Rp

Basilar Artery Stroke

Basilar Artery Stroke

A Basilar Artery Stroke is a medical emergency that requires immediate intervention. The basilar artery, located at the base of the brain, is crucial for supplying oxygen-rich blood to the brainstem—the area responsible for vital functions such as breathing, heart rate, consciousness, and motor control. When a blockage or rupture occurs in this artery, it disrupts these essential processes, often leading to catastrophic outcomes if not treated within the narrowest of time windows. Understanding the symptoms, causes, and the urgency of treatment is not merely an academic exercise; it is knowledge that can save lives.

Understanding the Basilar Artery

To grasp the severity of a basilar artery stroke, one must understand its anatomy. The basilar artery is formed by the junction of the two vertebral arteries. It traverses along the brainstem, branching out to supply blood to the cerebellum, the pons, and ultimately connecting to the posterior cerebral arteries to supply the back of the brain. Because it serves such a dense and critical region, even a partial blockage can result in severe impairment. Unlike strokes in other parts of the brain that might cause localized weakness, a stroke in this region can lead to widespread neurological dysfunction.

Symptoms and Early Warning Signs

The symptoms of a basilar artery stroke can be sudden and alarming, or they can sometimes present with subtle "warning" signs known as transient ischemic attacks (TIAs). Recognizing these symptoms is crucial for seeking emergency care.

  • Sudden, severe vertigo or dizziness: Feeling as though the world is spinning uncontrollably.
  • Ataxia: Uncoordinated movement or a sudden loss of balance.
  • Dysarthria: Difficulty speaking or slurred speech.
  • Diplopia: Double vision or other sudden vision disturbances.
  • Quadriplegia: Weakness or paralysis in all four limbs.
  • Locked-in syndrome: A rare but devastating outcome where the patient is conscious but unable to move or speak, except for eye movements.
  • Altered level of consciousness: Ranging from confusion to a complete coma.

⚠️ Note: Symptoms of a basilar artery stroke often mimic those of intoxication or inner ear issues. Never assume a symptom is minor if it appears suddenly. When in doubt, always call emergency services immediately.

Causes and Risk Factors

A stroke occurs when the blood supply to the brain is compromised. In the case of a basilar artery stroke, this is usually due to one of two mechanisms: ischemia (blockage) or hemorrhage (bleeding). Ischemic strokes are more common and are typically caused by an embolus—a blood clot that travels from another part of the body—or atherosclerosis, which is the buildup of plaque within the artery itself.

Risk Factor Category Specific Factors
Lifestyle Factors Smoking, sedentary lifestyle, obesity
Medical Conditions Hypertension, diabetes, atrial fibrillation, hyperlipidemia
Genetic/Structural Vertebral artery dissection, family history

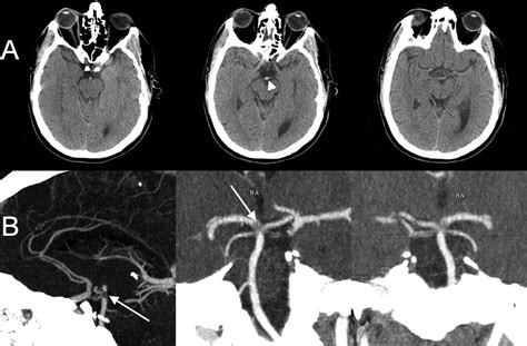
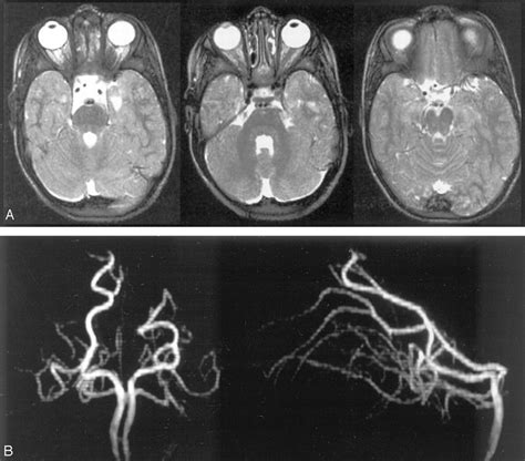
Diagnosis and Emergency Imaging

When a patient arrives at the emergency department with suspected neurological deficits, medical professionals follow a strict protocol. Speed is the priority. Doctors will typically perform a neurological exam and immediately order imaging studies to differentiate between an ischemic stroke and a hemorrhagic stroke.

Standard diagnostic tools include:

  • Computed Tomography (CT) Scan: Often the first test, used primarily to rule out bleeding.
  • CT Angiography (CTA): Provides a detailed view of the blood vessels to identify the exact location of a blockage.
  • Magnetic Resonance Imaging (MRI): More sensitive than a CT scan for detecting early signs of ischemia in the brainstem.
  • Magnetic Resonance Angiography (MRA): Similar to CTA, it maps the blood vessels without the need for iodinated contrast in some cases.

Treatment Pathways: The Race Against Time

The treatment for a basilar artery stroke depends entirely on the underlying cause—whether it is a clot or a rupture—and how quickly the patient reaches the hospital.

For Ischemic Strokes (Clots):

  • Intravenous Thrombolysis (tPA): A "clot-busting" medication administered intravenously, effective only if given within a very strict timeframe after symptom onset.
  • Mechanical Thrombectomy: A minimally invasive procedure where a neuro-interventionalist threads a catheter through the blood vessels to physically remove the clot from the basilar artery. This has become the gold standard for large vessel occlusions.

For Hemorrhagic Strokes (Bleeding):

  • Blood Pressure Management: Aggressively controlling blood pressure to prevent further bleeding.
  • Surgical Intervention: In some cases, neurosurgery may be required to relieve pressure on the brain or secure a ruptured aneurysm.

💡 Note: Mechanical thrombectomy can often be performed even after the window for tPA has closed, provided imaging shows viable brain tissue that can be salvaged. Always ask the medical team if this option is available.

Recovery and Rehabilitation

Survival after a basilar artery stroke is only the first step; the journey toward recovery is often long and requires a multidisciplinary approach. Because the brainstem controls many automatic and motor functions, rehabilitation focuses on restoring independence and compensating for lost capabilities.

Key components of the rehabilitation process include:

  • Physical Therapy: Essential for retraining the body to maintain balance and improving motor coordination.
  • Occupational Therapy: Focuses on regaining the ability to perform daily tasks like dressing, eating, and grooming.
  • Speech-Language Pathology: Vital for patients dealing with dysarthria (slurred speech) or dysphagia (difficulty swallowing).
  • Neuropsychological Support: Addressing the cognitive and emotional impacts, such as depression or anxiety, that frequently follow a stroke.

The brain possesses a remarkable, though limited, ability to reorganize itself through a process known as neuroplasticity. By engaging in targeted exercises and therapies, patients can often regain functions that were initially lost, although the extent of recovery varies greatly depending on the severity of the initial stroke and the patient's overall health.

Final Thoughts

A basilar artery stroke is a life-altering event that necessitates rapid medical response. By recognizing the sudden onset of symptoms—such as severe vertigo, speech difficulties, and limb weakness—bystanders can trigger the “chain of survival.” Modern medical advancements, particularly mechanical thrombectomy, have drastically improved the outlook for patients who previously faced very grim statistics. While the path to recovery is undeniably challenging, the combination of advanced medical intervention, dedicated rehabilitation, and strong support systems offers the best chance for reclaiming functionality and quality of life. Ongoing management of risk factors like hypertension and cholesterol remains the most effective strategy for preventing such a dangerous event from occurring in the first place.

Related Terms:

  • symptoms of basilar artery stenosis
  • basilar artery blockage symptoms
  • basilar artery infarct symptoms
  • basilar artery stroke impacts
  • basilar artery blood clot
  • basilar tip thrombus symptoms