Cleve

Treating Tailor's Bunion

Treating Tailor's Bunion

Have you ever noticed a painful, bony protrusion on the outside of your little toe? If so, you might be dealing with a bunionette, more commonly known as a tailor's bunion. Unlike traditional bunions that form at the base of the big toe, this condition affects the fifth metatarsal bone. Dealing with the discomfort caused by this deformity can be frustrating, but understanding the steps for treating tailor's bunion effectively can help you regain comfort and mobility in your daily life.

What is a Tailor’s Bunion?

Foot pain relief

A tailor’s bunion, or bunionette, is a prominence of the fifth metatarsal bone at the base of the little toe. Historically, this condition was common among tailors who sat cross-legged all day, causing the outside of their feet to rub against the ground. Today, it is frequently caused by structural foot imbalances, genetics, or wearing improper footwear that compresses the toes.

When the fifth metatarsal bone begins to shift outward, it creates a bulge that often becomes inflamed and painful due to constant friction against the sides of your shoes. If left untreated, the area can develop corns, calluses, or bursitis, leading to chronic discomfort.

Recognizing Symptoms of a Bunionette

Identifying the symptoms early is crucial for treating tailor’s bunion before it progresses to a stage where surgery becomes the only option. Common signs include:

  • Redness and swelling at the base of the little toe.
  • Persistent pain or soreness on the outside of the foot.
  • Development of a thick callus or corn over the prominent bone.
  • Increased pain when wearing tight or narrow-toed shoes.

Non-Surgical Strategies for Treating Tailor’s Bunion

In most cases, doctors recommend conservative, non-surgical approaches first. These methods focus on reducing pressure and alleviating inflammation. Consistency is key when following these protocols.

1. Footwear Modifications

The most effective way to manage a bunionette is to stop wearing shoes that squeeze your toes. Opt for footwear with a wide, rounded toe box that provides enough room for the foot to expand naturally.

2. Padding and Orthotics

Using moleskin or gel pads can provide an immediate cushion between your foot and the shoe, reducing friction. Additionally, custom orthotic inserts can help realign the foot, potentially slowing the progression of the bone deformity.

3. Icing and Anti-Inflammatory Medication

If you experience sharp pain after a long day of walking, apply an ice pack to the affected area for 15 minutes. Over-the-counter anti-inflammatory medications can also help manage the swelling associated with the protrusion.

⚠️ Note: Always consult with a podiatrist before starting a long-term regimen of anti-inflammatory medications to ensure they are safe for your overall health history.

Comparison of Management Options

Method Goal Expected Outcome
Wide toe box shoes Reduce compression Less irritation
Gel toe pads Cushioning Pain relief
Orthotic inserts Mechanical correction Better alignment
Physical therapy Flexibility/Strength Improved function

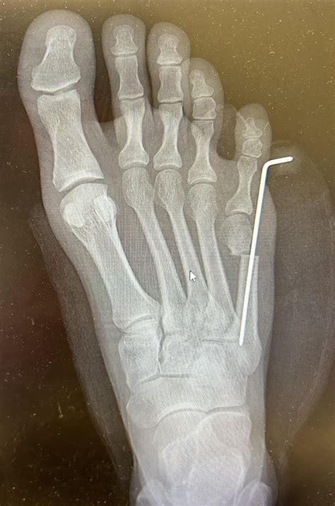
When to Consider Surgical Intervention

If you have diligently followed conservative treatment plans for several months without experiencing relief, your podiatrist may suggest surgical options. Surgery for treating tailor’s bunion involves removing the bony prominence or realigning the metatarsal bone to fix the structural issue permanently.

Recovery time depends on the specific procedure performed. Most patients can return to normal activities within a few weeks, though they may need to wear specialized shoes during the healing process. Discussing the pros and cons with a surgeon is vital to understanding the long-term impact on your foot health.

💡 Note: While surgery is highly effective, it should be viewed as a final step after non-invasive options have failed to provide the necessary relief.

Lifestyle Adjustments for Long-Term Prevention

Beyond active treatment, maintaining foot health is essential. Incorporating simple habits can prevent the condition from worsening over time:

  • Regular foot stretches: Focus on keeping the toes flexible and the foot muscles strong.
  • Maintain a healthy weight: Excess weight increases the pressure exerted on your feet during movement.
  • Rotate your shoes: Avoid wearing the same pair of shoes every day, as this can lead to uneven wear and repetitive stress on specific parts of your foot.
  • Monitor your feet: Regularly inspect your feet for new calluses or signs of irritation to catch issues early.

Managing the health of your feet requires patience and a proactive approach. By prioritizing comfortable, well-fitting footwear and utilizing padding or orthotics when necessary, you can significantly mitigate the discomfort associated with this condition. It is important to remember that while these methods are effective for treating tailor’s bunion, early diagnosis by a professional is the best way to determine the most suitable path forward for your specific situation. By staying consistent with these adjustments and listening to your body’s signals, you can maintain active mobility and prevent unnecessary pain in the future, ensuring your feet remain healthy and functional for years to come.

Related Terms:

  • best treatment for tailor's bunion
  • tailor bunion treatment without surgery
  • how to correct tailor's bunion
  • tailor's bunion treatment at home
  • tailors bunion removal without surgery
  • tailor's bunion treatment instructions