Rp

Appendicitis On Ct

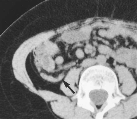
Appendicitis On Ct

When you arrive at the emergency room with severe, localized abdominal pain, time is of the essence. Healthcare providers must quickly determine the cause to prevent life-threatening complications. Among the various imaging modalities available, a computed tomography (CT) scan is widely considered the gold standard for diagnosing appendicitis. Detecting appendicitis on CT allows surgeons to confirm the diagnosis, assess the severity, and plan the necessary surgical intervention with high precision. This imaging technique provides a detailed cross-sectional view of the abdomen, making it indispensable in modern clinical practice.

Why Is a CT Scan Used for Appendicitis?

The appendix is a small, pouch-like structure attached to the large intestine. When it becomes inflamed or infected, the condition is known as appendicitis. While physical examinations and blood tests provide clues, they are often insufficient for a definitive diagnosis, as other conditions like kidney stones or ovarian cysts can mimic its symptoms. A CT scan offers superior diagnostic accuracy, boasting a sensitivity and specificity often exceeding 90-95%.

The primary advantage of visualizing appendicitis on CT is its ability to rule out other pathologies simultaneously. If the appendix appears normal, the scan can help identify the true culprit, such as diverticulitis, inflammatory bowel disease, or mesenteric adenitis. The high resolution of these images allows radiologists to observe structural changes that would remain invisible on an ultrasound or standard X-ray.

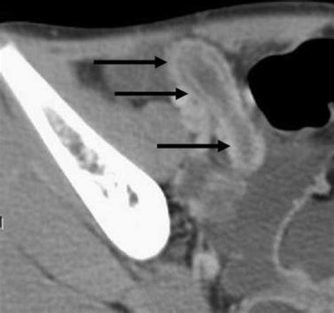
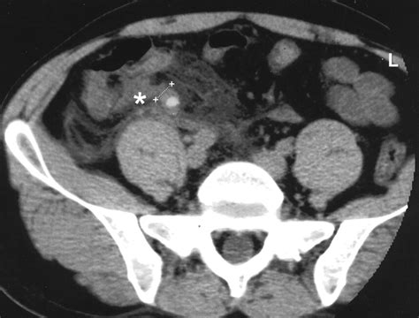
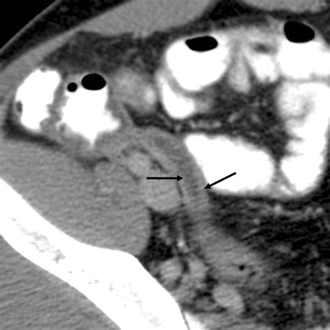
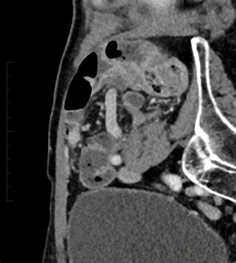
Radiographic Indicators of Appendicitis on CT

Radiologists look for specific markers when evaluating a CT scan for appendicitis. These indicators are crucial for confirming an acute inflammatory process within the appendix. The following findings are commonly associated with the diagnosis:

  • Appendix Diameter: A normal appendix is typically 6 millimeters or less in diameter. If the diameter exceeds this threshold, it is a primary indicator of distention and inflammation.
  • Wall Thickening: Inflammation causes the muscular wall of the appendix to thicken. This is often highlighted when intravenous contrast dye is used.
  • Periappendiceal Fat Stranding: This appears as hazy, gray density surrounding the appendix, indicating that the inflammation has begun to spread into the surrounding fatty tissue.
  • Appendicoliths: These are calcified deposits (fecal stones) within the appendix that can obstruct the lumen, leading to infection.
  • Extraluminal Fluid: The presence of free fluid around the appendix or in the pelvic cavity suggests that the appendix may be perforated or severely inflamed.

⚠️ Note: The presence of an appendicolith is often associated with a higher risk of appendiceal rupture, requiring prompt surgical consultation.

The Diagnostic Process: What to Expect

Understanding how the scan is performed can help alleviate anxiety. When you present with symptoms, the medical team will likely order a CT scan of the abdomen and pelvis. In most cases, the scan is performed with contrast. Contrast dye (given intravenously or sometimes orally) helps to enhance the clarity of the blood vessels and the intestinal walls, making it much easier to distinguish an inflamed appendix from healthy structures.

Imaging Modality Utility for Appendicitis Diagnostic Accuracy
CT Scan Gold Standard Very High
Ultrasound Used for children/pregnant women Variable
MRI Alternative for pregnant patients High

During the procedure, you will lie on a motorized table that slides into the donut-shaped scanner. The process is quick—usually taking less than ten minutes. The machine rotates around your body, capturing high-speed images that are reconstructed into detailed 3D views for the radiologist to interpret.

Clinical Significance of CT Findings

Once the radiologist identifies appendicitis on CT, the clinical path becomes much clearer. The scan helps the surgical team determine whether the condition is simple or complicated. A simple appendicitis is characterized by inflammation without rupture. A complicated appendicitis, on the other hand, might show signs of an abscess, perforation, or localized peritonitis.

These findings dictate the treatment plan. While an appendectomy (surgical removal) is the standard treatment for simple cases, complicated cases—such as those involving a large abscess—might initially be managed with intravenous antibiotics and, in some cases, percutaneous drainage guided by imaging, before a definitive surgery is performed later.

💡 Note: While CT scans are excellent for diagnosis, they do involve ionizing radiation. Healthcare providers prioritize lower-radiation alternatives like ultrasounds for pediatric patients when possible.

Addressing Common Concerns

Patients often worry about the radiation exposure associated with CT scans. It is important to balance this risk against the risk of an undiagnosed or ruptured appendix. A ruptured appendix can lead to sepsis, which is a life-threatening medical emergency. Therefore, the diagnostic benefit of a CT scan in an acute setting almost always outweighs the theoretical risk associated with the radiation dose. Furthermore, modern CT scanners are equipped with technology designed to minimize radiation exposure while maintaining high-quality image output.

Another point of consideration is the contrast allergy. If you have a known allergy to iodine-based contrast, you must inform the medical team immediately. They may choose to perform a non-contrast scan or provide pre-medication (such as steroids and antihistamines) to prevent an allergic reaction.

Enhancing Accuracy through Radiographic Techniques

The interpretation of appendicitis on CT is not just about the scan itself, but how it is conducted. Proper patient preparation, such as fasting (NPO status) prior to the scan, can help ensure the intestines are in a state that allows for the best possible visibility. In some institutions, rectal contrast is used to distend the colon, though this has become less common in favor of high-quality intravenous contrast techniques that are more comfortable for the patient.

Ultimately, the accuracy of the diagnosis relies on the synergy between the clinical presentation and the imaging report. A skilled radiologist will examine the entire image set, checking for "the target sign"—a specific appearance where the appendix looks like a circular target due to the layers of the inflamed wall—as well as the previously mentioned fat stranding and wall thickening.

Identifying this condition early via imaging prevents the progression of the disease. Whether the report confirms a simple inflammatory process or a more complex case involving a rupture, the objective data provided by the CT scan empowers the surgeon to make the best decision for your health. Always prioritize professional medical assessment if you suspect symptoms of appendicitis, and allow your emergency medical team to navigate the best diagnostic pathway for your specific situation.

Related Terms:

  • normal appendix ct
  • inflamed appendix on ct scan
  • appendicitis on ct coronal
  • appendicitis on ct with contrast
  • normal appendix size ct
  • radiopaedia appendicitis