Cleve

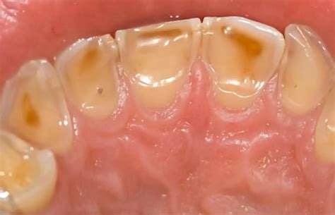
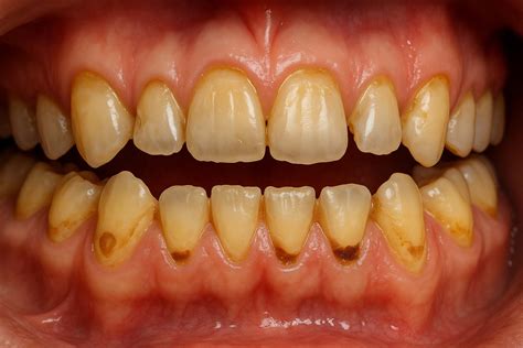
Acid Erosion Teeth

Acid Erosion Teeth

Your smile is often the first thing people notice, but beneath the surface, your teeth are constantly battling against external forces. One of the most silent yet destructive threats to your dental health is acid erosion teeth, a process where the protective outer layer of your tooth, known as enamel, is gradually worn away by acid. Unlike other dental issues that may cause immediate pain, acid erosion is often a slow, cumulative process. By the time you notice changes in your teeth, such as increased sensitivity or a yellowing appearance, the damage may already be significant. Understanding the causes, recognizing the early warning signs, and taking proactive steps to protect your smile are essential for maintaining long-term oral health.

What is Acid Erosion Teeth?

To understand acid erosion teeth, you must first understand the anatomy of a tooth. Enamel is the hardest substance in the human body, serving as a shield that protects the sensitive dentin and pulp inside your tooth. However, enamel is mineral-based, and it can dissolve when exposed to acidic environments. When this happens, the tooth surface becomes thinner, smoother, and more susceptible to decay, staining, and extreme sensitivity.

This process is distinct from tooth decay caused by bacteria. While cavities are caused by sugars being converted into acids by plaque, acid erosion is primarily caused by dietary intake or internal acids (such as stomach acid). Once enamel is lost, it cannot regenerate, making prevention the absolute best strategy for keeping your teeth healthy.

Common Causes of Tooth Erosion

The primary driver behind acid erosion teeth is the frequent exposure of teeth to acidic substances. While occasional intake of acidic items is generally fine, repetitive consumption or poor habits can significantly increase the risk of damage.

  • Soft Drinks and Energy Drinks: These are notorious culprits due to their high content of citric and phosphoric acids.
  • Fruit Juices: Even healthy options like orange or lemon juice are highly acidic and can erode enamel over time.
  • Citrus Fruits: Frequently eating lemons, limes, or grapefruits can have a direct impact on enamel health.
  • Gastrointestinal Issues: Chronic conditions such as acid reflux (GERD) or frequent vomiting (often associated with eating disorders or morning sickness) expose teeth to powerful gastric acids.
  • Dry Mouth (Xerostomia): Saliva is your mouth's natural defense against acid. A lack of saliva prevents the neutralization of acids, accelerating the erosion process.

⚠️ Note: Sipping acidic drinks slowly over long periods is significantly more damaging than consuming them quickly, as it keeps your mouth in an acidic state for longer.

Signs and Symptoms to Watch For

Recognizing the symptoms of acid erosion teeth early can save you from costly restorative treatments later. Because the process is gradual, you might not notice it until the symptoms become bothersome. Common signs include:

  • Increased Sensitivity: As enamel thins, the underlying dentin is exposed. This layer contains tiny channels that lead directly to the tooth nerve, causing sharp pain when consuming hot, cold, or sugary foods.
  • Discoloration: As the white enamel wears away, the yellowish color of the dentin underneath becomes more visible, making teeth look darker.
  • Changes in Shape: Your teeth may begin to look rounded or seem to have "dents" on the biting surfaces.
  • Cracks or Chips: Thin, weakened edges are more prone to chipping or developing small cracks.

Comparing Decay and Erosion

It is helpful to distinguish between different types of dental damage to better understand your treatment options. The table below highlights the differences between common dental issues:

Feature Acid Erosion Dental Decay (Cavities)
Primary Cause Acidic diet or reflux Bacterial plaque/sugar
Affected Area Entire tooth surface Localized holes/pits
Sensory Effect Generalized sensitivity Localized pain/throbbing
Primary Prevention Diet modification/Saliva Flossing/Brushing

Protecting Your Enamel: Essential Habits

You can effectively manage and prevent acid erosion teeth by altering some daily habits. These simple adjustments can significantly decrease the risk of long-term damage:

  • Rinse with Water: After consuming acidic food or drinks, rinse your mouth thoroughly with plain water to help neutralize the pH levels.
  • Use a Straw: When drinking acidic beverages, using a straw helps bypass the teeth, reducing direct contact with the enamel.
  • Wait Before Brushing: Many people make the mistake of brushing immediately after eating acidic foods. Because the acid softens the enamel, brushing right away can actually scrub away the mineral layer. Wait at least 30 to 60 minutes.
  • Choose Your Beverages Wisely: Opt for water, milk, or non-acidic teas as your primary hydration sources throughout the day.
  • Chew Sugar-Free Gum: Chewing gum stimulates saliva production, which helps remineralize tooth enamel and wash away lingering acids.

💡 Note: Consult your dentist about using high-fluoride toothpaste or professional fluoride treatments, which can help harden enamel and provide an extra layer of defense against erosion.

Seeking Professional Dental Advice

If you suspect you are suffering from acid erosion teeth, it is vital to visit a dentist for a professional assessment. A dentist can evaluate the severity of the wear and recommend appropriate treatments. In early stages, your dentist might suggest topical fluoride applications or bonding procedures to protect exposed dentin. For more advanced cases, treatments like veneers or crowns might be necessary to restore the function and appearance of your teeth.

Furthermore, if your erosion is caused by underlying medical issues like acid reflux, your dentist may work in tandem with a doctor to address the root cause, ensuring that your dental efforts aren't being undone by systemic health issues. Routine dental checkups are the best way to catch these issues while they are still manageable.

Maintaining the integrity of your enamel is a lifelong commitment that pays dividends in both health and confidence. By understanding the factors that lead to acid erosion teeth, you empower yourself to make better dietary choices and improve your oral hygiene routine. Whether it is being mindful of the beverages you consume, understanding the importance of saliva, or simply timing your brushing correctly, these small changes act as a strong defense against the wear and tear of modern living. Staying proactive with your dental care ensures that your smile remains bright, strong, and pain-free for years to come. Remember, while enamel may not grow back, you have all the tools necessary to preserve what you have and prevent further damage through consistent daily habits and regular professional guidance.

Related Terms:

  • teeth wearing down
  • can stomach acid dissolve teeth
  • what can cause tooth erosion
  • enamel coming off teeth
  • what causes tooth enamel erosion
  • how to diagnose tooth erosion