Rp

Adrenal Ct Scan

Adrenal Ct Scan

When your healthcare provider identifies potential abnormalities in the endocrine system, they may recommend an Adrenal CT Scan to get a clearer picture of what is happening inside your body. The adrenal glands, which are small, triangular organs located on top of each kidney, play a crucial role in producing hormones that regulate metabolism, immune system function, and blood pressure. When these glands malfunction or develop growths, diagnostic imaging becomes essential for an accurate diagnosis. Understanding what to expect during this procedure can significantly alleviate the anxiety often associated with medical testing, allowing you to approach your appointment with confidence and clarity.

What is an Adrenal CT Scan?

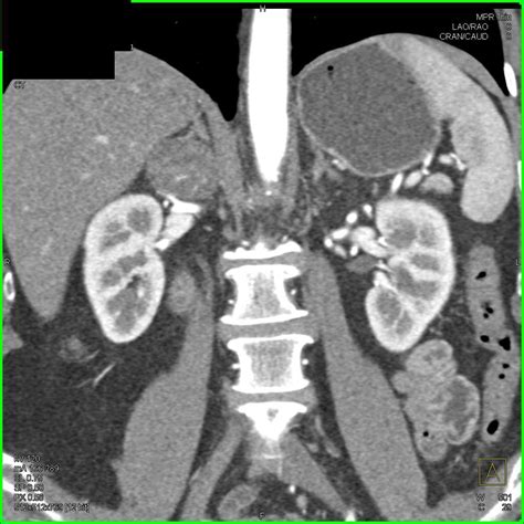
An Adrenal CT Scan, or Computed Tomography, is a non-invasive diagnostic imaging procedure that uses advanced X-ray equipment combined with computer processing to create detailed, cross-sectional images of your adrenal glands. Unlike a standard X-ray, which provides a two-dimensional view, a CT scan provides a comprehensive three-dimensional perspective, allowing radiologists to identify even the smallest nodules, tumors, or signs of inflammation.

This imaging modality is highly sensitive and is considered the gold standard for evaluating adrenal masses. Whether your doctor suspects adrenocortical carcinoma, pheochromocytoma, or adrenal adenomas, this scan provides the structural data necessary to determine the size, shape, and density of the tissues in question.

Why Is This Imaging Performed?

Doctors typically order an Adrenal CT Scan when blood or urine tests reveal abnormal hormone levels, or when incidental findings from a different scan (like an ultrasound or MRI) indicate that the adrenal glands might be enlarged. Some of the most common reasons include:

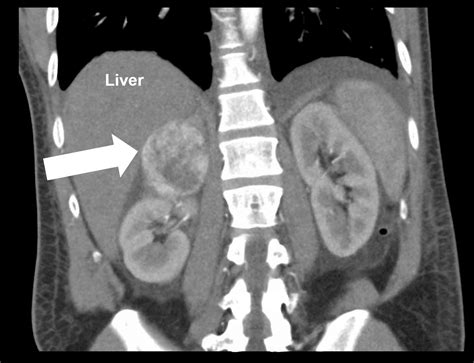
  • Evaluating an "incidentaloma"—a mass discovered unexpectedly during another unrelated medical exam.
  • Distinguishing between benign (non-cancerous) growths and potentially malignant (cancerous) tumors.
  • Staging existing adrenal cancer to determine if it has spread to surrounding organs.
  • Planning for surgical intervention, such as an adrenalectomy.
  • Investigating the source of unexplained symptoms like high blood pressure, rapid heart rate, or significant weight changes.

Preparation and Procedure Details

Preparation for an Adrenal CT Scan is generally straightforward, but it is important to follow the specific instructions provided by your radiology department. Because many of these scans require the use of an intravenous (IV) contrast dye to highlight specific tissues, your doctor will need to ensure your kidney function is adequate before starting.

Here is a breakdown of what the process typically looks like:

Phase Description
Pre-Scan You may be asked to fast for a few hours before the appointment. Always disclose any allergies, particularly to iodine or shellfish, as contrast dyes contain iodine.
The Scan You will lie on a motorized table that slides into the center of a circular scanner. The machine will rotate around you, taking images from multiple angles.
Contrast If contrast is required, a technician will insert an IV line into your arm. You may feel a warm sensation as the dye moves through your system.
Duration The actual scanning process is very fast, often taking less than 15 to 20 minutes from start to finish.

⚠️ Note: If you have a history of diabetes or chronic kidney disease, please inform your medical team immediately, as special protocols may be required to protect your renal health during the administration of contrast materials.

Understanding the Results

Once the Adrenal CT Scan is complete, the images are sent to a radiologist. They analyze the "attenuation" or density of any detected masses. This is measured in Hounsfield units (HU). A low density (measured in low HU) typically suggests that a mass is a benign adenoma, which is very common. Conversely, higher density or irregular borders might prompt the medical team to conduct further investigations, such as follow-up blood work or specialized biopsies.

It is important to remember that a scan result is just one piece of the puzzle. Your doctor will interpret these findings in the context of your physical symptoms, medical history, and hormone laboratory results to build a complete clinical picture.

Benefits and Risks of the Scan

Like any medical procedure, an Adrenal CT Scan carries both benefits and potential risks that should be weighed. The primary benefit is the high-resolution anatomical detail provided, which is unmatched by many other imaging methods. It is efficient, relatively painless, and provides rapid results, which is vital when addressing potentially serious endocrine conditions.

The risks are relatively minimal but worth noting:

  • Radiation Exposure: While modern CT scanners use low-dose technology, there is still some exposure to ionizing radiation. Your doctor will ensure the benefit of the diagnostic information outweighs this minor risk.
  • Contrast Reactions: A small percentage of patients may experience an allergic reaction to the contrast dye, ranging from mild itching to, in very rare cases, more severe symptoms.
  • Pregnancy Considerations: If you are pregnant or suspect you might be, notify your doctor immediately, as radiation can be harmful to a developing fetus.

💡 Note: Remember to hydrate well after your scan if you received intravenous contrast. Drinking plenty of water helps your kidneys filter and flush the dye from your body more efficiently.

Taking the Next Steps

Once you receive your report, schedule a follow-up appointment with your endocrinologist or primary care physician. Do not attempt to self-diagnose based on the terminology in the radiology report, as technical language can often be misleading to those outside the medical field. Instead, focus on discussing the implications of the findings with your provider. They will be able to explain whether the Adrenal CT Scan necessitates a change in medication, further observation, or a surgical consultation.

In summary, undergoing an Adrenal CT Scan is a proactive and effective way to gain vital insights into your adrenal health. By providing clear, high-quality visuals of the adrenal glands, this procedure helps clinicians identify the root cause of hormonal imbalances or abnormal growths, paving the way for personalized treatment plans. While the thought of imaging may feel overwhelming, the procedure itself is quick and highly standardized, making it a reliable tool for medical professionals worldwide. By staying informed, following your provider’s pre-scan instructions, and maintaining open communication regarding your symptoms and health history, you can ensure the best possible experience and outcomes throughout your diagnostic journey. Your commitment to these steps is the first and most important move toward regaining your peace of mind and long-term wellness.

Related Terms:

  • adrenal ct scan protocol
  • ct scan for adrenal tumor
  • adrenal ct scan procedure
  • ct scan for adrenal nodule
  • ct scan for adrenal adenoma
  • ct scan for adrenal cancer