Mayo

Advanced Periodontal Disease

Advanced Periodontal Disease

The journey toward oral health is often overlooked until significant symptoms arise, and advanced periodontal disease, also known as advanced periodontitis, represents the most severe stage of gum infection. At this critical juncture, the infection has progressed far beyond the surface of the gums, causing deep-seated damage to the tissues and the underlying bone that supports your teeth. Recognizing the warning signs early is crucial, but understanding the complexities of this advanced stage is essential for seeking the right treatment to prevent permanent tooth loss and systemic health complications.

What is Advanced Periodontal Disease?

Advanced periodontal disease occurs when the bacteria in your mouth—which have already caused initial gingivitis and progressed into moderate periodontitis—begin to destroy the fibers and bone that anchor your teeth in place. As the infection deepens, the gums pull away from the teeth, creating "pockets" that become infected and difficult to clean. Over time, the body’s own inflammatory response to this infection begins to break down the surrounding bone and periodontal ligament, leading to loose teeth, shifting, and, eventually, tooth loss.

This stage is not merely a cosmetic issue; it is a serious dental condition that requires professional intervention from a periodontist—a dentist specializing in the prevention, diagnosis, and treatment of periodontal disease.

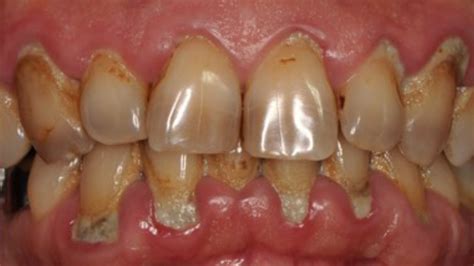
Symptoms and Indicators of Advanced Periodontal Disease

Because periodontal disease is often painless in its early stages, many people are unaware they have it until it has reached an advanced state. Recognizing the following symptoms is vital:

  • Deep periodontal pockets: Pockets deeper than 5-6 mm are common, which are impossible to clean with regular brushing and flossing.
  • Loose or shifting teeth: As the supporting bone is lost, teeth may feel unstable or change position in your mouth.
  • Persistent bad breath (halitosis): A constant foul taste or smell caused by the deep accumulation of bacteria.
  • Severely receding gums: Teeth may appear longer, or roots may become exposed.
  • Pus between teeth and gums: An indicator of active, severe infection.
  • Changes in your bite: How your top and bottom teeth fit together may change due to tooth movement.

The Relationship Between Periodontal Disease and Systemic Health

The impact of advanced periodontal disease is not restricted to your mouth. Research continues to uncover links between oral health and overall systemic wellbeing. Chronic inflammation, which is the hallmark of advanced periodontitis, can enter the bloodstream and affect other parts of the body.

Systemic Condition Potential Connection to Periodontitis
Heart Disease Bacteria from infected gums may contribute to clogged arteries and heart inflammation.
Diabetes Severe gum disease can make it harder to control blood sugar levels, and vice versa.
Respiratory Issues Inhaling bacteria from oral infections can increase the risk of lung infections like pneumonia.

💡 Note: While these associations are significant, they do not necessarily mean that periodontal disease directly causes these conditions, but rather that chronic inflammation in one area of the body can increase the risk of complications elsewhere.

Diagnostic Procedures

To diagnose advanced periodontal disease, a periodontist will perform a comprehensive evaluation. This usually involves:

  • Periodontal Charting: Using a small probe to measure the depth of the pockets between your teeth and gums.
  • Dental X-rays: Assessing the level of bone loss around the tooth roots, which is critical for determining the severity of the disease.
  • Health History Review: Evaluating factors like smoking, genetics, diabetes, or medication usage that could exacerbate the condition.

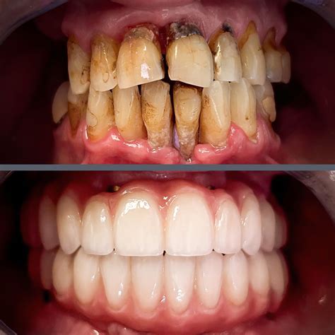
Treatment Options for Advanced Periodontal Disease

Once diagnosed, the primary goals of treatment are to stop the progression of the disease, eliminate existing infection, and rebuild the supporting structures where possible. Because the damage is extensive, professional treatment is necessary.

Non-Surgical Interventions

While non-surgical treatments are often used in earlier stages, they may still be part of a comprehensive plan for advanced cases to reduce bacterial load before surgery.

  • Scaling and Root Planing: A deep-cleaning procedure that removes plaque and tartar from above and below the gumline and smooths the root surfaces to help the gums reattach.

Surgical Interventions

When the disease is advanced, surgical procedures are often the most effective way to restore health.

  • Pocket Reduction Surgery (Flap Surgery): The gums are lifted to allow for the removal of tartar from deep pockets, and the bone may be smoothed to eliminate areas where bacteria thrive.
  • Bone Grafting: If the bone supporting the tooth has been destroyed, a graft—using synthetic, donated, or the patient’s own bone—can be placed to stimulate new bone growth.
  • Guided Tissue Regeneration (GTR): A barrier membrane is placed between the gum tissue and bone to allow the bone and connective tissue to grow back without being crowded out by the faster-growing gum tissue.

💡 Note: Success in treating advanced periodontal disease relies heavily on meticulous post-treatment home care and frequent maintenance visits to the dentist.

Preventing Further Progression

After undergoing treatment for advanced periodontal disease, long-term success requires a dedicated maintenance routine. The disease can be managed, but it can return if oral hygiene habits are neglected. Strict adherence to the following is essential:

  • Consistent Maintenance Visits: You will likely need to see your periodontist for periodontal maintenance cleanings more frequently than the standard twice-a-year checkup—often every three to four months.
  • Flawless Oral Hygiene: Proper brushing and daily interdental cleaning (floss, interdental brushes, or water flossers) are non-negotiable to prevent plaque from re-colonizing the treated areas.
  • Lifestyle Modifications: Smoking is one of the most significant risk factors for gum disease and significantly impairs healing. Quitting is essential for long-term health.

Managing this condition is a long-term commitment that demands proactive care and regular professional oversight. While the diagnosis may feel overwhelming, advanced periodontal disease is treatable, and its progression can be successfully halted through a combination of professional surgical or non-surgical intervention and rigorous daily maintenance. By addressing the deep-seated infection, restoring lost supporting structures, and maintaining impeccable oral hygiene standards, you can protect your teeth, preserve your smile, and safeguard your overall systemic health from the risks associated with chronic inflammation. Regular communication with your dental professionals remains the most effective tool in maintaining these results and ensuring the health of your gums for years to come.

Related Terms:

  • periodontal disease advanced bone loss
  • advanced periodontitis reversible treatment
  • periodontitis advanced gum disease
  • severe periodontal disease images
  • can periodontics be reversed
  • reversing advanced periodontitis treatment