Cleve

Arthritis In Big Toe

Arthritis In Big Toe

Experiencing stiffness, pain, or limited mobility in your foot can drastically impact your quality of life, especially when it stems from arthritis in big toe. This condition, medically known as hallux rigidus, is a form of degenerative arthritis that affects the metatarsophalangeal (MTP) joint—the base of your big toe. As the cartilage wears away, bone rubs against bone, leading to inflammation and the growth of bone spurs. Because we rely on the big toe for balance and propulsion during walking, running, or even standing, the discomfort associated with this condition can become debilitating if left unaddressed. Understanding the symptoms, causes, and treatment options is the first step toward reclaiming your mobility.

Understanding the Causes of Arthritis in Big Toe

Person experiencing foot pain

The primary driver behind arthritis in big toe is the gradual degradation of the articular cartilage that cushions the MTP joint. Unlike other types of arthritis that may stem from systemic autoimmune diseases, this condition is typically a result of wear and tear, injury, or anatomical factors.

Common factors that contribute to the development of this condition include:

  • Structural Abnormalities: Having a longer or elevated first metatarsal bone can increase pressure on the MTP joint, leading to faster cartilage wear.
  • Previous Trauma: A past injury, such as stubbing the toe or dropping a heavy object on it, can damage the joint surface and trigger early-onset arthritis.
  • Repetitive Stress: Athletes, such as dancers or runners, who place excessive force on the forefoot are at a higher risk.
  • Genetics: Foot shape and susceptibility to cartilage degradation often run in families.
  • Footwear Choices: Consistently wearing high heels or shoes with a tight, narrow toe box can compress the joint and worsen alignment over time.

Recognizing the Symptoms

The progression of arthritis in big toe is often gradual. Initially, you might notice only mild discomfort, but as the joint stiffens, the symptoms become more pronounced. Recognizing these early signs can help you seek treatment before the condition advances to a stage where movement becomes severely restricted.

Key symptoms include:

  • Pain and Stiffness: Pain often flares up during activity, particularly when pushing off the toe during walking or running. Stiffness typically follows periods of rest.
  • Swelling and Inflammation: The area around the MTP joint may look red, swollen, and tender to the touch.
  • Bone Spurs (Osteophytes): As the cartilage erodes, the body attempts to repair the joint by forming bone spurs on the top of the toe. These can create a noticeable bump that rubs against your footwear.
  • Difficulty with Certain Activities: Squatting, wearing heels, or standing for long periods may become painful.

⚠️ Note: If you notice sudden, severe pain, redness, or heat, it may be a sign of gout or an infection rather than standard wear-and-tear arthritis. Consult a medical professional immediately if you experience these acute symptoms.

Conservative Treatment Options

In many cases, symptoms of arthritis in big toe can be managed effectively without resorting to surgery. The goal of non-surgical treatment is to reduce inflammation and minimize mechanical stress on the joint.

Effective management strategies include:

  • Footwear Modification: Choose shoes with a wide, deep toe box to prevent pressure on bone spurs. Stiff-soled shoes or those with a "rocker bottom" design help transfer pressure away from the MTP joint during the walking cycle.
  • Custom Orthotics: Inserts can help correct biomechanical imbalances and limit excessive motion in the affected joint.
  • Anti-Inflammatory Medication: Over-the-counter non-steroidal anti-inflammatory drugs (NSAIDs) can help reduce swelling and manage pain during flare-ups.
  • Physical Therapy: Specific exercises to maintain flexibility and strengthen the muscles supporting the foot can improve overall function.
  • Injections: Corticosteroid injections may provide temporary relief by significantly reducing inflammation in the joint capsule.

Treatment Comparison Table

Method Primary Goal Best For
Footwear Changes Reduce pressure on the joint Daily comfort and mild cases
Custom Orthotics Align foot and offload stress Biomechanical imbalances
Physical Therapy Improve range of motion Early-stage stiffness
Corticosteroid Injections Acute inflammation relief Temporary pain reduction

When Surgical Intervention Is Necessary

When conservative methods fail to provide adequate relief, or if the arthritis in big toe significantly impairs daily functioning, surgical intervention may be recommended. The type of surgery depends on the severity of the damage, the patient's age, and their activity level.

Common surgical procedures include:

  • Cheilectomy: This involves removing the bone spurs from the top of the joint, which can improve range of motion and reduce impingement.
  • Osteotomy: A procedure to cut and realign the metatarsal bone to offload the pressure on the damaged joint.
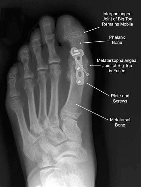
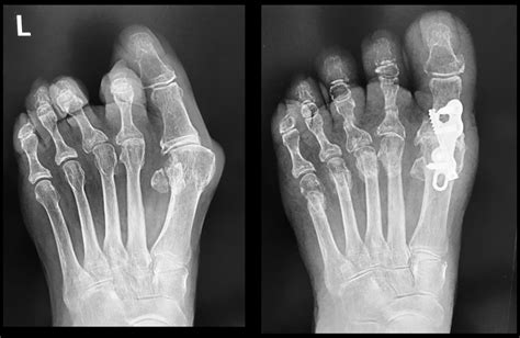
  • Arthrodesis (Fusion): This is considered the "gold standard" for advanced cases. The two bones forming the MTP joint are fused together. While this eliminates motion in the joint, it also eliminates the pain, allowing for a normal walking gait.
  • Arthroplasty: This involves replacing the joint surfaces with an implant. It is generally reserved for less active individuals or cases where preserving joint motion is critical.

Prevention and Lifestyle Adjustments

While you cannot always prevent the natural aging process of your joints, you can adopt habits to slow the progression of arthritis in big toe and protect your foot health. Being proactive about foot mechanics can prevent small issues from developing into chronic, painful conditions.

Adopt these habits to maintain better foot health:

  • Maintain a Healthy Weight: Excess body weight puts significant, unnecessary strain on all the joints in the lower body, including the feet.
  • Listen to Your Body: If you feel localized pain after exercise, give your feet adequate rest and switch to lower-impact activities until the inflammation subsides.
  • Choose Proper Footwear: Prioritize structural support and toe room over aesthetics. Avoid wearing tight or high-heeled shoes for extended periods.
  • Incorporate Stretching: Regularly stretch the calf muscles and the toes to maintain flexibility and reduce the pulling force on the foot arches.

Managing the challenges associated with arthritis in big toe requires a comprehensive and patient-centered approach. By recognizing the early signs, modifying daily habits, and utilizing non-invasive treatments, many individuals can maintain a highly active lifestyle without significant disruption. When these initial measures are insufficient, modern surgical techniques offer reliable solutions that can permanently alleviate pain and restore quality of life. The path to relief is rarely a one-size-fits-all solution; working closely with a healthcare professional ensures that your treatment plan is tailored to your specific biomechanical needs and lifestyle goals, helping you keep moving comfortably for years to come.

Related Terms:

  • very painful big toe joint
  • arthritis in big toe symptoms
  • arthritis in big toe treatment
  • pictures of big toe arthritis
  • big toe arthritis pain relief
  • end stage arthritis big toe