Cleve

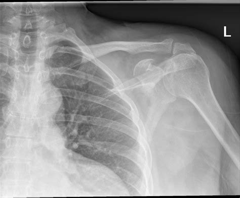
X Ray Shoulder Normal

X Ray Shoulder Normal

When you experience persistent shoulder pain or restricted mobility, a medical professional will often order imaging to get a better look at what is happening beneath the surface. One of the first lines of investigation is almost always an X-ray shoulder normal view, which provides a foundational baseline for orthopedic health. Understanding what this diagnostic tool shows and why it is essential for clinical decision-making can help alleviate the anxiety often associated with medical imaging. While an X-ray is a standard procedure, it remains a powerful instrument for identifying fractures, dislocations, and degenerative changes that may be causing your discomfort.

What Exactly Is an X-Ray of the Shoulder?

An X-ray of the shoulder is a non-invasive imaging test that uses a small amount of radiation to capture internal pictures of the shoulder bones. This includes the humerus (upper arm bone), the scapula (shoulder blade), and the clavicle (collarbone). By analyzing these images, radiologists and doctors can determine if there are any anatomical abnormalities, structural issues, or signs of disease.

Typically, when a radiologist reports an X-ray shoulder normal result, they are confirming that the skeletal structures are well-aligned, the joint space is intact, and there are no signs of acute trauma or advanced chronic conditions. This is often the starting point for diagnosis; if the bones appear healthy, the physician can then narrow the focus to soft tissue injuries like rotator cuff tears or labral issues, which often require further investigation such as an MRI.

Also read: Face Surgery Male

Key Components Evaluated in a Standard Shoulder X-Ray

When you undergo this procedure, the imaging team typically captures multiple views to ensure a comprehensive assessment. These usually include an Anteroposterior (AP) view, an axillary view, and a lateral view (often called a "Y-view"). These angles allow the physician to look for specific markers of health:

  • Bone Integrity: Ensuring there are no hairline fractures or stress reactions in the humerus or clavicle.
  • Joint Space: Checking for smooth, consistent gaps between bones, which indicates healthy cartilage.
  • Alignment: Verifying that the humeral head sits correctly within the glenoid fossa (the socket of the shoulder).
  • Soft Tissue Shadows: Looking for calcification, which might suggest conditions like calcific tendinitis.

The following table outlines what a radiologist looks for when evaluating these images to determine if the findings are within normal limits:

Feature What is Checked Normal Finding
Humerus Head Positioning in socket Centered in the glenoid fossa
Acromioclavicular Joint Joint spacing Smooth, narrow, non-widened gap
Cortical Bone Surface density Uniform, clear, no breaks
Soft Tissue Surrounding density No visible bone spurs or calcifications

Why Results Might Still Be "Normal" Despite Pain

It is a common scenario for patients to receive an X-ray shoulder normal report, yet they continue to experience significant pain. This can be frustrating, but it is important to understand why this happens. X-rays are excellent at visualizing bone, but they are limited when it comes to soft tissues. Muscles, tendons, ligaments, and the labrum are not easily visible on standard X-ray images.

If your shoulder pain persists despite a "normal" report, it often suggests that the issue lies in the soft tissues rather than the skeletal structure. Common conditions that do not show up on a standard X-ray include:

  • Rotator Cuff Tendinopathy: Inflammation of the tendons that stabilize the shoulder.
  • Labral Tears: Damage to the cartilage ring that surrounds the shoulder socket.
  • Bursitis: Inflammation of the fluid-filled sacs that cushion the joint.
  • Frozen Shoulder (Adhesive Capsulitis): Thickening and tightening of the shoulder capsule.

⚠️ Note: If your doctor confirms your X-ray is normal but you are still in pain, be sure to ask about the next steps. They may recommend physical therapy, anti-inflammatory medication, or advanced imaging like an MRI or Ultrasound to better visualize the soft tissue structures.

The Importance of Proper Positioning

The quality of your X-ray shoulder normal reading depends heavily on the technician's skill and the patient's ability to remain still. Because the shoulder is a complex, multi-planar joint, improper positioning can lead to "artifacts" or shadows that might look like bone spurs or joint gaps. This is why technicians will often ask you to rotate your arm into specific positions, such as internal or external rotation.

Getting a high-quality, clear image is essential for an accurate reading. If the images are blurry due to movement, they might be inconclusive, which leads to repeat testing. Always listen carefully to the technician’s instructions regarding breathing and movement to ensure the clearest image possible on the first attempt.

When to Seek Further Investigation

An X-ray shoulder normal result is excellent news for ruling out major trauma, tumors, or severe joint destruction. However, it does not mean your symptoms are imaginary. Pain is a clear signal from the body that something requires attention. If you receive a clear report, look at it as a process of elimination. You have successfully ruled out the most significant "bony" problems, which allows your healthcare team to focus on effective, targeted treatments for soft tissue rehabilitation.

Moving forward, your physician will likely perform a physical examination to test the strength and range of motion of your shoulder. They may look for specific signs, such as clicking, locking, or weakness during certain movements. This functional assessment, combined with the normal radiological findings, helps in creating a rehabilitation plan that is specific to your needs, focusing on strengthening the supporting musculature of the shoulder girdle.

Final Thoughts on Shoulder Health

Navigating the diagnostic process for shoulder pain requires patience and a clear understanding of what tools are being used. An X-ray is a vital, time-tested method for establishing baseline health, and receiving a result that confirms there are no fractures or dislocations is a significant step in your path toward recovery. By clearing the “bones” off the list of potential culprits, you and your doctor can more effectively identify and address the soft tissue injuries that are often the source of chronic discomfort. Always maintain open communication with your medical team, describe your pain accurately, and follow the recommended rehabilitation exercises to restore function and comfort to your shoulder joint.

Related Terms:

  • healthy right shoulder x ray
  • adult shoulder xray
  • normal xr of left shoulder
  • normal shoulder x ray lateral
  • left shoulder normal x ray
  • normal right shoulder x rays