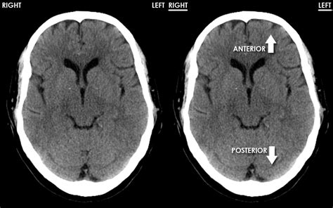
Normal Brain Ct

Normal Brain Ct

Understand what a normal brain CT scan looks like and why it is essential for ruling out neurological conditions. This guide explains imaging procedures, how radiologists interpret results, and the diagnostic significance of a clear, healthy scan when evaluating symptoms like headaches or trauma. Learn the importance of diagnostic imaging for accurate health assessments.

Read More
Upper Gi Series Test

Upper Gi Series Test

Prepare for your Upper GI series test with our comprehensive guide. Learn how this diagnostic imaging procedure uses barium contrast and X-rays to examine your esophagus, stomach, and duodenum. Discover what to expect during the exam, how to prepare, and why doctors use this imaging to identify digestive disorders and swallowing difficulties effectively.

Read More
Barium Swallow Test

Barium Swallow Test

Understand the Barium Swallow test, a diagnostic imaging procedure used to evaluate your esophagus, stomach, and pharynx. This guide explains how this fluoroscopy exam works, how to prepare, and what to expect during your gastrointestinal study. Discover how this swallow study helps doctors identify swallowing difficulties, acid reflux, and other digestive tract conditions safely and effectively.

Read More
Ligamentum Teres Liver

Ligamentum Teres Liver

Learn about the ligamentum teres liver anatomy, its clinical significance, and common imaging appearances. Discover how this remnant of the fetal umbilical vein serves as a critical anatomical landmark for radiologists and surgeons, helping to identify liver segments and diagnose underlying abdominal pathologies. Explore expert insights into its function and potential clinical implications in modern hepatobiliary medicine.

Read More
Levator Veli Palatini

Levator Veli Palatini

Discover the anatomy and function of the Levator Veli Palatini muscle. Learn how this crucial palatal muscle controls velopharyngeal closure, aids in soft palate elevation, and regulates eustachian tube function during swallowing and speech. Explore its role in oral physiology and clinical implications for speech disorders in this comprehensive guide to understanding velar movement and muscle mechanics.

Read More
Positive Likelihood Ratio

Positive Likelihood Ratio

Understand how the positive likelihood ratio improves diagnostic accuracy in clinical practice. Learn how this essential statistical tool evaluates test performance, helping clinicians interpret sensitivity, specificity, and pre-test probability to make more informed medical decisions and enhance patient outcomes. Master the calculation and clinical application of diagnostic likelihood ratios for better evidence-based healthcare.

Read More
Dieu La Foy Lesion

Dieu La Foy Lesion

Understand the diagnosis and treatment of a Dieu La Foy lesion, a rare cause of severe gastrointestinal bleeding. Learn how this submucosal vessel anomaly leads to sudden hemorrhage and discover modern endoscopic management techniques, including clipping and coagulation, essential for clinical intervention. Improve your knowledge of this critical vascular pathology and its effective medical protocols for patient safety.

Read More
Normal Common Bile Duct Size

Normal Common Bile Duct Size

Understand the normal common bile duct size to better interpret diagnostic imaging results. Our guide explains standard measurements, how biliary tree diameter changes with age and post-cholecystectomy, and when ductal dilation indicates potential health concerns like obstructions or gallstones. Learn the clinical benchmarks for healthy bile duct assessment and when to consult a medical professional for further evaluation.

Read More
Acute Osseous Abnormality

Acute Osseous Abnormality

Discover how to identify an acute osseous abnormality with our expert guide. We break down the clinical significance of sudden bone injuries, common imaging findings, and diagnostic protocols. Learn how to interpret radiologic reports and differentiate between fractures and other skeletal pathologies to ensure timely intervention and optimal patient recovery for these critical orthopedic conditions.

Read More
Thumbprint Sign Epiglottitis

Thumbprint Sign Epiglottitis

Learn how to identify the thumbprint sign on lateral neck X-rays, a critical diagnostic indicator for acute epiglottitis. This guide explains the clinical significance of this radiographic finding, essential airway management protocols, and symptoms to watch for. Discover why recognizing this hallmark sign is vital for timely intervention and preventing life-threatening upper airway obstruction in pediatric and adult patients.

Read More