Rp

B Lines Ultrasound

B Lines Ultrasound

Point-of-care ultrasound (POCUS) has revolutionized the way clinicians assess patients in acute and critical care settings. Among the most diagnostic features identified during a lung ultrasound examination is the presence of B Lines Ultrasound patterns. These artifacts serve as critical indicators of interstitial syndrome, helping practitioners differentiate between various causes of respiratory distress. Understanding the pathophysiology, visualization techniques, and clinical implications of these artifacts is essential for modern bedside medicine.

What Are B Lines Ultrasound Artifacts?

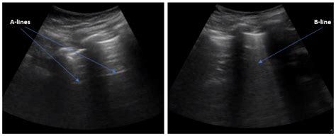
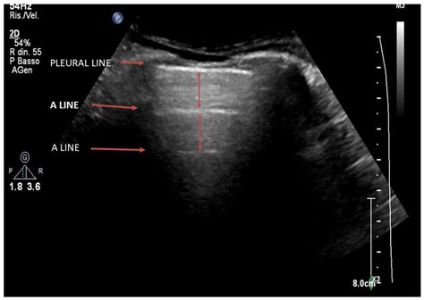
In the context of lung sonography, B Lines Ultrasound patterns are defined as discrete, laser-like vertical hyper-echoic reverberation artifacts. They arise from the pleural line and extend to the edge of the screen, moving in synchrony with lung sliding. Unlike A-lines, which represent normal horizontal reverberations caused by air-tissue interfaces, B-lines signify that the subpleural interlobular septa are thickened by fluid, cells, or fibrous tissue.

When these septa become edematous or infiltrated, they create an acoustic impedance mismatch that traps the ultrasound beam, resulting in the characteristic vertical "comet tail" appearance. Because they move with the visceral pleura, their presence is a highly sensitive marker for the loss of lung aeration.

Also read: Face Works Plastic Surgery & Med Spa

Diagnostic Significance and Clinical Utility

The primary clinical value of identifying B Lines Ultrasound patterns lies in their ability to rule in or rule out interstitial syndromes. In an emergency setting, these findings are often used as a bedside tool to differentiate acute heart failure from chronic obstructive pulmonary disease (COPD) or asthma.

  • Pulmonary Edema: Multiple B-lines are strongly associated with cardiogenic pulmonary edema.
  • Interstitial Pneumonia: Focal or multifocal B-lines can suggest inflammatory processes.
  • ARDS: Dense, coalescent B-lines are frequently observed in acute respiratory distress syndrome.
  • Pulmonary Fibrosis: Persistent, non-gravity-dependent B-lines may suggest chronic interstitial lung disease.

⚠️ Note: Always interpret B-lines within the broader clinical context. A single B-line is often considered a normal finding, while three or more in a single view are considered pathological.

How to Perform a Lung Ultrasound for B Lines

To accurately assess for B Lines Ultrasound artifacts, clinicians should utilize a high-frequency linear probe for better resolution of the pleural line, or a curvilinear probe for deeper penetration. The patient should be evaluated in the supine or semi-upright position, scanning across multiple zones of the thorax.

Probe Type Application Visual Depth
Linear Pleural detail & superficial lung 5–8 cm
Curvilinear Deep lung tissue assessment 12–15 cm

Follow these steps to conduct an effective examination:

  1. Place the probe perpendicular to the ribs in an intercostal space.
  2. Identify the pleural line—the hyperechoic line moving between the two ribs.
  3. Observe the movement of the pleura (lung sliding) to ensure proper positioning.
  4. Scan at least 8 zones (anterior and lateral) to determine the extent of the B Lines Ultrasound distribution.
  5. Document if the B-lines are focal (limited to one zone) or diffuse (spanning multiple zones).

💡 Note: Ensure your gain settings are optimized; excessively high gain can create artificial "noise" that mimics B-lines, leading to potential diagnostic errors.

Differentiating Pathology Through Distribution

The spatial distribution of B Lines Ultrasound artifacts provides vital diagnostic clues. If the artifacts appear symmetrically in gravity-dependent areas, clinicians should maintain a high suspicion for hydrostatic pulmonary edema (heart failure). Conversely, if the artifacts appear in a heterogeneous or patchy distribution, it is more indicative of multifocal pneumonia or non-cardiogenic causes such as pulmonary contusion.

When the B-lines are so numerous that they become "coalescent"—fusing together into a white, bright vertical band—this often indicates severe lung density. This finding is frequently seen in advanced pulmonary edema or severe ARDS, where the interlobular septa are so heavily filled with fluid that the ultrasound beam cannot distinguish individual septal lines.

Common Challenges and Pitfalls

While the utility of B Lines Ultrasound is undeniable, novice practitioners often face hurdles during interpretation. One of the most common mistakes is mistaking superficial skin artifacts or "E-lines" (related to subcutaneous emphysema) for B-lines. Furthermore, B-lines can occasionally persist in patients who have recently undergone thoracic surgery or those with underlying pleural thickening, which may not represent acute fluid overload.

Additionally, clinicians must remain aware that B-lines are not specific to a single disease. They represent a state of the lung, not a specific diagnosis. Therefore, they should always be synthesized with other sonographic findings, such as left ventricular function, inferior vena cava (IVC) collapsibility, and cardiac valve assessment, to form a comprehensive picture of the patient's hemodynamic status.

Future Perspectives in Lung Sonography

Advancements in artificial intelligence (AI) are beginning to influence how we analyze B Lines Ultrasound findings. New software packages integrated into handheld ultrasound devices can now perform real-time quantification of B-lines, offering a standardized "B-line score." This objective metric allows for a more consistent follow-up, enabling clinicians to monitor how a patient responds to diuretics or other therapeutic interventions over the course of their hospital stay.

By shifting from qualitative observations—simply seeing that B-lines exist—to quantitative measurements, the medical community can reduce inter-operator variability. This progression toward data-driven imaging ensures that bedside diagnostics remain robust, reproducible, and highly integrated into the standard care of patients with undifferentiated dyspnea.

Mastering the identification and interpretation of B-lines is a foundational skill for any clinician working in critical care, emergency medicine, or internal medicine. These artifacts transform the lung from an inaccessible structure into a window through which we can view the physiological state of the patient’s interstitium. By integrating a systematic scanning protocol with an understanding of both the sensitivity and limitations of the imaging, providers can make rapid, informed decisions that significantly improve patient outcomes. As ultrasound technology continues to evolve, the ability to recognize these patterns will remain a cornerstone of effective point-of-care diagnostics, ensuring that life-saving interventions are delivered with greater precision and confidence.

Related Terms:

  • a line b line ultrasound
  • b lines on ultrasound lung
  • b lines echocardiogram
  • b lines vs a ultrasound
  • b line pulmonary edema
  • b line ultrasound results