Cleve

Ankle Fusion Procedures

Ankle Fusion Procedures

Living with chronic ankle pain that restricts your daily activities can be debilitating. When conservative treatments like physical therapy, bracing, medication, and lifestyle modifications no longer provide relief, orthopaedic surgeons often recommend surgical intervention. Among the surgical options available, Ankle Fusion Procedures, medically known as ankle arthrodesis, remain the gold standard for treating end-stage ankle arthritis. This procedure is designed to eliminate pain by fusing the bones of the ankle joint together, effectively stopping the motion that causes discomfort. While the concept of losing joint mobility may sound daunting, many patients experience a significant improvement in their quality of life, allowing them to return to walking, working, and enjoying activities without the constant agony associated with a degenerated joint.

Understanding Ankle Fusion Procedures

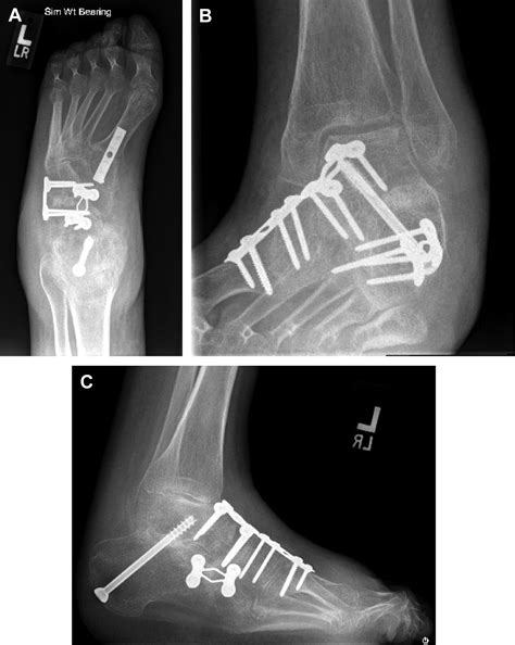
Ankle Fusion Procedures work by removing the damaged cartilage from the joint surfaces of the talus (the top bone of the foot) and the tibia (the shin bone). Once the cartilage is removed, the surgeon uses metal hardware, such as plates, screws, or rods, to hold these two bones together in a fixed position. Over the course of several months, the body naturally heals by bridging these bones with new bone tissue, creating a single, solid bone structure. The primary goal is to eliminate pain by preventing the grinding of bone-on-bone that occurs in advanced arthritis.

Candidates for this procedure typically suffer from conditions such as:

  • Severe post-traumatic arthritis resulting from a past fracture.
  • Rheumatoid arthritis or other inflammatory joint diseases.
  • Osteoarthritis caused by chronic wear and tear.
  • Failed previous ankle replacement surgery.

⚠️ Note: Ankle fusion is often recommended for younger, active patients who put significant stress on their joints, as it is generally more durable and requires less long-term maintenance than total ankle replacement.

Types of Surgical Approaches

Surgeons determine the best approach based on the severity of the joint damage, the patient's bone quality, and their medical history. Advancements in orthopaedic surgery have made these procedures more precise and minimally invasive compared to traditional methods.

Open Ankle Arthrodesis

This is the traditional method, involving an incision that allows the surgeon to directly visualize the joint. It is highly effective for complex deformities or situations where significant bone graft is required to achieve a solid fusion.

Arthroscopic Ankle Fusion

This approach is considered minimally invasive. The surgeon makes several small incisions around the ankle and uses an arthroscope—a tiny camera—to guide the procedure. Because this technique minimizes trauma to the surrounding soft tissues, patients often experience less post-operative pain, reduced risk of infection, and a faster recovery time compared to open surgery.

Feature Open Surgery Arthroscopic Surgery
Incision Size Larger (3-6 inches) Smaller (keyhole)
Soft Tissue Damage Higher Minimal
Recovery Speed Slower Faster
Visual Access Direct and comprehensive Camera-guided

What to Expect During Recovery

Recovery from Ankle Fusion Procedures requires patience and strict adherence to the surgeon's post-operative instructions. Because the bones need time to grow together, the process is gradual and usually spans several months.

  • Immobilization: Following surgery, the ankle will be placed in a splint or cast. Patients must remain non-weight-bearing for approximately 6 to 12 weeks to ensure the bones fuse properly.
  • Bone Healing: X-rays will be taken periodically to monitor the progress of the fusion. Weight-bearing is only permitted once there is radiographic evidence that the bones have securely fused.
  • Physical Therapy: Once the cast is removed, physical therapy is essential. Even though the ankle joint itself won't move, therapy helps strengthen the surrounding muscles and improves the range of motion in the foot and leg to compensate for the loss of ankle movement.
  • Adaptive Footwear: Many patients find that wearing shoes with a slight "rocker bottom" sole helps normalize their gait, making walking smoother and more natural.

💡 Note: While you will lose the up-and-down motion of the ankle joint, most patients retain enough motion in the joints of the midfoot to walk with a near-normal gait.

Long-term Outcomes and Lifestyle

The success rate for Ankle Fusion Procedures is high, with the vast majority of patients achieving complete pain relief. Although the ankle becomes stiff, it becomes a strong, stable pillar for the body. Patients can usually return to walking, hiking, cycling, and other low-impact activities. High-impact sports, such as running or jumping, are generally discouraged to protect the adjacent joints in the foot from developing premature arthritis due to altered mechanics.

It is important to manage expectations regarding gait. While you may have a slight limp immediately following the removal of your boot, your body will eventually adapt, and the gait pattern will become increasingly fluid as you regain strength in your calf and shin muscles. With proper rehabilitation, most individuals find that the trade-off of limited motion is well worth the elimination of chronic, grinding pain that previously dictated their daily capabilities.

Ultimately, choosing to undergo an ankle fusion is a significant decision that should be discussed thoroughly with an orthopaedic specialist. By focusing on the long-term benefits of pain reduction and structural stability, patients can look forward to reclaiming their mobility and quality of life. The road to recovery demands commitment, particularly during the initial months of immobilization and subsequent physical therapy, but the outcome is a durable solution for end-stage ankle joint degeneration. By understanding the different surgical techniques and adhering to a structured rehabilitation plan, individuals can successfully transition from chronic discomfort to a functional and pain-free future.

Related Terms:

  • ankle fusion after 3 months
  • problems after ankle fusion
  • do ankle fusions really work
  • pictures of ankle fusion surgery
  • ankle fusions what to expect
  • ankle bone fusion healing time