Cleve

Autoimmune Lung Conditions

Autoimmune Lung Conditions

When the body's immune system, which is designed to protect us from harmful invaders like viruses and bacteria, turns its focus inward and begins attacking healthy lung tissue, it can lead to a complex group of disorders known as autoimmune lung conditions. These diseases are not just rare health anomalies; they represent a significant intersection between rheumatology and pulmonology, requiring precise diagnosis and a multidisciplinary approach to care. Because the symptoms often mimic common respiratory ailments, understanding the nuances of these conditions is crucial for early detection and effective management.

Understanding Autoimmune Lung Conditions

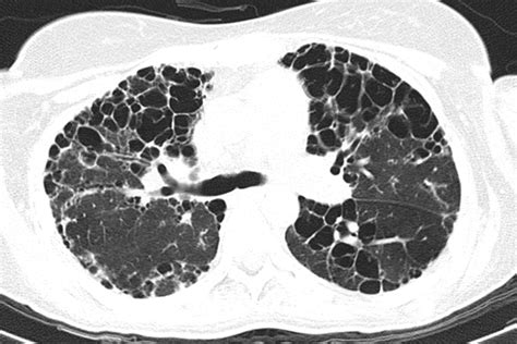
Illustration of lung health and medical research

At their core, autoimmune lung conditions occur when an overactive immune system triggers chronic inflammation within the lung parenchyma, airways, or the pleura (the lining of the lungs). This inflammation can result in scarring, known as pulmonary fibrosis, or other structural damages that hinder the lungs' ability to exchange oxygen and carbon dioxide effectively. Many of these conditions occur as part of a systemic disease, meaning they affect other parts of the body simultaneously, such as joints, skin, or muscles.

Common examples of systemic diseases that frequently involve the lungs include:

  • Rheumatoid Arthritis (RA): Often associated with interstitial lung disease (ILD).
  • Systemic Sclerosis (Scleroderma): Highly likely to cause progressive fibrosis in the lungs.
  • Sjögren’s Syndrome: Can lead to airway disease or cystic lung changes.
  • Systemic Lupus Erythematosus (SLE): May cause pleuritis or pneumonitis.
  • Mixed Connective Tissue Disease (MCTD): Often features overlapping pulmonary symptoms.

Common Symptoms and Warning Signs

The clinical presentation of autoimmune lung conditions varies depending on the underlying disease, but there are several hallmark indicators that suggest lung involvement. Patients often report symptoms that develop gradually, leading to a delayed initial diagnosis. Vigilance regarding the following symptoms is essential:

  • Persistent Dry Cough: A cough that does not produce mucus and lingers for weeks or months.
  • Progressive Shortness of Breath (Dyspnea): Initially noticed during physical exertion, but may eventually occur during rest.
  • Fatigue: A deep, debilitating exhaustion that does not resolve with rest.
  • Chest Discomfort: Sharp pain while breathing deeply, often linked to pleural inflammation.

Diagnostic Procedures

Diagnosing these conditions requires a comprehensive assessment. Because autoimmune lung conditions often present similarly to idiopathic pulmonary fibrosis or chronic obstructive pulmonary disease (COPD), medical teams must perform a series of tests to distinguish them from other respiratory issues.

Diagnostic Test Purpose
High-Resolution CT (HRCT) To visualize the architectural changes and scarring pattern in the lungs.
Pulmonary Function Tests (PFTs) To measure how well the lungs are moving air and transferring oxygen.
Blood Panels To detect autoantibodies (e.g., ANA, RF, Anti-CCP) indicating autoimmune activity.
Bronchoscopy/Biopsy To examine lung tissue samples directly for specific markers of inflammation.

⚠️ Note: Always consult with a specialized rheumatologist and pulmonologist team to interpret these test results, as findings must be correlated with your overall clinical history.

Treatment Approaches and Management

Managing autoimmune lung conditions is focused on two primary goals: suppressing the overactive immune system to stop further damage and managing the existing respiratory symptoms to maintain quality of life. Treatment is highly individualized based on the specific autoimmune trigger and the severity of the lung involvement.

Typical treatment pathways may include:

  • Immunosuppressive Therapy: Medications such as corticosteroids, mycophenolate mofetil, or azathioprine to calm the immune system.
  • Biological Agents: Advanced therapies that target specific proteins in the immune pathway.
  • Oxygen Therapy: Supplemental oxygen for those with significantly impaired gas exchange.
  • Pulmonary Rehabilitation: Structured exercise programs to improve lung capacity and breathing efficiency.
  • Antifibrotic Medications: In cases where significant scarring is present, these drugs may help slow the rate of decline.

💡 Note: Early intervention with immunosuppressive drugs is often the most effective way to prevent permanent, irreversible lung scarring.

Living with Autoimmune Lung Conditions

Lifestyle adjustments play a pivotal role in living well with these conditions. Patients are encouraged to prioritize lung health through proactive habits. Avoidance of lung irritants is paramount; this includes quitting smoking and minimizing exposure to secondhand smoke, air pollution, and dust. Maintaining an anti-inflammatory diet, rich in antioxidants and healthy fats, can also support overall immune health and reduce systemic inflammation. Furthermore, staying up to date on vaccinations—particularly for pneumonia, influenza, and COVID-19—is vital, as respiratory infections can trigger acute exacerbations of the underlying lung disease.

Psychological support is also a critical, yet often overlooked, component of care. Coping with a chronic illness can lead to anxiety and depression. Joining support groups for interstitial lung disease or specific autoimmune conditions can provide a sense of community and practical advice for navigating daily challenges. Physical activity, while often daunting for those with breathlessness, should be approached as a measured journey, typically guided by physical therapists who specialize in lung health.

Ultimately, while autoimmune lung conditions represent a lifelong health challenge, advancements in medical research and diagnostic techniques are providing patients with better tools for management than ever before. Through early identification, a strong partnership with a multidisciplinary medical team, and a commitment to comprehensive lifestyle modifications, many individuals successfully stabilize their lung health and maintain their functional capacity. Prioritizing respiratory wellness through regular monitoring and adherence to prescribed therapies remains the cornerstone of navigating these complex disorders. By staying informed and engaged with their healthcare providers, patients can proactively manage their symptoms, address potential complications early, and continue to lead fulfilling lives despite the constraints of their diagnosis.

Related Terms:

  • autoimmune disease with lung involvement
  • autoimmune disease that attacks lungs
  • autoimmune disease and lung nodules
  • autoimmune lung disease prognosis
  • drugs for autoimmune lung diseases
  • autoimmune disease that affects breathing