Cleve

Acute Chest Illness

Acute Chest Illness

Navigating the complexities of respiratory health requires a deep understanding of various conditions that can suddenly compromise your breathing. Among these, Acute Chest Illness stands out as a critical medical scenario that demands immediate attention. Whether it manifests as severe congestion, inflammation, or acute respiratory distress, the speed at which this condition progresses makes it a significant concern for both patients and healthcare providers. Recognizing the early warning signs and understanding the underlying causes is the first line of defense in managing potential complications before they escalate into life-threatening emergencies.

Defining Acute Chest Illness and Its Clinical Significance

At its core, Acute Chest Illness refers to an abrupt onset of symptoms affecting the thoracic cavity, specifically focusing on the lungs and the surrounding structures. Unlike chronic respiratory conditions that develop over years, this acute presentation is characterized by a rapid decline in respiratory function. It is a broad term that often encompasses issues like sudden pneumonia, pulmonary embolisms, or acute exacerbations of pre-existing conditions like asthma or sickle cell-related chest syndrome.

The clinical significance lies in the body's inability to maintain proper oxygenation. When the chest cavity is compromised by infection, fluid buildup, or vascular blockage, the heart and lungs must work exponentially harder. If left unaddressed, this strain can lead to systemic organ failure. Physicians prioritize identifying the specific etiology of the chest distress—whether it is infectious, inflammatory, or obstructive—to administer targeted therapies.

Common Symptoms to Watch For

Recognizing the symptoms of an Acute Chest Illness early can be the difference between a routine outpatient visit and an intensive care admission. Because the condition affects the vital process of gas exchange, symptoms often appear globally rather than just locally in the chest area.

  • Shortness of breath (Dyspnea): Feeling as though you cannot catch your breath, even while at rest.
  • Persistent cough: Often productive, containing mucus, or dry and hacking.
  • Chest pain: Sharp, stabbing, or heavy pressure, particularly during deep inhalations.
  • Hypoxia: Low oxygen levels in the blood, often indicated by bluish tints to the lips or fingernails.
  • Fever and chills: Common indicators of an infectious component.
  • Fatigue: Extreme exhaustion caused by the body fighting the respiratory struggle.

Comparative Overview of Potential Causes

Because the clinical presentation can overlap, doctors often use a table of differential diagnoses to narrow down the source of the distress. Understanding these categories is essential for rapid assessment.

Cause Category Primary Characteristics Typical Intervention
Infectious Fever, productive cough, lung consolidation. Antibiotics or Antivirals.
Vascular/Embolic Sudden onset, sharp pain, rapid heart rate. Anticoagulants or oxygen support.
Inflammatory/Allergic Wheezing, constriction, history of asthma. Bronchodilators and Corticosteroids.
Traumatic External injury or fractured ribs causing restriction. Stabilization and pain management.

Steps for Immediate Action

When you or a loved one begins to show signs of a severe respiratory event, time is of the essence. Follow these protocols to ensure the best possible outcome while waiting for professional medical intervention.

  1. Assess Consciousness: Ensure the individual is alert and responsive. If they lose consciousness, call emergency services immediately.
  2. Positioning: Help the person sit upright. Lying flat can make breathing significantly harder by increasing pressure on the diaphragm.
  3. Clear Pathways: Remove any tight clothing around the neck or chest that might restrict expansion.
  4. Monitor Vital Signs: Keep a record of the breathing rate and heart rate if equipment is available.
  5. Professional Help: Seek emergency care immediately if the person exhibits confusion, blue lips, or extreme difficulty speaking.

⚠️ Note: Do not attempt to administer over-the-counter cough suppressants or sedatives, as these can mask the severity of the condition and depress the respiratory drive further.

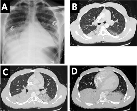
The Role of Diagnostic Imaging

In modern medicine, identifying the exact nature of an Acute Chest Illness is rarely done through physical examination alone. Diagnostic imaging serves as the "eyes" for the medical team. A standard chest X-ray is usually the first step to look for fluid accumulation or evidence of pneumonia. However, if a pulmonary embolism is suspected, a CT angiography might be ordered to visualize blood flow in the lungs. These tests provide the necessary evidence to determine if the treatment should involve systemic medication, oxygen supplementation, or even surgical intervention.

Recovery and Long-Term Management

Recovery from an acute respiratory event is rarely instantaneous. Even after the immediate crisis has passed, the lungs require time to heal from the trauma of the illness. Patients are often prescribed a period of rest, followed by controlled physical activity to regain lung capacity. In cases where the condition was triggered by chronic factors, such as asthma or underlying vascular issues, long-term management plans are essential to prevent a recurrence of the acute episode.

Patients should focus on nutritional support, hydration, and, if applicable, strictly adhering to medication schedules. Regular follow-up appointments with a pulmonologist are standard practice to monitor for lingering inflammation or damage to the thoracic structures. Avoiding environmental triggers like smoke, heavy pollutants, and extreme cold is also highly recommended during the recovery phase.

The journey through a sudden respiratory crisis is physically and emotionally taxing, but it is one that can be managed effectively with the right combination of vigilance and professional care. By staying informed about the nature of Acute Chest Illness, recognizing the warning signs early, and understanding the diagnostic pathways that lie ahead, you place yourself in a much stronger position to handle such emergencies. It is always important to prioritize your respiratory health by attending regular check-ups and not dismissing minor chest discomfort as simple fatigue. Ultimately, protecting your lungs is about maintaining the delicate balance of your entire body’s oxygen supply, ensuring that every breath you take is as effortless and efficient as possible.

Related Terms:

  • chest infection nhs inform
  • chest infection or bronchitis
  • chest infection first line antibiotics
  • antibiotics chest infection nice guidelines
  • working with a chest infection
  • chest infection antibiotics guidelines