Cleve

Atypical Teratoid Tumor

Atypical Teratoid Tumor

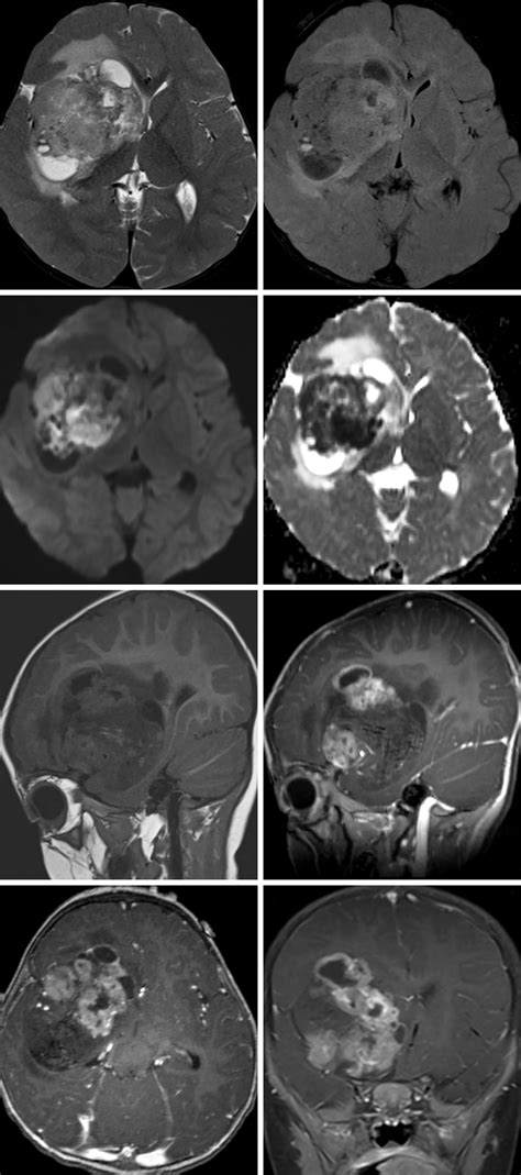
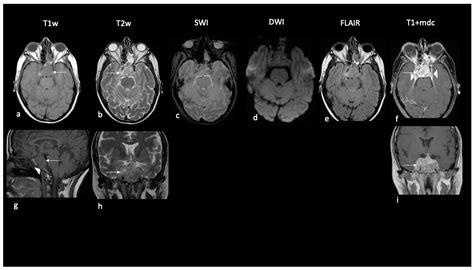
An Atypical Teratoid Rhabdoid Tumor (AT/RT) represents one of the most aggressive and challenging forms of central nervous system malignancies, primarily affecting infants and young children. Characterized by its rapid growth and tendency to spread throughout the central nervous system, this rare embryonal tumor requires a sophisticated understanding of pediatric oncology. While the diagnosis is undoubtedly frightening for families, advancements in molecular pathology and multi-modal treatment strategies are gradually reshaping the outlook for patients. Understanding the biological basis, clinical presentation, and current management protocols is essential for caregivers and healthcare professionals navigating this complex condition.

Understanding the Pathobiology of AT/RT

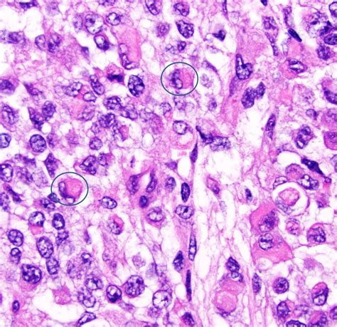
The term Atypical Teratoid Tumor, often referred to as AT/RT, describes a tumor that is composed of various types of cells, often resembling both embryonic tissues and rhabdoid cells (cells that resemble muscle). A defining feature of these tumors is a specific genetic mutation involving the SMARCB1 (also known as INI1) or, more rarely, the SMARCA4 gene. These genes act as tumor suppressors, and when they are dysfunctional, cells can grow uncontrollably.

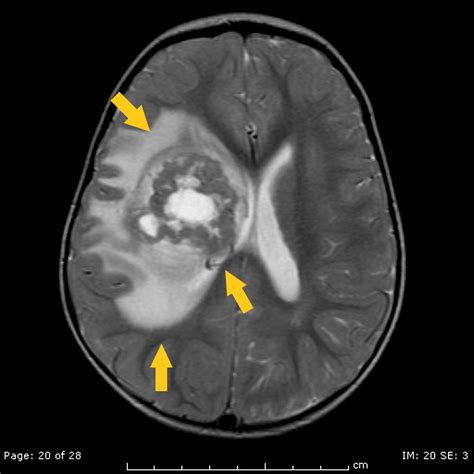
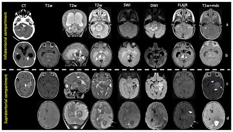
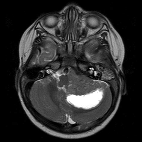
Because these tumors are highly malignant and classified as Grade IV under the World Health Organization (WHO) classification of central nervous system tumors, they grow quickly and can invade surrounding healthy brain tissue. Unlike many other brain tumors, an Atypical Teratoid Tumor can manifest in various locations within the brain or spinal cord, complicating the surgical approach and overall prognosis.

Common Clinical Symptoms and Diagnostic Approaches

The symptoms of an Atypical Teratoid Tumor often depend on the tumor's specific location within the cranium. Because these tumors grow rapidly, symptoms usually appear suddenly and worsen over a short period. Common clinical presentations include:

  • Persistent headaches, often worse in the morning.
  • Nausea and vomiting, particularly upon waking.
  • Changes in balance, coordination, or walking ability (ataxia).
  • Seizures or unexplained spells.
  • Developmental regression or irritability in infants.
  • Vision changes or involuntary eye movements.

Diagnosis typically begins with advanced neuroimaging, such as MRI scans with and without contrast, to visualize the tumor's size and location. However, imaging alone is rarely sufficient. A definitive diagnosis is achieved through a surgical biopsy or total resection, followed by a rigorous pathological examination. Pathologists look for the loss of INI1 protein expression in the tumor cells, which serves as a molecular hallmark for an Atypical Teratoid Tumor.

Standard Treatment Modalities

Treating an Atypical Teratoid Tumor requires a highly coordinated, multidisciplinary approach. Because the tumor is so aggressive, single-modality treatment is almost never effective. Standard protocols usually involve a combination of the following:

Treatment Type Purpose
Surgical Resection To remove as much of the tumor as possible while preserving vital functions.
High-Dose Chemotherapy Systemic treatment aimed at killing residual microscopic tumor cells.
Radiation Therapy Used to target remaining tumor areas, though often delayed or modified in very young infants.
Stem Cell Transplant Used to support the body after intensive, high-dose chemotherapy regimens.

💡 Note: The choice of therapy is often dictated by the child's age, the extent of the initial surgery, and whether the tumor has metastasized to the spinal fluid at the time of diagnosis.

Historically, the prognosis for children diagnosed with an Atypical Teratoid Tumor has been guarded due to the aggressive nature of the disease. However, as medical science advances, physicians are seeing improved outcomes through specialized protocols that integrate intensive chemotherapy and, when appropriate, targeted molecular therapies. Long-term follow-up is critical, as survivors may face cognitive, endocrine, or neurological late effects stemming from the intensive treatment regimens required to combat the tumor.

Supportive care remains a pillar of the treatment journey. This includes neuro-rehabilitation, physical therapy, and psychological support for both the patient and their families. Engaging with specialized pediatric neuro-oncology centers is vital, as they have access to the latest clinical trials and personalized medicine approaches that continue to push the boundaries of current survival rates.

Future Directions in Oncology Research

Research into Atypical Teratoid Tumor is currently shifting toward targeted therapies. Scientists are investigating drugs that can inhibit the specific signaling pathways that become overactive when the SMARCB1 gene is absent. By moving beyond traditional "one-size-fits-all" chemotherapy, the goal is to develop treatments that are both more effective at destroying malignant cells and less toxic to the developing brains of children. Immunotherapy and epigenetic inhibitors are among the most promising areas of study currently being evaluated in various phase I and II clinical trials across the globe.

The journey of understanding and treating an Atypical Teratoid Tumor is a testament to the resilience of young patients and the dedication of the medical community. While the diagnosis remains among the most difficult a family can face, the transition toward molecularly-driven treatments offers a path toward better outcomes. Early detection through vigilant monitoring, combined with aggressive, multidisciplinary interventions, remains the best chance for successful management. As we continue to refine our knowledge of the genetic underpinnings of this disease, the medical field moves closer to transforming the landscape of pediatric neuro-oncology, providing more hope and improved quality of life for children affected by this condition.

Related Terms:

  • Atypical Teratoid Rhabdoid Tumor
  • Rhabdoid Tumour
  • Rhabdoid Cells
  • Atypical Teratoid Rhabdoid Tumor Histology
  • Atypical Teratoid Rhabdoid Tumor MRI
  • AT-RT Tumor