Mayo

Hodgkins Vs Non Hodgkins

Hodgkins Vs Non Hodgkins

Receiving a diagnosis of lymphoma can be an overwhelming experience, and one of the first questions patients often have is understanding the specific type of cancer they are facing. Lymphoma is broadly categorized into two main groups: Hodgkin lymphoma and non-Hodgkin lymphoma (NHL). While both are cancers of the lymphatic system, they differ significantly in their cellular structure, how they behave, how they are treated, and their overall prognosis. Understanding the nuances of Hodgkin vs Non-Hodgkin lymphoma is essential for patients, caregivers, and anyone seeking to better comprehend these complex diseases.

Understanding the Lymphatic System

To grasp the differences between these two cancers, it is helpful to first understand the role of the lymphatic system. This system is a vital part of your immune system. It consists of a network of lymph vessels that carry lymph—a clear fluid containing infection-fighting white blood cells—throughout the body. Along these vessels are small, bean-shaped structures called lymph nodes. These nodes act as filters, trapping bacteria, viruses, and other foreign substances. Lymphoma occurs when lymphocytes, the white blood cells that fight infection, grow out of control, leading to enlarged lymph nodes and potentially affecting other organs.

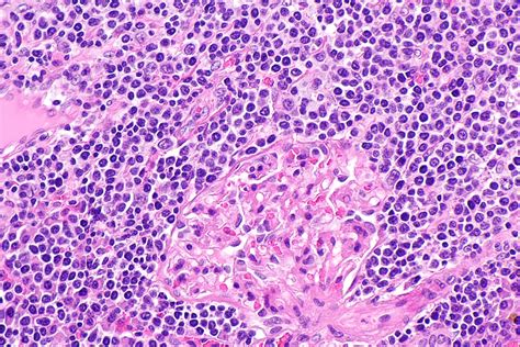
The Defining Difference: Reed-Sternberg Cells

The primary distinction between Hodgkin lymphoma and non-Hodgkin lymphoma lies in the specific type of lymphocyte involved and how they appear under a microscope. This is the cornerstone of the Hodgkin vs Non-Hodgkin classification.

  • Hodgkin Lymphoma: This type is characterized by the presence of a specific, abnormal cell called the Reed-Sternberg cell. These are large, cancerous B cells that have become abnormally large and multinucleated. If a pathologist does not find these specific cells, the diagnosis is typically categorized as non-Hodgkin lymphoma.
  • Non-Hodgkin Lymphoma: This is a more diverse group of cancers. It does not contain Reed-Sternberg cells. Instead, NHL involves a wide array of different types of abnormal lymphocytes (either B cells or T cells). Because there are so many subtypes of NHL, the behavior of the disease can vary dramatically from person to person.

Key Differences at a Glance

Because these cancers behave differently, understanding the clinical distinctions is crucial. The following table highlights the major points of divergence between the two conditions.

Feature Hodgkin Lymphoma Non-Hodgkin Lymphoma
Reed-Sternberg Cells Present Absent
Incidence Less common More common
Spread Pattern Predictable, moves from node to node Often unpredictable, can skip nodes
Age Distribution Bimodal (young adults and older adults) Risk increases steadily with age
Subtypes Fewer (mostly Classical HL) Over 60 distinct subtypes

💡 Note: While these trends are common, individual diagnoses can vary. Always consult your oncology team to discuss the specific biology of the tumor found in your biopsy, as treatment plans are highly personalized based on these findings.

Diagnostic Approaches

Diagnosing lymphoma requires a meticulous approach, usually starting with a physical examination and imaging tests like CT or PET scans. However, the definitive diagnosis is always made through a biopsy. During a biopsy, a surgeon removes a lymph node or a portion of tissue to be examined in a laboratory. A pathologist then performs specialized tests, such as immunohistochemistry, to look for the presence of Reed-Sternberg cells, helping to clarify whether the patient has Hodgkin or non-Hodgkin lymphoma. Additionally, genetic testing of the cells can help identify the specific subtype of NHL, which is critical for determining the most effective targeted therapy.

Treatment Pathways

Because the underlying biology differs, the treatment strategies for Hodgkin vs Non-Hodgkin lymphoma are distinct.

  • Treatment for Hodgkin Lymphoma: Because it often spreads in an orderly, predictable fashion, it is frequently highly responsive to radiation therapy and specific chemotherapy regimens. It is often considered one of the most curable forms of cancer.
  • Treatment for Non-Hodgkin Lymphoma: Treatment is much more variable. Depending on whether the cancer is "indolent" (slow-growing) or "aggressive" (fast-growing), doctors may utilize different strategies. Treatments include chemotherapy, radiation, immunotherapy (monoclonal antibodies), targeted drugs, and sometimes stem cell transplantation.

Symptoms and Early Detection

Both types of lymphoma often present with similar systemic symptoms. If you notice persistent swelling in the lymph nodes—typically in the neck, armpits, or groin—that does not seem to go away after an infection has cleared, it is vital to see a doctor. Other warning signs include:

  • Unexplained night sweats
  • Persistent fever
  • Unexplained weight loss
  • Constant fatigue
  • Itchy skin

💡 Note: Many of these symptoms mimic common viral infections. Do not panic if you experience one; however, if symptoms persist for more than two weeks, medical evaluation is necessary to rule out more serious conditions.

The Importance of Subtype Classification

The distinction between Hodgkin and non-Hodgkin lymphoma is only the beginning. Within the category of non-Hodgkin lymphoma, classification is incredibly complex. Subtypes are classified by whether they involve B cells or T cells, the size of the cells, and their rate of growth. Understanding your specific subtype is arguably the most important factor in predicting treatment success. For instance, an aggressive subtype may require immediate and intensive chemotherapy, whereas a slow-growing (indolent) subtype might be monitored over time using a "watch and wait" approach.

Deciphering the differences between these two conditions is a critical step in the journey toward effective treatment. While the medical terminology—like Reed-Sternberg cells or B-cell versus T-cell lymphomas—can seem daunting, these labels are the keys that allow oncologists to unlock the right treatment path for each patient. Whether dealing with a highly treatable form of Hodgkin lymphoma or a more complex subtype of non-Hodgkin lymphoma, medical advancements have drastically improved survival rates and quality of life for patients over the past several decades. If you or a loved one are facing these concerns, focusing on the specific pathology report and maintaining an open dialogue with a hematologist-oncologist will ensure you are equipped with the most accurate information to guide your care decisions.

Related Terms:

  • hodgkins vs non hodkins lymphoma
  • difference non hodgkins vs hodgkins
  • non hodgkin's lymphoma difference
  • hodgkin's vs non hodgkin's symptoms
  • non hodgkin's lymphoma treatment
  • hodgkin's vs non hodgkin's lymphoma