Rp

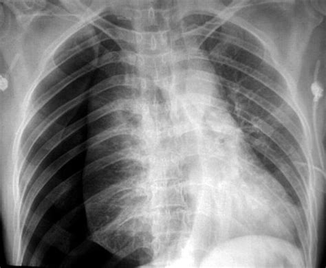
Pneumothorax X Ray

Pneumothorax X Ray

A pneumothorax, commonly referred to as a collapsed lung, is a medical condition where air leaks into the space between the lung and the chest wall. This accumulation of air exerts pressure on the outside of the lung, preventing it from fully expanding. When a patient presents to an emergency department with symptoms like sudden sharp chest pain or shortness of breath, a pneumothorax X-ray is typically the first diagnostic tool utilized by medical professionals to confirm the diagnosis and determine the severity of the collapse.

Understanding the Role of Chest X-rays in Pneumothorax

The pneumothorax X-ray is the gold standard for initial imaging because it is quick, widely available, and highly effective at visualizing the air pocket that characterizes this condition. While specialized imaging like a CT scan might be required for complex cases, a standard upright posteroanterior (PA) chest X-ray provides sufficient detail for most clinical decisions.

When reviewing the film, radiologists look for the "visceral pleural line." This is the thin, sharp white line that represents the edge of the collapsed lung. Beyond this line, there are no visible lung markings—this area appears darker because it contains air but no lung tissue.

It is important to note that the size of the pneumothorax is often estimated by measuring the distance between the lung margin and the chest wall at the level of the hilum. This measurement helps clinicians decide whether the patient needs observation, aspiration, or the insertion of a chest tube.

Key Radiographic Features to Observe

To identify a pneumothorax on an image, healthcare providers look for specific indicators that distinguish a collapsed lung from other conditions like pneumonia or pleural effusion. The following features are typically noted:

  • Absence of lung markings: Peripheral areas of the lung field will appear hyper-lucent (darker) because the air is trapped in the pleural space rather than within the lung alveoli.
  • Visceral pleural line: A thin, distinct line separating the collapsed lung from the air-filled pleural space.
  • Deep sulcus sign: On a supine X-ray, air may collect anteriorly and inferiorly, making the costophrenic angle appear abnormally deep and dark.
  • Mediastinal shift: In cases of tension pneumothorax, the pressure may become so high that it pushes the heart and trachea toward the opposite side of the chest.

The table below summarizes common imaging findings related to lung collapse severity:

Severity Radiographic Finding Clinical Implication
Small Distance < 2cm from lung apex Often managed with observation
Large Distance > 2cm from lung apex May require needle aspiration or tube
Tension Mediastinal shift/contralateral compression Life-threatening; requires immediate decompression

⚠️ Note: If you suspect a tension pneumothorax based on clinical symptoms such as low blood pressure, severe tachycardia, or tracheal deviation, do not wait for a chest X-ray. Clinical diagnosis takes precedence, and immediate intervention is required to save the patient's life.

Factors Influencing X-Ray Accuracy

While the pneumothorax X-ray is highly accurate, certain factors can complicate the diagnosis. For example, some skin folds or underlying lung conditions (like bullous emphysema) can mimic the appearance of a pleural line. Radiologists are trained to differentiate these by looking for lung markings extending beyond the suspected pleural edge.

Additionally, the positioning of the patient plays a significant role. An upright film is preferred because air rises to the top of the chest cavity, making it easier to spot. In trauma patients who cannot sit up, supine films are used, though they are inherently less sensitive because the air layers out along the anterior chest wall, making it harder to detect small volumes of air.

When Further Imaging Is Necessary

In many cases, a simple X-ray is all that is required. However, there are instances where a pneumothorax X-ray is inconclusive or more information is needed:

  • Complex Trauma: If the patient has suffered a significant chest injury, a CT scan is better at identifying associated injuries like rib fractures or pulmonary contusions.
  • Underlying Lung Disease: In patients with severe emphysema, it can be very difficult to distinguish between large bullae (air-filled sacs) and a true pneumothorax.
  • Recurrence: If a patient has had multiple episodes, surgeons may order a CT scan to look for subpleural blebs that might require surgical intervention.

💡 Note: Always ensure the patient is properly positioned for the PA view. An improperly rotated patient can cause artifacts that mimic lung abnormalities, leading to potential misinterpretation by less experienced staff.

Clinical Correlation and Patient Safety

Radiology is only one piece of the diagnostic puzzle. A physician will always pair the pneumothorax X-ray findings with a physical examination. Auscultation (listening with a stethoscope) will typically reveal diminished or absent breath sounds on the affected side. Additionally, percussing the chest often yields a hyper-resonant sound, indicating an excess of air.

It is essential to understand that a patient can have a small, stable pneumothorax and feel relatively fine, while another might have a larger collapse and experience severe distress. Treatment decisions are always based on a combination of the patient's symptoms, oxygen saturation levels, and the findings visualized on the imaging report.

Early detection through prompt imaging allows for timely intervention, which significantly improves patient outcomes. Whether the treatment plan involves supplemental oxygen to help the body reabsorb the air or the placement of a chest drain to re-inflate the lung, the initial image remains the foundation for these critical decisions. By recognizing the visual signs of a pneumothorax, medical professionals can act quickly to restore normal respiratory function and prevent life-threatening complications. Consistent monitoring and follow-up imaging ensure that the lung has fully re-expanded and that no further air leakage persists, providing a clear path to recovery for the patient.

Related Terms:

  • pneumothorax vs normal x ray
  • pneumothorax x ray findings
  • pneumothorax x ray interpretation
  • chest x ray for pneumothorax
  • small apical pneumothorax chest xray
  • small pneumothorax chest x ray