Kaiser

Ala Of Sacrum Fracture

Ala Of Sacrum Fracture

An Ala of sacrum fracture is a significant orthopedic injury that involves the lateral, wing-like portion of the sacrum bone located at the base of the spine. The sacrum plays a vital role in connecting the vertebral column to the pelvic girdle, acting as a structural anchor that supports the weight of the upper body. Because this area is intricately linked to major nerves and blood vessels, a fracture in this region requires precise medical diagnosis and a comprehensive treatment plan to ensure long-term stability and function. Understanding the nature, causes, and recovery process of these fractures is essential for patients navigating the complexities of spinal and pelvic health.

Understanding the Anatomy of the Sacral Ala

The sacrum is a triangular-shaped bone formed by the fusion of five sacral vertebrae. The "ala" (Latin for "wing") refers to the broad, flared sections on either side of the sacrum. These wings articulate with the ilium of the pelvis to form the sacroiliac joints. When an Ala of sacrum fracture occurs, it often results from high-energy trauma, though it can also be seen in patients with compromised bone density, such as those with osteoporosis.

The proximity of the sacral ala to the sacral nerve roots makes these fractures particularly sensitive. Injury to this area can potentially affect lower limb function, bowel or bladder control, and overall mobility. Proper classification of the fracture, often determined through medical imaging, is the first step in determining whether a conservative or surgical approach is necessary.

Common Causes and Risk Factors

Most cases involving an Ala of sacrum fracture are the result of significant physical impact. In younger populations, these injuries are frequently linked to high-energy events, while older populations may experience them due to lower-energy incidents. Key causes include:

  • High-Impact Trauma: Motor vehicle accidents, motorcycle crashes, or significant falls from a height.
  • Osteoporosis: In elderly individuals, decreased bone density can lead to "insufficiency fractures," where the bone breaks under normal daily stress.
  • Sports-Related Injuries: Contact sports or high-impact activities that place repetitive or sudden force on the pelvic ring.
  • Pelvic Ring Instability: Fractures in the sacral ala are often accompanied by other fractures in the pelvic ring, as the pelvis acts as a rigid, circular structure.

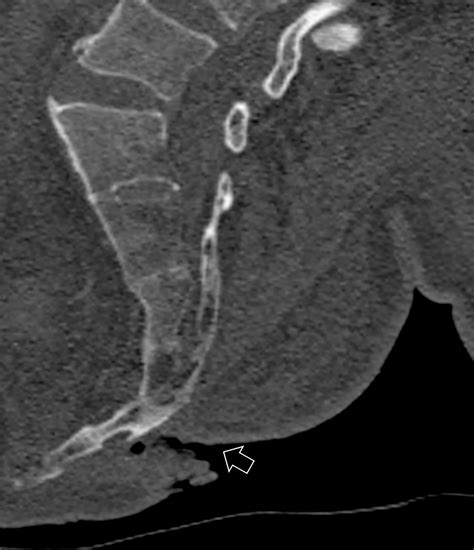
Diagnostic Procedures for Sacral Injuries

Identifying an Ala of sacrum fracture requires advanced imaging, as the bone structure of the pelvis is complex and often obscures fractures on standard X-rays. Physicians typically employ a combination of diagnostic tools to confirm the injury:

Imaging Modality Purpose
X-ray (Pelvic View) Initial screening for gross displacement or major breaks.
CT Scan The "gold standard" for identifying the specific plane and displacement of the sacral ala.
MRI Used to evaluate soft tissue injury, nerve root compression, or stress fractures not visible on CT.

⚠️ Note: If you experience sudden, severe lower back or radiating leg pain following trauma, seek emergency medical care immediately to rule out neurological compromise.

Treatment Approaches: Conservative vs. Surgical

The management of an Ala of sacrum fracture is highly individualized. The decision between conservative management and surgical intervention depends on the stability of the fracture and whether there is evidence of nerve involvement.

Conservative Management

For fractures that are non-displaced and stable, doctors often recommend a conservative approach. This involves:

  • Strict Bed Rest: Initially limiting movement to allow the bone to begin the healing process.
  • Pain Management: The use of anti-inflammatory medications and pain relievers to manage discomfort.
  • Weight-Bearing Restrictions: Using crutches or a walker to avoid putting stress on the pelvic ring until early healing is documented.

Surgical Intervention

If the fracture is displaced or the pelvic ring is deemed unstable, surgery may be necessary to restore structural integrity. Common procedures include:

  • Sacral Screw Fixation: A minimally invasive technique where screws are placed under fluoroscopic guidance to bridge the fracture site.
  • Sacral Plate Fixation: Used for more complex or multi-fragment fractures to provide rigid internal stabilization.

Recovery and Rehabilitation Protocols

Recovery from an Ala of sacrum fracture is a marathon, not a sprint. The healing phase generally spans several months, during which physical therapy plays a crucial role. Strengthening the muscles surrounding the pelvis—such as the glutes, core, and hip stabilizers—is essential to support the sacrum during daily activities.

Patients are typically guided through a graduated return to activity. It is vital to avoid heavy lifting and high-impact exercises until a specialist confirms that the fracture has achieved union. Following the prescribed physical therapy routine not only helps in regaining mobility but also prevents future complications such as chronic pain or gait disturbances.

💡 Note: Always consult with a physical therapist to create a personalized rehabilitation plan that respects your specific fracture pattern and healing rate.

Long-term Outlook and Considerations

While the recovery process can be demanding, most individuals regain significant function after an Ala of sacrum fracture. The primary goal of treatment is to prevent non-union or malunion of the bone, which can lead to chronic pelvic instability. Maintaining bone health through adequate calcium and vitamin D intake, along with regular low-impact exercise, can help support long-term skeletal health after such an injury. Monitoring for any changes in nerve sensation or persistent discomfort is also a standard part of follow-up care to ensure that no secondary issues arise as the bone continues to remodel and heal over the following year.

Navigating the recovery from a sacral injury requires patience, professional guidance, and adherence to medical advice. By understanding the biomechanics of the sacral ala and the importance of early diagnosis, patients can take proactive steps toward recovery. Whether managed through rest or surgery, the focus remains on restoring the stability of the pelvis and ensuring that the structural integrity of the lower spine is preserved. While the journey involves significant adjustment in daily routines, proper medical management and rehabilitation provide the best pathway toward returning to a pain-free and active lifestyle.

Related Terms:

  • nondisplaced right sacral ala fracture
  • sacral ala fracture location
  • management of nondisplaced sacral fractures
  • sacral ala fracture definition
  • nondisplaced left sacral alar fracture
  • nondisplaced left sacral ala fracture