Cleve

Adenoids Are Tonsils

Adenoids Are Tonsils

When parents hear a doctor mention lymphoid tissue in the back of the throat, confusion often arises regarding terminology. A common question heard in pediatric offices is, "Adenoids are tonsils, right?" While they are closely related members of the same immune system family, they serve distinct functions and occupy different anatomical locations. Understanding the differences and similarities between these structures is essential for parents navigating concerns about recurring infections, sleep issues, or breathing difficulties in their children.

The Anatomical Relationship Between Adenoids and Tonsils

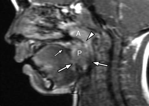
To understand the body’s immune defense system, one must look at Waldeyer’s ring, a collection of lymphoid tissue that forms a circle at the back of the throat. Within this circle, we find the pharyngeal tonsils (commonly known as the adenoids) and the palatine tonsils (commonly known simply as the tonsils). While it is technically accurate to say that both structures are types of tonsillar tissue, they are not identical.

  • Palatine Tonsils: These are the two oval-shaped lumps of tissue you can easily see when you ask a child to open their mouth wide and say “ah.” They sit on either side of the back of the throat.
  • Adenoids: These are located high up in the throat, behind the nose and the roof of the mouth (the soft palate). Because of this hidden location, they cannot be seen by looking directly into the mouth; a doctor requires a special mirror or a small, flexible camera to visualize them.

Functions of Lymphoid Tissue

Both the adenoids and the tonsils play a vital role during early childhood. They act as the body’s first line of defense against pathogens. By trapping bacteria and viruses that enter through the mouth and nose, these tissues help the immune system “learn” how to fight off potential infections by creating antibodies. While some people mistakenly believe that adenoids are tonsils that have simply migrated, they are actually specialized stations designed to intercept germs before they enter the deeper respiratory system.

Feature Adenoids Palatine Tonsils
Location Nasopharynx (behind the nose) Oropharynx (sides of the throat)
Visibility Not visible without special tools Easily visible in the mouth
Primary Purpose Filter air and trap inhaled germs Filter food/drink and trap swallowed germs

⚠️ Note: Adenoids typically begin to shrink as a child approaches adolescence and often disappear almost entirely by adulthood. In contrast, palatine tonsils may remain throughout life, though they often shrink in size as well.

When These Tissues Cause Problems

Even though their primary function is to protect the body, these structures can sometimes become more of a liability than an asset. Because they are designed to trap germs, they can occasionally become overwhelmed, leading to chronic infection and inflammation. When a parent researches “adenoids are tonsils,” they are often doing so because their child is experiencing symptoms that suggest these tissues are enlarged or infected.

Common Symptoms of Adenoid Enlargement

When adenoids become chronically swollen, they can obstruct the airway, leading to several noticeable issues:

  • Mouth Breathing: Because the adenoids block the nasal passage, the child is forced to breathe through their mouth, especially during sleep.
  • Snoring and Sleep Apnea: Enlarged adenoids are a leading cause of obstructive sleep apnea in children, causing restless sleep and daytime fatigue.
  • Nasal Voice: The child may sound “stuffy” or “congested” even when they do not have a cold.
  • Chronic Ear Infections: Enlarged adenoids can block the Eustachian tubes, preventing the ears from draining properly and leading to recurring ear infections or fluid buildup.

Distinguishing Between Infections

It is important to differentiate between adenoiditis (inflammation of the adenoids) and tonsillitis (inflammation of the palatine tonsils). While an infection can affect both simultaneously, the clinical presentation varies. Tonsillitis often presents with a high fever, painful swallowing, and visible white patches on the tonsils. Adenoiditis, conversely, often presents with persistent nasal congestion, post-nasal drip, and halitosis (bad breath) without the severe sore throat associated with tonsillitis.

Treatment Approaches and Surgical Options

In many cases, minor enlargement is temporary and caused by a viral infection that will resolve on its own. However, if the enlargement is chronic or causing significant health issues, medical professionals may recommend intervention. The decision to remove these tissues is never taken lightly, as they are part of the immune system. When the risks of obstruction—such as poor sleep quality, developmental delays, or recurrent infections—outweigh the benefits of keeping the tissue, a surgeon may perform an adenoidectomy or a tonsillectomy (or both).

⚠️ Note: Modern surgical techniques are minimally invasive and typically involve same-day procedures. Most children recover quickly, often seeing significant improvements in their sleep and breathing patterns within just a few days post-surgery.

The Importance of Professional Diagnosis

Because the symptoms of enlarged adenoids can mimic other conditions like seasonal allergies, nasal polyps, or chronic sinus infections, it is crucial to seek a professional diagnosis from an ENT (Ear, Nose, and Throat) specialist. Relying on the assumption that “adenoids are tonsils” and that the problem will solve itself can sometimes delay necessary care, especially if the child is suffering from significant sleep disruption, which can impact academic performance and behavior.

A specialist will likely perform a physical examination and may use an endoscope to view the nasal passage. In some cases, a sleep study might be ordered if there is concern regarding pediatric sleep apnea. By gaining a clear understanding of the location and severity of the enlargement, parents can work with their medical team to develop an effective, personalized treatment plan.

In summary, while the terms are often used interchangeably in casual conversation, the nuances between adenoids and palatine tonsils are significant for a child’s health. Adenoids act as the silent sentinels behind the nose, while the tonsils stand guard at the back of the oral cavity. Both serve the essential purpose of immunity, but both can also lead to obstructive symptoms when they become enlarged. By identifying the root cause of breathing or sleep-related issues, parents can ensure their children receive the appropriate care to improve their overall quality of life. Whether managing symptoms through medication or considering surgical intervention, having accurate information allows for better decision-making and a clearer path to wellness for the child.

Related Terms:

  • adenoids are also called
  • adenoid vs tonsil location
  • tonsils and adenoids location
  • tonsils and adenoids pictures
  • purpose of adenoids and tonsils
  • difference between adenoids and tonsils