Mayo

Bed Bug Stress Hives

Bed Bug Stress Hives

Discovering a bed bug infestation in your home is a traumatic experience that goes far beyond the physical annoyance of insect bites. For many individuals, the emotional and psychological toll manifests physically, leading to a condition commonly referred to as bed bug stress hives. While the bites themselves cause itching and redness, the overwhelming anxiety, sleep deprivation, and sense of helplessness associated with an infestation can trigger the body’s stress response, resulting in widespread hives, rashes, and other dermatological reactions. Understanding the connection between the emotional strain of dealing with these pests and the physical manifestation of stress on your skin is the first step toward managing both the infestation and your health.

The Psychological Toll of Bed Bug Infestations

Bed bugs are not merely a nuisance; they are an invasive threat to the sanctity of your home and, most importantly, your sleep. The psychological impact of an infestation is profound, often leading to a condition known as Delusory Parasitosis or, more commonly, severe anxiety and depression. When you feel that you cannot escape the pests even in your own bed, your nervous system remains on high alert. This constant state of fight-or-flight triggers the release of stress hormones like cortisol and adrenaline, which can have significant effects on your immune system and skin health.

The link between chronic stress and skin conditions is well-documented in medical literature. When the body is under persistent stress, the immune system may become dysregulated, making the skin more sensitive and reactive to allergens and irritation. For those dealing with bed bug stress hives, the physical reaction is not caused by the bite itself, but by the body’s internal reaction to the prolonged panic and sleeplessness that the situation creates.

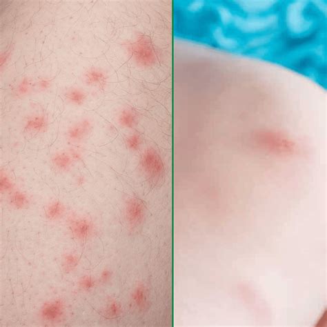
Distinguishing Between Bug Bites and Stress Hives

It is crucial to differentiate between the physical reaction to bed bug saliva and the dermatological response to acute stress. Bed bug bites typically appear in lines or clusters and are generally concentrated on exposed skin. In contrast, stress hives—clinically known as urticaria—can appear anywhere on the body, are often migratory, and tend to look like raised, red, itchy welts that may change shape over time.

Feature Bed Bug Bites Stress Hives (Urticaria)
Appearance Red, flat or raised, often in a row Raised, itchy welts (wheals)
Location Usually exposed skin (arms, neck, face) Can appear anywhere on the body
Duration Lasts several days to a week May last a few hours or persist for days
Triggers Bed bug saliva Anxiety, sleep deprivation, hormonal stress

Managing the Physical Manifestations of Stress

If you suspect that your skin reaction is linked to the stress of an ongoing infestation, it is important to address both the root cause (the pests) and the symptoms (the hives). While calling a professional exterminator is the most effective way to eliminate the source of your anxiety, you can take steps to manage your stress-induced skin flare-ups in the interim.

  • Prioritize Sleep: Even if you are anxious, establishing a calming bedtime routine can help lower cortisol levels.
  • Consult a Dermatologist: They can provide antihistamines or topical creams to soothe the itching and reduce the appearance of hives.
  • Practice Mindfulness: Techniques such as deep breathing, meditation, or light yoga can help calm your nervous system when the anxiety becomes overwhelming.
  • Stay Hydrated: Keeping the skin hydrated helps maintain the skin barrier, making it less reactive to stress-induced inflammation.

⚠️ Note: If you experience difficulty breathing, throat swelling, or dizziness, seek medical attention immediately, as these can be signs of a severe allergic reaction (anaphylaxis) which requires urgent care.

When to Seek Professional Help

The cycle of stress and skin irritation can become a self-perpetuating loop. The more you see the hives, the more you stress; the more you stress, the more the hives spread. If over-the-counter remedies are not providing relief, or if the hives persist for several weeks, it is essential to consult with a medical professional. Furthermore, if the anxiety associated with the infestation is impacting your ability to work or interact with family, speaking with a counselor or therapist can provide you with coping mechanisms to manage the psychological burden.

Addressing the infestation should be handled by licensed professionals to ensure that the process is thorough and effective. Taking control of the environment is one of the most powerful ways to reduce the anxiety causing your bed bug stress hives. Once the pests are eradicated, the physical symptoms of stress typically subside as your body recovers from the state of constant hyper-vigilance.

Prevention and Mental Well-being

Prevention is the best approach to avoiding the stress associated with bed bug infestations. By regularly inspecting your home, washing bedding on high heat, and decluttering living spaces, you can create a safer, less hospitable environment for bed bugs. Mental well-being is equally important; acknowledging that a bed bug infestation is a common problem that does not reflect on your personal hygiene can help mitigate the shame and social anxiety often associated with the issue. By reframing the situation as a logistical challenge rather than a personal failure, you can keep your stress levels—and your skin—under control.

Managing the emotional and physical aftermath of a pest infestation requires a multi-faceted approach that balances environmental remediation with self-care. By identifying the symptoms of bed bug stress hives early, you can differentiate between allergic reactions to bites and physiological responses to anxiety. Taking proactive steps to resolve the infestation through professional services while simultaneously employing stress-management techniques will allow you to regain your peace of mind and comfort in your home. Remember that while the situation is temporary and manageable, your health and well-being should remain the priority throughout the process of restoring your living space to a peaceful sanctuary.

Related Terms:

  • can bug bites become hives
  • can bed bugs cause hives
  • bed bugs vs hives
  • Skin Bugs On Humans
  • Kill Bed Bugs
  • Bugs in Your Skin