Uci

3 Mm Kidney Stone

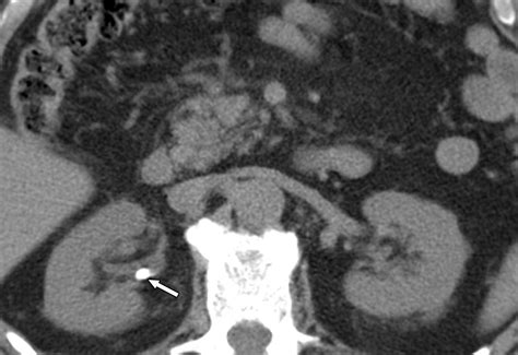
3 Mm Kidney Stone

Finding out that you have a 3 mm kidney stone can be an alarming experience, often marked by sudden, sharp pain that seems to come out of nowhere. While a stone of this size is generally considered small by urological standards, it can still cause significant discomfort as it navigates the urinary tract. Understanding the nature of these deposits, why they form, and how to manage the passing process is essential for anyone currently dealing with this condition. In most cases, a stone of this size will pass on its own, but knowing the warning signs of complications is critical for your health and well-being.

What is a 3 mm Kidney Stone?

A kidney stone, or renal calculus, is a hard, crystalline deposit made of minerals and salts that form inside your kidneys. When a medical professional identifies a 3 mm kidney stone, they are describing its diameter. To put this into perspective, 3 millimeters is roughly the size of a grain of sand or a very small seed. Although it sounds minuscule, the ureters—the tubes connecting your kidneys to your bladder—are narrow and delicate, making the passage of even a tiny, jagged object feel disproportionately painful.

Common Symptoms and Indicators

The sensation of passing a stone is often referred to as “renal colic.” Because the stone is small, many people wonder if the pain will be manageable. Unfortunately, the intensity of the pain is not always directly proportional to the size of the stone. Common symptoms include:

  • Sharp, cramping pain in the back and side (flank), often radiating to the lower abdomen or groin.
  • Episodes of pain that come in waves and fluctuate in intensity.
  • A persistent need to urinate, or urinating more often than usual.
  • Pain or a burning sensation during urination.
  • Cloudy, foul-smelling, or pink/reddish urine (hematuria).
  • Nausea and vomiting, often triggered by the intensity of the pain.

Why Do Kidney Stones Form?

Kidney stones form when your urine contains more crystal-forming substances—such as calcium, oxalate, and uric acid—than the fluid in your urine can dilute. Simultaneously, your urine may lack substances that prevent crystals from sticking together, creating an ideal environment for stone formation. Several factors contribute to this process:

  • Dehydration: Not drinking enough water throughout the day is the primary cause, as it concentrates the urine.
  • Dietary habits: High consumption of salt, protein, or oxalate-rich foods (like spinach or beets) can increase risk.
  • Family History: Genetics play a significant role in how your body processes minerals.
  • Underlying Medical Conditions: Digestive issues or metabolic disorders can affect the absorption of calcium and other nutrients.

Managing a 3 mm Kidney Stone at Home

Because a 3 mm kidney stone is relatively small, the “wait and see” approach is frequently recommended by doctors. Statistically, a stone of this size has a very high probability of passing spontaneously without the need for surgical intervention. Here is a table outlining the common approach to managing the process:

Strategy Primary Goal
Increased Hydration Flush the urinary tract and dilute urine.
Pain Management Over-the-counter NSAIDs to reduce inflammation.
Medical Therapy Alpha-blockers to relax ureter muscles.
Physical Activity Light movement to encourage stone movement.

⚠️ Note: Always consult with a healthcare professional before taking any medication to assist in passing a stone, as they can provide personalized advice based on your medical history and specific stone location.

When to Seek Emergency Medical Attention

While most small stones pass without issue, there are scenarios where home management is not sufficient. You should seek immediate medical care if you experience any of the following “red flag” symptoms:

  • Fever and chills, which may indicate a kidney infection.
  • Inability to urinate at all.
  • Severe pain that cannot be controlled with over-the-counter medication.
  • Persistent vomiting that prevents you from keeping fluids down.
  • Significant blood in the urine.

Preventative Measures for the Future

Once you have passed your 3 mm kidney stone, the focus should shift toward prevention to ensure you don’t repeat the experience. Stones have a tendency to recur if the underlying lifestyle factors are not addressed. Staying adequately hydrated is the most effective defense; aim for enough water intake to produce clear or pale yellow urine throughout the day. Additionally, reducing sodium intake is crucial, as excess salt causes the kidneys to excrete more calcium into the urine.

For those prone to specific types of stones, such as calcium oxalate, it may be helpful to pair high-oxalate foods with calcium-rich foods during the same meal. This allows the calcium and oxalate to bind in the stomach rather than in the kidneys, where they would otherwise form stones. Regular check-ups with a urologist can also help identify if there are metabolic factors that require specific dietary adjustments or medication to prevent future formations.

Dealing with a stone in the urinary tract is undoubtedly stressful, but understanding the mechanics behind a 3 mm kidney stone can help demystify the process and reduce anxiety. By maintaining high hydration levels, following your doctor’s guidance on pain management, and staying vigilant for warning signs of infection, you can successfully navigate the passage of the stone. Remember that while the physical sensation is temporary, the habits you build during recovery will serve as long-term protection for your renal health. Stay patient with your body, continue to drink plenty of fluids, and reach out to medical professionals whenever you feel that your symptoms are shifting beyond the normal range of recovery.

Related Terms:

  • passing a 3mm kidney stone
  • 3 mm kidney stone treatment
  • kidney stone pain area female
  • kidney stone 3mm size
  • kidney stone moving through ureter
  • is 3mm kidney stone big