Cleve

Gartner's Duct Cysts

Gartner's Duct Cysts

Discovering an unusual lump or experiencing persistent pelvic discomfort can be a source of significant anxiety. Among the various conditions that affect the female reproductive system, Gartner's duct cysts are a relatively uncommon but important diagnosis to understand. These benign, fluid-filled sacs arise from remnants of the Wolffian duct, a structure that typically regresses during fetal development. While they are often asymptomatic and discovered incidentally during routine pelvic exams or imaging, they can occasionally cause complications that require medical attention. This comprehensive guide aims to shed light on what these cysts are, how they manifest, and the options available for management.

Understanding the Origins of Gartner’s Duct Cysts

Medical illustration of pelvic anatomy

To grasp the nature of a Gartner’s duct cyst, one must look back to embryonic development. During the early stages of gestation, both male and female embryos possess primitive duct systems. In males, these develop into the reproductive tract. In females, these ducts—known as Wolffian or mesonephric ducts—usually atrophy and disappear.

However, in some cases, small portions of these ducts fail to regress completely, remaining embedded in the vaginal wall. These remnants can subsequently become obstructed, accumulate fluid, and form a cyst. Because they are derived from embryonic tissue that is not intended to persist in the adult female anatomy, they are classified as congenital anomalies. Despite their developmental origin, they are typically not noticeable until adulthood, often appearing during the reproductive years.

Common Symptoms and Clinical Presentation

In the vast majority of cases, Gartner’s duct cysts are asymptomatic. A woman may go her entire life without knowing she has one. However, if the cyst grows to a significant size, it may cause mechanical symptoms due to its position within the vaginal wall. Key clinical manifestations may include:

  • Pelvic pressure or discomfort: A persistent feeling of fullness or heaviness in the lower pelvic region.
  • Vaginal mass: A palpable, soft lump located within the vagina, often felt by the patient during intercourse or self-examination.
  • Dyspareunia: Pain or discomfort experienced during sexual intercourse due to the presence of the cyst.
  • Urinary symptoms: If a large cyst is positioned near the urethra or bladder, it may cause obstructive symptoms, such as difficulty urinating or increased frequency.
  • Dysuria: Pain or burning sensation during urination.

While these symptoms are not exclusive to this condition, their presence warrants a thorough evaluation by a healthcare provider to differentiate a Gartner's duct cyst from other vaginal cysts or masses.

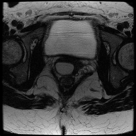
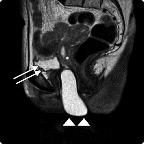
Diagnostic Procedures and Imaging

Diagnosing a Gartner’s duct cyst typically begins with a physical pelvic examination. A clinician will visually inspect and palpate the vaginal wall to assess the location, size, and consistency of the mass. Because these cysts are typically located along the anterolateral wall of the vagina, their position is a key diagnostic indicator.

To confirm the diagnosis and rule out other conditions—such as a Bartholin's gland cyst, a urethral diverticulum, or a vaginal wall malignancy—imaging studies are often utilized:

Imaging Method Purpose in Diagnosis
Transvaginal Ultrasound First-line imaging to visualize the cyst's fluid content and exact location.
Pelvic MRI Provides superior soft-tissue detail, helping to determine the origin and relation to nearby structures.
CT Scan Useful for larger cysts to assess for potential compression of adjacent pelvic organs.

⚠️ Note: Imaging is essential to accurately distinguish between a benign Gartner's duct cyst and more complex pelvic masses that may require more intensive surgical intervention.

Treatment and Management Strategies

The management approach for a Gartner’s duct cyst is highly individualized. If the cyst is small and causing no symptoms, the most common clinical approach is expectant management, also known as “watchful waiting.” In these instances, the physician may simply monitor the cyst during routine check-ups to ensure it does not increase in size or cause new symptoms.

Intervention is generally reserved for cysts that are symptomatic, infected, or causing functional impairment. Treatment options include:

  • Aspiration: The doctor uses a needle and syringe to drain the fluid from the cyst. While this provides immediate relief, it is often a temporary solution as the cyst frequently refills.
  • Marsupialization: A minor surgical procedure where an incision is made into the cyst to create a permanent opening, allowing it to drain continuously and preventing the accumulation of fluid.
  • Surgical Excision: The definitive treatment involves the complete surgical removal of the cyst. This is usually performed for large, bothersome, or recurrent cysts. Excision ensures that the cyst does not return, although it requires a more involved recovery period than aspiration.

Complications and When to Seek Medical Attention

While Gartner’s duct cysts are benign, they can occasionally become problematic. The most common complication is secondary infection, which can lead to the formation of an abscess. An abscessed cyst may cause significant pain, fever, and purulent discharge. If you experience sudden, severe pelvic pain, high fever, or significant vaginal discharge, it is crucial to seek prompt medical evaluation.

Furthermore, because a vaginal mass can occasionally be confused with other, more serious conditions, any new or growing lump in the vaginal area should be evaluated by a healthcare professional. Relying on an accurate diagnosis is the best way to ensure peace of mind and appropriate care.

💡 Note: While surgical excision is the gold standard for removing symptomatic cysts, patients should discuss the risks and benefits of surgery, including anesthesia considerations and post-operative healing, with their gynecologist.

Wrapping Up

Gartner’s duct cysts are generally benign, embryonic remnants that are often discovered during routine examinations. While they can cause discomfort when they reach a certain size, they are rarely dangerous. The key to managing these cysts lies in accurate diagnosis through physical examination and imaging, followed by a personalized treatment plan if symptoms arise. Whether the preferred path is simple observation or definitive surgical removal, understanding the nature of these cysts allows for informed decision-making and optimal health management. If you suspect you have a vaginal mass, consulting with a healthcare professional will provide clarity and help determine the best approach for your specific situation.

Related Terms:

  • gartner duct cyst on ultrasound
  • gartner duct cyst photo
  • gartner's cyst treatment
  • gartner duct cyst vs bartholin
  • gartner duct cyst anatomy
  • gartner duct cyst pathology outlines