Rp

Bi Part Patella

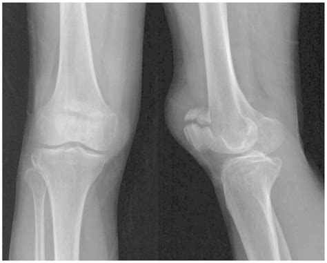
Bi Part Patella

Knee pain can often be baffling, especially when diagnostic imaging reveals something unexpected. If you have been experiencing persistent discomfort in your knee and your doctor mentioned the term Bi Part Patella, you might be feeling a mix of confusion and relief. Understanding this condition is the first step toward managing the symptoms and returning to your normal activities. A Bi Part Patella, or bipartite patella, occurs when the kneecap (patella) does not fuse into a single bone during childhood development, resulting in two distinct bone fragments held together by cartilage and fibrous tissue.

What Exactly Is a Bi Part Patella?

During the typical development of a human skeleton, the patella begins as multiple centers of ossification (bone formation). Usually, these centers fuse together during early adolescence to form one solid, singular bone. In individuals with a Bi Part Patella, this fusion process fails to occur completely, leaving a small accessory bone—most commonly located at the upper outer corner of the kneecap—separated from the main body of the patella.

For many people, this condition is entirely asymptomatic. They may go their entire lives without ever knowing they have a bipartite patella until an X-ray for an unrelated knee issue reveals the anatomical variation. However, for some, the fibrous connection between the main patella and the accessory fragment can become irritated, inflamed, or injured, leading to pain and functional limitations.

Symptoms and Common Indicators

While the condition itself is a congenital anatomical variation, the symptomatic form is often triggered by physical activity, direct trauma to the knee, or overuse. If you are struggling with a symptomatic Bi Part Patella, you may notice several key signs, including:

  • Localized pain directly over the kneecap, particularly at the upper outer edge.
  • Increased discomfort during activities that require repetitive knee bending, such as running, squatting, or climbing stairs.
  • Sensitivity to touch or pressure in the specific area where the bone fragments meet.
  • Occasional swelling around the patella after periods of intense physical activity.
  • A feeling of "catching" or instability in the knee joint during movement.

⚠️ Note: It is critical to differentiate between a symptomatic bipartite patella and a recent patellar fracture. Unlike a fracture caused by sudden trauma, a bipartite patella typically features smooth, rounded edges on the separated bone fragments, which can be clearly visualized on X-rays.

How Professionals Diagnose This Condition

Diagnosis usually begins with a thorough physical examination, during which a healthcare professional will press on the kneecap to locate the exact point of tenderness. To confirm the diagnosis and rule out other potential causes of knee pain, imaging studies are essential:

Imaging Tool Purpose
X-Ray The primary tool to visualize the separation in the bone.
MRI (Magnetic Resonance Imaging) Used to check for inflammation, bone marrow edema, or stress fractures in the fragment.
Bone Scan Sometimes used if other imaging is inconclusive to detect increased metabolic activity.

Management and Treatment Options

If your Bi Part Patella is causing pain, the goal of treatment is to reduce inflammation and stabilize the area. Most cases do not require surgical intervention and respond well to conservative management strategies.

Conservative Approaches

  • Rest and Activity Modification: Avoiding high-impact activities that aggravate the knee for a period allows the inflammation in the fibrous junction to subside.
  • Physical Therapy: A structured exercise program focusing on strengthening the quadriceps, hamstrings, and hip stabilizers can help improve knee alignment and reduce the stress placed on the patella.
  • Ice Therapy: Applying ice packs to the knee after activity can help manage local inflammation and alleviate pain.
  • Bracing: Sometimes, a specialized knee brace can help keep the patella properly aligned, reducing friction at the bipartite site.

When Is Surgery Necessary?

Surgery is generally considered a last resort, reserved for cases where persistent, severe pain does not improve after at least six months of dedicated conservative therapy. Surgical options may include the excision (removal) of the smaller, painful fragment or a lateral release to improve how the patella tracks in the knee joint.

💡 Note: Always consult with an orthopedic specialist to discuss your specific symptoms. A personalized treatment plan based on your activity level and the severity of your symptoms is always superior to generic advice.

Lifestyle Adjustments for Long-Term Knee Health

Managing a Bi Part Patella effectively involves maintaining a healthy knee environment over the long term. Even after the initial pain subsides, incorporating certain habits can prevent recurrence:

  • Maintain a Healthy Weight: Reducing overall body weight significantly decreases the load placed on the patellofemoral joint.
  • Proper Warm-ups: Always perform dynamic stretches and warm-up exercises before engaging in sports or high-intensity workouts.
  • Listen to Your Body: If you feel sharp, localized pain during an exercise, stop immediately and modify the movement.
  • Footwear Choices: Using supportive footwear that provides adequate arch support can help optimize leg alignment and reduce compensatory stress on the knees.

In summary, while discovering that you have a Bi Part Patella might sound alarming, it is often a benign condition that does not hinder an active lifestyle. Because the separation in the bone is a developmental variation, not an injury, many individuals lead completely symptom-free lives. For those who do experience discomfort, the combination of guided physical therapy, activity modification, and rest is usually highly effective. By understanding the anatomy of your knee and focusing on strengthening the surrounding muscle groups, you can effectively manage the symptoms and continue enjoying your favorite physical activities with confidence and improved knee function.

Related Terms:

  • bipartite patella meaning
  • bipartite patella versus fracture
  • bipartite patella images
  • what is bipartite patella
  • bipartite patella vs fracture radiology
  • bipartite patella patient information