Cleve

Artificial Urethral Sphincter

Artificial Urethral Sphincter

Living with urinary incontinence can be a profoundly challenging experience, affecting every aspect of a person’s daily life, from physical comfort to emotional well-being. For many individuals suffering from severe stress urinary incontinence—often resulting from prostate surgery, trauma, or congenital conditions—the loss of bladder control feels like an insurmountable barrier. However, medical advancements have paved the way for life-changing interventions, most notably the Artificial Urethral Sphincter (AUS). This sophisticated medical device serves as a gold-standard solution for those whose natural urinary mechanisms are no longer functioning effectively, offering a path toward regaining independence and confidence.

Understanding the Artificial Urethral Sphincter

An Artificial Urethral Sphincter is a surgically implanted device designed to mimic the function of the natural sphincter muscle, which normally keeps the urethra closed to prevent urine leakage. When this natural muscle is damaged or weak, the AUS takes over the responsibility of controlling the flow of urine. The device is entirely contained within the body, making it discreet and effective for long-term use.

The system typically consists of three interconnected components:

  • The Cuff: A circular balloon placed around the urethra that inflates to keep the urethra closed.
  • The Pump: A small control mechanism placed in the scrotum (for men) or labia (for women) that allows the patient to manually deflate the cuff when they need to urinate.
  • The Balloon (Pressure-Regulating Reservoir): A reservoir implanted in the abdomen that regulates the pressure within the system to ensure the cuff stays closed yet comfortable.
Medical professional explaining anatomy

Why Choose an Artificial Urethral Sphincter?

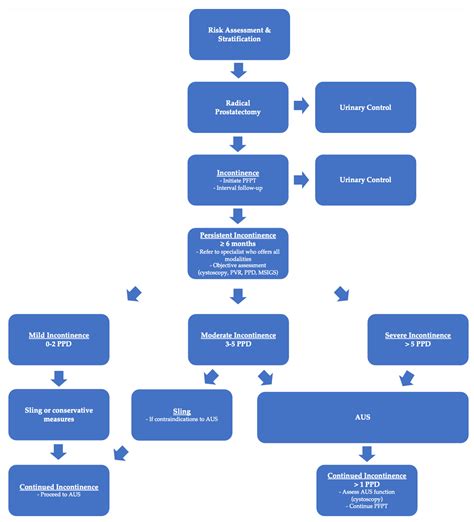
Choosing to undergo surgery for an Artificial Urethral Sphincter is a significant decision. Patients usually opt for this procedure after conservative treatments—such as pelvic floor exercises, medication, or lifestyle modifications—have failed to provide adequate relief. The primary advantage of the AUS is its high success rate in restoring continence in patients with severe, intrinsic sphincter deficiency.

Below is a comparison of how the AUS fares against other common treatments for incontinence:

Treatment Method Mechanism Best For
Pelvic Floor Therapy Muscle strengthening Mild incontinence
Urethral Bulking Agents Injection to narrow the urethra Moderate leakage
Artificial Urethral Sphincter Mechanical compression Severe, stress incontinence

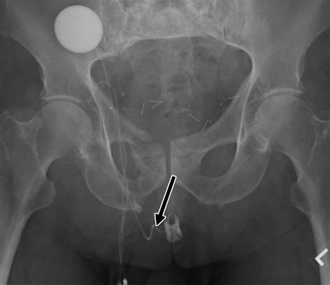
The Surgical Journey and Recovery

The implantation of an Artificial Urethral Sphincter is performed under general or regional anesthesia by a urologist specializing in reconstructive or prosthetic surgery. The surgery typically takes about an hour to an hour and a half. Following the procedure, the device is kept "deactivated" for several weeks to allow the tissues to heal properly. During this time, the patient may still experience leakage until the final activation appointment.

Post-operative care is crucial for the long-term success of the device. Patients should expect the following during their recovery phase:

  • Restricted Activity: Avoiding heavy lifting or strenuous exercise for at least 4 to 6 weeks.
  • Wound Care: Keeping the incision site clean and dry to prevent infection.
  • Gradual Activation: Returning to the clinic after 6–8 weeks to have the device activated and learn how to operate the pump.

⚠️ Note: It is critical to contact your surgeon immediately if you notice signs of infection, such as fever, persistent redness, or discharge around the incision site, as these could jeopardize the integrity of the implant.

Life After Implantation

Once activated, the Artificial Urethral Sphincter becomes an intuitive part of the patient's daily routine. Using the device is straightforward: when the urge to urinate arises, the patient simply squeezes the pump, which moves fluid from the urethral cuff into the pressure-regulating reservoir. This allows the urethra to open. After a few minutes, the cuff automatically refills, closing the urethra once more. This simple, reliable mechanism provides consistent dryness throughout the day.

Most patients report a significant improvement in their quality of life. The psychological burden of constant pad-changing or fear of accidental leakage is drastically reduced, allowing individuals to resume activities like hiking, swimming, and socializing without constant anxiety. While the device is durable, it is important to remember that it is a mechanical component and may require revision or replacement after many years of use, as wear and tear are natural.

Maintaining the Device for Longevity

While the Artificial Urethral Sphincter is designed for durability, patient maintenance is key. Regular follow-up appointments with a urologist are essential to ensure the device is functioning correctly and to detect any potential issues before they cause symptoms. Patients should also be mindful of certain medical procedures that could inadvertently damage the sphincter, such as catheterization. Always inform healthcare providers that you have an implanted sphincter prior to undergoing any urological procedures.

By taking an active role in their care and maintaining open communication with their medical team, patients can ensure their device remains functional for years, effectively managing their incontinence and supporting an active, fulfilling lifestyle. The transition from struggle to stability is entirely possible with the right surgical expertise and commitment to the post-surgical recovery process.

The journey to overcoming urinary incontinence is deeply personal, and while the prospect of surgery can be daunting, the Artificial Urethral Sphincter remains one of the most reliable and effective tools in modern urology. By addressing the physical root cause of incontinence, this device provides more than just a medical fix; it restores the dignity and freedom that many patients fear they have lost forever. With proper surgical planning, dedicated post-operative care, and ongoing medical supervision, individuals can successfully regain control over their bladder function. As research continues to refine these devices, the future of prosthetic urology looks even more promising, ensuring that patients have access to lasting, life-enhancing solutions that prioritize both physical health and overall quality of life.

Related Terms:

  • artificial urethral sphincter mri safety
  • artificial urinary sphincter for men
  • artificial urethral sphincter dog
  • artificial urethral sphincter radiology
  • artificial urinary sphincter
  • artificial urethral sphincter male