Rp

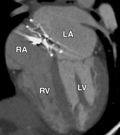
Amplatzer Septal Occluder

Amplatzer Septal Occluder

Understanding the structural integrity of the heart is vital for long-term health, and for many patients diagnosed with an atrial septal defect (ASD), the Amplatzer Septal Occluder has revolutionized treatment. This medical device represents a significant leap forward in interventional cardiology, offering a minimally invasive alternative to traditional open-heart surgery. By providing a safe and effective way to close holes in the heart’s atrial septum, this device allows patients to return to their daily lives with minimal recovery time. As we explore the complexities of this technology, it becomes clear why it remains a preferred choice for clinicians and patients alike across the globe.

What is an Atrial Septal Defect?

An atrial septal defect (ASD) is a congenital heart condition where there is a hole in the wall (septum) that separates the two upper chambers of the heart, known as the atria. In a healthy heart, oxygen-rich blood and oxygen-poor blood are kept separate. When an ASD is present, oxygenated blood from the left atrium can leak back into the right atrium, forcing the heart and lungs to work harder than necessary. Over time, if left untreated, this can lead to pulmonary hypertension, heart failure, or arrhythmias.

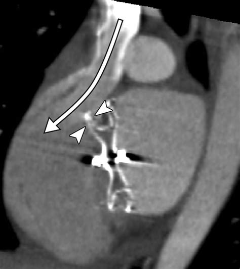
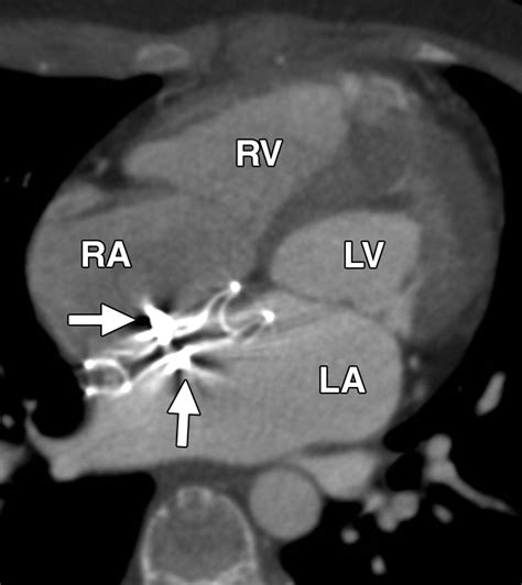
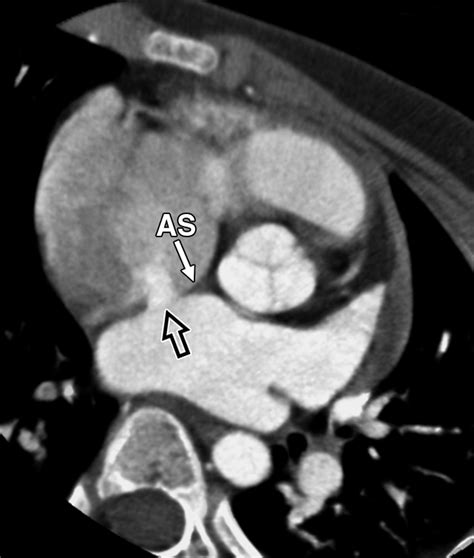
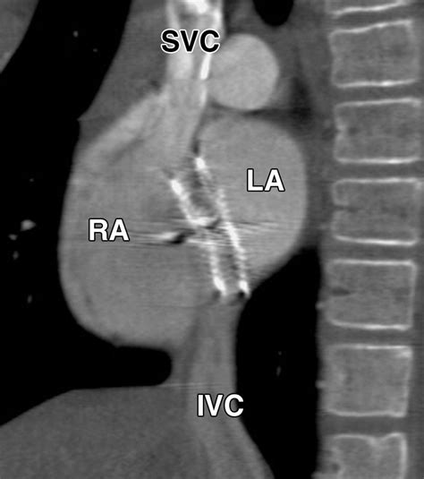
The Amplatzer Septal Occluder is specifically designed to address this by sealing the defect. It is essentially a self-expanding, double-disk device made from a flexible nitinol wire mesh. Once placed, it creates a "sandwich" effect that covers both sides of the hole, allowing the patient's own tissue to grow over the device over time, effectively healing the septal wall.

How the Procedure Works

The implantation of the device is performed in a cardiac catheterization laboratory. Unlike traditional surgery, which requires opening the chest and placing the patient on a heart-lung bypass machine, this procedure is conducted through a small incision in the groin. A catheter is guided through the femoral vein up into the heart under the guidance of echocardiography or fluoroscopy.

  • Access: The doctor inserts a thin, flexible tube (catheter) through a blood vessel in the groin.
  • Guidance: Using real-time imaging, the catheter is maneuvered into the right atrium and through the defect into the left atrium.
  • Deployment: The Amplatzer Septal Occluder is pushed through the catheter. The left atrial disk is deployed first to anchor the device, followed by the right atrial disk.
  • Evaluation: Once the device is in place, the physician ensures it is securely positioned and that the defect is completely closed.
  • Removal: The delivery system is detached and removed, leaving only the occluder behind.

⚠️ Note: Patients are typically kept under observation for a few hours or overnight to ensure no complications arise, though most are able to return to normal activities within a few days of the procedure.

Benefits of the Amplatzer Technology

Choosing the Amplatzer Septal Occluder over surgical repair offers several distinct advantages. Patients often prefer this method because it avoids the significant trauma associated with a sternotomy (opening the chest bone). Furthermore, the aesthetic benefit of avoiding a large surgical scar is often cited as a positive outcome, particularly for younger patients.

Feature Surgical Repair Amplatzer Occluder
Invasiveness Highly Invasive Minimally Invasive
Recovery Time 4–6 Weeks 1–3 Days
Anesthesia General Anesthesia Sedation or General
Scarring Large Chest Scar Tiny Puncture Wound

Patient Candidacy and Safety

Not every patient with an ASD is a candidate for the Amplatzer Septal Occluder. The size of the hole, its location within the septum, and the presence of sufficient "rim" tissue (the border of the defect) are all critical factors that determine if the device can be safely anchored. A cardiologist will perform a thorough Transesophageal Echocardiogram (TEE) to map the defect precisely.

Safety is the cornerstone of this medical device. The nitinol mesh used is biocompatible, meaning the body is highly unlikely to reject it. Furthermore, the device is designed to be retrievable before full deployment if the cardiologist determines that the positioning is not optimal, adding an extra layer of clinical safety to the procedure.

Post-Procedural Expectations

Following the procedure, patients are usually prescribed a short course of antiplatelet medication, such as aspirin or clopidogrel, to prevent the formation of blood clots on the device while the body's natural tissue grows over it. Long-term follow-up is essential to monitor the closure success. Physicians typically schedule echocardiograms at the one-month, six-month, and one-year marks to ensure the Amplatzer Septal Occluder remains in the correct position and that there is no residual shunting of blood.

💡 Note: It is important to inform any future healthcare providers, including dentists, about the presence of the device, as some procedures may require prophylactic antibiotics.

Long-term Outcomes

Studies have consistently shown that the outcomes for patients treated with the Amplatzer Septal Occluder are excellent. Most patients report a significant improvement in energy levels and overall quality of life shortly after the procedure. By normalizing blood flow patterns within the heart, the device mitigates the risk of long-term complications like stroke or heart failure, providing a permanent solution to a congenital issue.

The evolution of cardiac care through devices like the Amplatzer Septal Occluder has transformed the standard of treatment for atrial septal defects. By emphasizing minimally invasive techniques, the medical community continues to prioritize patient comfort, faster recovery, and effective long-term heart health. As diagnostic imaging and procedural precision continue to advance, the success rates associated with this technology remain high, cementing its place as a cornerstone in modern interventional cardiology. Ultimately, this device serves as a testament to how innovative engineering can provide life-changing health outcomes with minimal disruption to the patient’s daily routine, ensuring that those affected by ASD can lead active, healthy lives with confidence.

Related Terms:

  • amplatzer pfo occluder mri safety
  • asd closure devices
  • amplatzer septal occluder sizing
  • amplatzer septal occluder echo
  • amplatzer duct occluder
  • amplatz device