Cleve

Atypical Ductal Hyperplasia

Atypical Ductal Hyperplasia

Receiving a pathology report that includes the term Atypical Ductal Hyperplasia (ADH) can be an overwhelming experience. It is natural to feel anxious when encountering medical terminology that suggests an abnormality in your breast tissue. However, understanding what this diagnosis truly means is the first step toward managing your health effectively. ADH is not cancer, but it is considered a "high-risk" lesion that requires careful monitoring and, in many cases, further clinical action. By breaking down the complexities of this condition, we can demystify the diagnosis and help you navigate the next steps with your healthcare team.

What Exactly Is Atypical Ductal Hyperplasia?

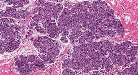
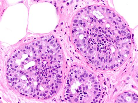
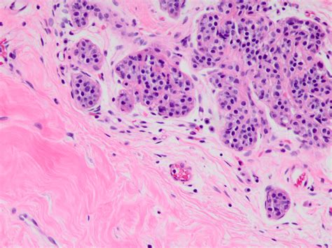
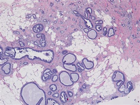
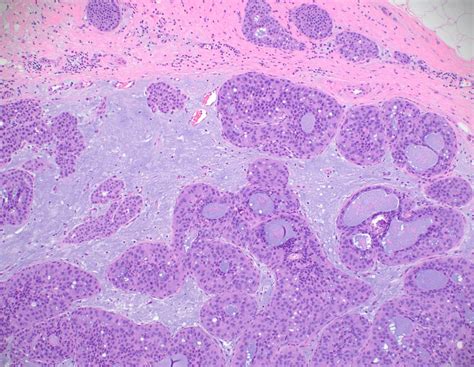
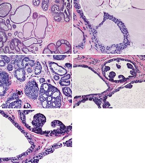
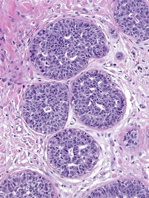
To understand Atypical Ductal Hyperplasia, it helps to look at how breast tissue changes. In a healthy breast, cells line the ducts (the tubes that carry milk). Sometimes, these cells begin to grow in an uncontrolled or disorganized manner. This process is called hyperplasia.

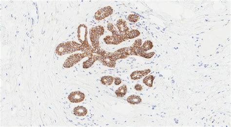
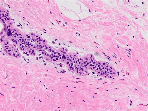
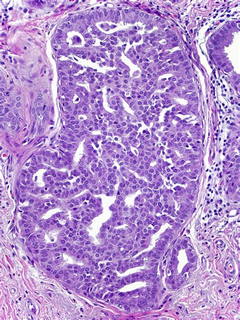
When those cells not only multiply but also begin to look and behave differently than normal cells—yet are not considered cancer—it is classified as “atypical.” Therefore, ADH represents a state of overgrowth where the cells lining the breast ducts have acquired some features of cancer but remain confined within the ductal structure. It is essentially a marker that indicates your breast cells are prone to genetic changes that could lead to breast cancer in the future.

Why Is ADH Considered High Risk?

The primary reason medical professionals take Atypical Ductal Hyperplasia seriously is its role as a risk factor. Having ADH does not mean you have breast cancer, but it does mean your statistical risk of developing invasive breast cancer at some point in your life is higher than that of someone without the condition.

Studies suggest that women diagnosed with ADH have a risk of developing breast cancer that is approximately four to five times higher than the general population. This increased risk applies to both breasts, not just the breast where the ADH was discovered. Because of this, specialists view ADH as a “marker” lesion—an early warning sign that necessitates a personalized breast cancer surveillance plan.

Common Symptoms and Detection

One of the most important things to know about Atypical Ductal Hyperplasia is that it usually does not cause any physical symptoms. Most people are completely unaware they have it until they undergo a routine screening or diagnostic procedure.

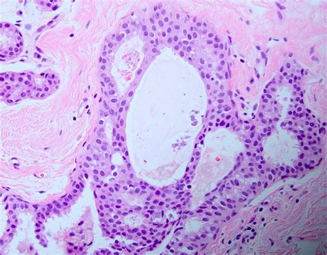
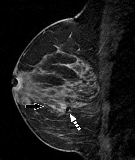
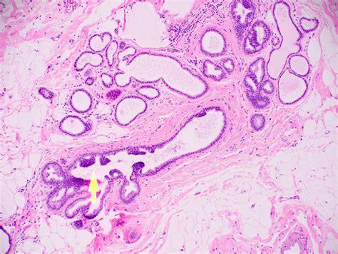
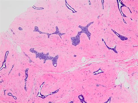
  • Mammogram findings: ADH often appears as suspicious microcalcifications (tiny calcium deposits) on a mammogram.
  • Incidental discovery: It is frequently found during a breast biopsy performed for another, unrelated reason, such as a breast lump or imaging abnormality.
  • Lack of lumps: Unlike invasive breast cancer, ADH rarely creates a palpable mass or lump that can be felt during a physical breast exam.

⚠️ Note: Because ADH is often asymptomatic, regular breast cancer screening via mammography remains your most effective tool for early detection.

Comparing ADH to Other Breast Conditions

It is helpful to compare Atypical Ductal Hyperplasia with other common breast findings to understand where it sits on the spectrum of breast health.

Condition Classification Risk Level
Normal Breast Tissue Benign Average
Simple Hyperplasia Benign Slightly elevated
Atypical Ductal Hyperplasia (ADH) High-Risk Moderate (4-5x increase)
Ductal Carcinoma In Situ (DCIS) Pre-cancerous High
Invasive Breast Cancer Malignant N/A

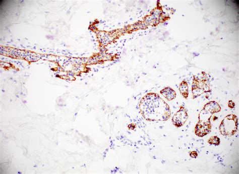
Diagnostic Steps and Biopsy Follow-up

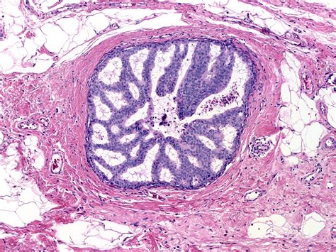
If a needle biopsy reveals Atypical Ductal Hyperplasia, your doctor will likely recommend an excisional biopsy (often called a surgical biopsy). This is a standard procedure because a needle biopsy only takes a tiny sample of the tissue. Sometimes, the initial biopsy may have missed a larger area of cancer or higher-grade atypical cells located elsewhere within the same lesion.

During an excisional biopsy, the surgeon removes the entire area of concern along with a margin of healthy tissue. This allows the pathologist to examine the entire lesion to confirm the diagnosis and ensure no invasive cancer is hidden nearby.

Management and Risk Reduction Strategies

Once the diagnosis of Atypical Ductal Hyperplasia is confirmed and the area is successfully removed, the focus shifts to long-term risk management. Your oncologist or breast specialist will work with you to create a personalized plan.

  • Enhanced Surveillance: You may undergo more frequent breast imaging, such as alternating every six months between a mammogram and an MRI of the breast.
  • Chemoprevention: Medications like Tamoxifen or Raloxifene may be discussed to reduce the risk of future breast cancer development by blocking estrogen receptors.
  • Lifestyle Adjustments: Maintaining a healthy weight, limiting alcohol intake, and regular physical activity are recommended to support overall breast health and reduce systemic risk factors.
  • Genetic Counseling: Depending on your family history, your doctor may suggest genetic testing to see if you carry inherited mutations, such as BRCA1 or BRCA2.

💡 Note: Always consult with a breast surgeon or an oncology specialist before beginning any medication-based risk reduction program to ensure it is appropriate for your specific health history.

Living With an ADH Diagnosis

Living with the knowledge that you have a higher risk for breast cancer requires a balance of vigilance and peace of mind. It is common to feel frustrated or anxious, but remember that the identification of Atypical Ductal Hyperplasia is actually a clinical advantage. Because your doctors are aware of the increased risk, they are now watching you much more closely than the average person. This proactive approach significantly increases the likelihood of catching any potential issues at their most treatable stage.

Engage in open communication with your healthcare team. Ask about the specific features of your pathology report, discuss your personal risk factors, and do not hesitate to ask for a second opinion if you feel it will provide you with greater clarity. Keeping a consistent schedule for your screenings is the most powerful action you can take to safeguard your health.

The discovery of Atypical Ductal Hyperplasia serves as an essential indicator for future health maintenance rather than an immediate crisis. While the label of high-risk can feel intimidating, modern medical advancements provide robust strategies for surveillance and risk mitigation that can effectively manage your long-term health. By partnering with your medical team, adhering to a specialized screening schedule, and staying informed about risk-reduction options, you can navigate this diagnosis with confidence and focus on maintaining your overall well-being. Regular monitoring is your greatest ally, ensuring that you stay one step ahead in your journey toward long-term health.

Related Terms:

  • atypical ductal hyperplasia symptoms
  • atypical ductal hyperplasia surgical excision
  • what causes atypical ductal hyperplasia
  • atypical ductal hyperplasia prognosis
  • atypical ductal hyperplasia breast guidelines
  • focal atypical lobular hyperplasia