Mayo

Artritis En Las Manos

Artritis En Las Manos

Vivir con artritis en las manos puede transformar tareas cotidianas, como abrir un frasco, escribir o abotonarse una camisa, en desafíos dolorosos y frustrantes. Esta condición, que afecta las articulaciones y los tejidos circundantes, es mucho más que una simple molestia asociada al envejecimiento; es una afección inflamatoria que requiere atención, comprensión y una estrategia de manejo integral para mantener la calidad de vida y la funcionalidad. La buena noticia es que, aunque no existe una cura definitiva, los avances médicos y terapéuticos actuales permiten que las personas diagnosticadas lleven una vida activa y plena si aprenden a gestionar sus síntomas de manera efectiva.

Entendiendo la Artritis en las Manos: Tipos y Causas

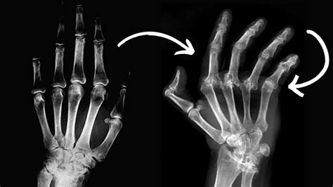
Ilustración de las articulaciones afectadas por artritis en las manos

La artritis en las manos no es una enfermedad única, sino un término paraguas que engloba diversas afecciones que causan dolor, rigidez e inflamación en las articulaciones de los dedos, los nudillos y las muñecas. Entender qué tipo de artritis afecta a una persona es el primer paso fundamental para diseñar un plan de tratamiento adecuado.

Los tipos más frecuentes incluyen:

  • Osteoartritis (OA): Es la forma más común, vinculada generalmente al desgaste del cartílago protector con el paso del tiempo. Se presenta frecuentemente en la base del pulgar y en las articulaciones cercanas a las uñas.
  • Artritis Reumatoide (AR): Una enfermedad autoinmune donde el sistema inmunológico ataca erróneamente el revestimiento de las articulaciones (sinovial), provocando inflamación crónica, dolor intenso y, si no se trata, deformidades articulares.
  • Artritis Psoriásica: Ocurre en algunas personas que padecen psoriasis, afectando a menudo los dedos de forma asimétrica, pudiendo provocar hinchazón severa (dactilitis).
  • Gota: Causada por la acumulación de cristales de ácido úrico en las articulaciones, generando episodios repentinos e intensos de dolor, enrojecimiento y calor.

Síntomas Comunes que no Debes Ignorar

Reconocer las señales de alerta tempranas es crucial para obtener un diagnóstico preciso y comenzar el tratamiento necesario antes de que ocurra un daño articular significativo. Si experimentas alguno de los siguientes síntomas, es recomendable consultar a un especialista:

  • Dolor articular: Puede ser sordo o agudo, empeorando después de usar las manos o al despertar.
  • Rigidez: Especialmente notable por las mañanas o después de periodos de inactividad, dificultando el movimiento fluido.
  • Hinchazón y calor: Las articulaciones pueden sentirse calientes al tacto, inflamadas y sensibles.
  • Disminución del rango de movimiento: Dificultad para cerrar la mano, hacer un puño o realizar movimientos finos de pinza.
  • Deformidades o bultos: Aparición de nódulos óseos (nódulos de Heberden o Bouchard) en los dedos o desviación articular.

Opciones de Tratamiento: Manejo Integral

El manejo de la artritis en las manos combina enfoques médicos, terapias físicas y ajustes en el estilo de vida. La tabla a continuación resume los enfoques más comunes según el objetivo del tratamiento:

Enfoque Objetivo Ejemplos
Farmacológico Reducir dolor e inflamación Antiinflamatorios (AINEs), analgésicos tópicos, DMARDs (para AR)
Terapia Física/Ocupacional Preservar función y fuerza Ejercicios de estiramiento, uso de férulas, terapia de calor/frío
Estilo de Vida Reducir estrés articular Adaptación de herramientas, pausas activas, dieta antiinflamatoria

💡 Note: Nunca te automediques con analgésicos potentes sin supervisión médica, ya que el uso prolongado de ciertos medicamentos puede causar efectos secundarios gastrointestinales o cardiovasculares graves.

Estrategias y Ejercicios para el Alivio Diario

La implementación de rutinas diarias de cuidado personal puede reducir drásticamente la carga de dolor asociada con la artritis en las manos. La clave es la consistencia y la suavidad en los movimientos.

Ejercicios de Movilidad

  • Extensión suave: Abre la mano completamente, extendiendo los dedos lo más posible sin forzar, y luego relaja. Repite 5 veces.
  • Movimiento de pinza: Toca la punta de cada dedo con la punta del pulgar formando una “O”. Esto mejora la destreza fina.
  • Puño suave: Cierra la mano suavemente sin apretar con fuerza, manteniendo la posición unos segundos, y abre lentamente.

Consejos Ergonómicos

  • Utiliza utensilios de cocina con mangos gruesos o adaptados para reducir el esfuerzo al agarrar.
  • Opta por dispositivos eléctricos (abrelatas, destornilladores) para evitar el estrés articular.
  • Utiliza férulas o soportes para muñecas durante la noche para reducir la inflamación matutina.

💡 Note: Si durante la realización de estos ejercicios sientes un dolor agudo o punzante que persiste, detente inmediatamente y consulta con tu terapeuta ocupacional para ajustar la rutina.

Cambios en el Estilo de Vida y Alimentación

Lo que comes y cómo vives impacta directamente en la inflamación sistémica. Aunque no existe una dieta “milagrosa”, adoptar un estilo de alimentación antiinflamatorio puede ayudar a controlar los síntomas de la artritis en las manos.

Considera integrar lo siguiente:

  • Ácidos grasos Omega-3: Presentes en pescados grasos (salmón, sardinas), nueces y semillas de chía, conocidos por sus propiedades antiinflamatorias.
  • Frutas y verduras coloridas: Ricas en antioxidantes que combaten el estrés oxidativo en las articulaciones.
  • Evitar alimentos procesados: El exceso de azúcares refinados y grasas trans puede exacerbar los procesos inflamatorios en el cuerpo.
  • Hidratación adecuada: Mantener los tejidos articulares bien hidratados es esencial para su correcta función.

Gestionar la artritis en las manos es un proceso continuo que requiere paciencia y una estrecha colaboración con tu equipo médico. Al combinar tratamientos farmacológicos dirigidos, fisioterapia constante y ajustes ergonómicos en tu entorno cotidiano, es posible reducir significativamente el dolor y mantener la funcionalidad de tus manos. Escuchar a tu cuerpo, respetar sus límites y adoptar hábitos saludables son los pilares fundamentales para minimizar el impacto de esta condición, permitiéndote retomar el control de tus actividades diarias y mejorar tu bienestar general a largo plazo.

Related Terms:

  • artritis en las manos fotos
  • artritis en las manos tratamiento
  • como evitar la artritis
  • como curar el dolor artritis
  • artritis en dedos de manos
  • artritis en las manos sintomas