Cleve

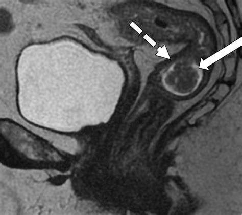
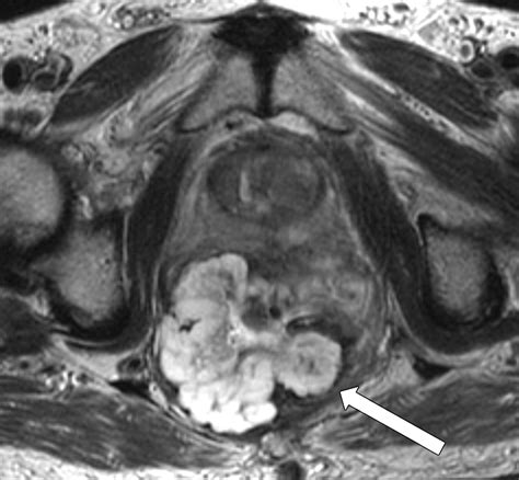
Anus Cancer Images

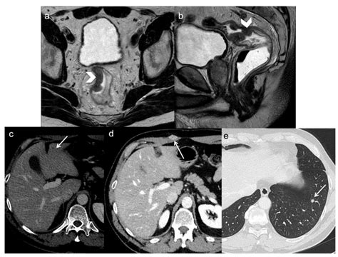
Anus Cancer Images

Understanding the complexities of anal health is a vital component of overall physical well-being, yet it remains a topic often shrouded in stigma and misinformation. Many individuals find themselves searching for information regarding symptoms, risk factors, and diagnostic tools, including queries related to anus cancer images. While visual references can sometimes provide context for medical conditions, it is crucial to approach this subject with clinical accuracy and an understanding of when to seek professional medical intervention. This article aims to provide a comprehensive overview of anal cancer, its symptoms, and the importance of professional medical assessment over self-diagnosis.

Understanding Anal Cancer and Risk Factors

Anal cancer is a rare type of cancer that occurs in the anal canal, a short tube at the end of the rectum through which stool leaves the body. While it is significantly less common than colorectal cancer, its incidence has been rising. Understanding the risk factors is the first step toward proactive health management. The primary risk factor identified by medical professionals is persistent infection with the human papillomavirus (HPV).

  • HPV Infection: High-risk strains of HPV are responsible for the vast majority of anal cancer cases.
  • Weakened Immune System: Individuals with conditions like HIV or those taking immunosuppressive drugs are at a higher risk.
  • Smoking: Tobacco use is linked to a higher likelihood of developing anal squamous cell carcinoma.
  • Age: Most cases are diagnosed in individuals over the age of 50.
  • Chronic Inflammation: Conditions that cause persistent irritation or inflammation in the anal area may increase risk over time.

While people often turn to anus cancer images to compare their own symptoms, it is important to remember that many benign conditions—such as hemorrhoids, anal fissures, or warts—can look similar to the untrained eye. Relying on images found online can lead to significant anxiety or, conversely, a false sense of security that delays necessary treatment.

Recognizing Common Symptoms

Identifying the early warning signs of anal cancer is essential for successful treatment outcomes. Symptoms often mimic those of less serious conditions, which is why a physical examination by a healthcare provider is non-negotiable. If you notice any persistent changes, you should consult a doctor rather than attempting to diagnose yourself through visual comparisons.

Common symptoms include:

  • Anal bleeding: Often noticed on toilet paper or in stool.
  • Pain or pressure: Persistent discomfort in the anal area.
  • Lumps or masses: Feeling a growth near the anal opening.
  • Change in bowel habits: Including increased frequency or narrowing of the stool.
  • Anal discharge: Unusual mucus or fluid.

⚠️ Note: If you experience persistent bleeding or pain, do not wait for symptoms to resolve on their own. Schedule an appointment with a gastroenterologist or a primary care physician immediately for a professional examination.

Diagnostic Procedures and Medical Evaluation

When you visit a doctor, they will use specific clinical tools to assess your health. Rather than relying on anus cancer images, physicians utilize a systematic approach to diagnosis. This ensures that the root cause of the discomfort is identified accurately, whether it is cancerous or benign.

The diagnostic process typically involves several key steps:

Diagnostic Tool Purpose
Digital Rectal Exam (DRE) Physician feels for lumps or abnormalities.
Anoscopy Uses a small tube to view the inside of the anal canal.
Biopsy Removal of tissue to test for cancerous cells.
Imaging (MRI/CT) Assesses the extent and spread of the disease.

During an anoscopy, the doctor may visualize the tissue directly. This direct visualization is significantly more reliable than static images found on the internet because the physician can evaluate texture, color, and tissue behavior in real-time.

The Importance of Professional Guidance

The pursuit of information regarding anus cancer images is often driven by a desire for clarity, but it is vital to acknowledge the limitations of such searches. Medical diagnosis is a complex skill that requires years of training. What might appear as a concerning growth to a layperson could be a common, treatable skin tag or a benign hemorrhoid. Conversely, early-stage cancer can sometimes appear subtle, leading a person to dismiss a serious condition because it doesn't match the graphic imagery found in search results.

Health literacy involves knowing when to consult experts. If you have concerns about your anal health, the following steps are recommended:

  • Maintain a log of your symptoms, including duration and intensity.
  • Prepare a list of questions for your doctor regarding your specific concerns.
  • Undergo recommended screenings, especially if you fall into a high-risk group.
  • Prioritize vaccination against HPV, which is a powerful preventative measure.

💡 Note: Early detection drastically improves survival rates. If you suspect an abnormality, the most effective "image" is the one captured during a diagnostic scope performed by a specialist.

Final Perspectives on Anal Health

Maintaining anal health is an essential aspect of proactive medical care. While curiosity about medical conditions is natural, it is imperative to shift the focus from internet-based visual comparisons toward professional clinical consultations. Anal cancer, while serious, is highly treatable when caught in its early stages. By prioritizing regular screenings, understanding the risk factors, and responding promptly to changes in your body, you take control of your health in the most effective way possible. Always seek the advice of a medical professional to ensure your concerns are addressed with the accuracy, privacy, and expertise that your well-being deserves. Remember that your health is not a matter for DIY assessment, and early intervention remains the cornerstone of medical success.

Related Terms:

  • Colon Cancer Early Symptoms
  • Colon Cancer Bleeding
  • Rectal Cancer
  • Colon Cancer Colonoscopy
  • Colon Cancer Tumor
  • Stomach and Colon Cancer