are manageable or turn out to be harmless variations of anatomy. Your healthcare provider is your best resource for interpreting these results and determining the most appropriate and effective plan for your ongoing wellness.

Related Terms:

  • good vs bad chest xray
  • negative chest findings meaning
  • common chest x ray findings
  • chest x ray mass
  • abnormal chest scan meaning
  • abnormal chest scan