Rp

Blebs In Lungs

Blebs In Lungs

When you hear about blebs in lungs, it often sounds like an obscure or alarming medical term, but understanding what they are and how they affect respiratory health is crucial for proactive care. In simple terms, lung blebs are small, air-filled pockets or blisters that form on the surface of the lung, typically near the top (apex). While they are often asymptomatic and go unnoticed for years, their presence carries a potential risk of rupture, which can lead to a collapsed lung, medically known as a pneumothorax. Understanding these structures—what causes them, the symptoms to watch for, and when to seek medical intervention—is essential for anyone concerned about their pulmonary well-being.

What Exactly Are Blebs in Lungs?

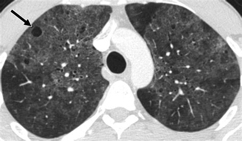
A bleb is essentially a tiny, thin-walled air sac that develops just under the outer lining of the lung, known as the pleura. Unlike the healthy alveoli, which are responsible for gas exchange, blebs do not function in breathing. They are structural abnormalities that develop when air leaks from the underlying lung tissue into the space between the lung and the lining, creating a blister-like pocket.

These structures are common, particularly among certain demographics, and are frequently identified during routine chest imaging for other health issues. They are often confused with bullae, which are larger air pockets that develop within the lung tissue itself, usually associated with advanced chronic obstructive pulmonary disease (COPD). While both can cause complications, blebs in lungs are distinct in their location and size.

Common Causes and Risk Factors

The exact cause of why some individuals develop blebs while others do not remains a subject of ongoing medical research. However, several key factors and profiles have been identified as having a higher likelihood of developing these air pockets:

  • Body Habitus: Tall, thin, and young individuals, particularly men between the ages of 20 and 40, are statistically more prone to developing primary spontaneous blebs.
  • Genetics: There is evidence suggesting that a predisposition to developing these pockets may be inherited within families.
  • Smoking: Tobacco use significantly increases the risk, as it damages lung tissue and promotes the formation of these abnormal air sacs.
  • Connective Tissue Disorders: Certain genetic conditions like Marfan syndrome can weaken lung tissue, making it easier for blebs to form.
  • Environmental Factors: Rapid changes in air pressure, such as those experienced during scuba diving or flying, can occasionally trigger issues in those already harboring blebs.

It is important to note that many people have blebs in lungs and never experience any symptoms or complications throughout their entire lives.

⚠️ Note: If you fit the profile of a tall, thin young adult and notice any sudden onset of chest pain or difficulty breathing, do not dismiss it; seek medical attention immediately.

Understanding the Symptoms of Ruptured Blebs

As mentioned, most people are unaware they have blebs until they rupture. A rupture causes air to escape into the pleural space—the area between the lungs and the chest wall—causing the lung to partially or fully collapse. This event is called a primary spontaneous pneumothorax.

Symptoms of a ruptured bleb include:

  • Sudden, sharp chest pain: This pain is often felt on only one side of the chest and is typically worse when breathing deeply or coughing.
  • Shortness of breath: This can range from mild discomfort to severe difficulty breathing, depending on the extent of the lung collapse.
  • Rapid heart rate (tachycardia): The body may attempt to compensate for decreased oxygen intake.
  • Fatigue or cyanosis: In severe cases, the lack of oxygen may lead to a bluish tint to the skin or lips, though this is less common in minor collapses.

Diagnostic Methods

Because blebs in lungs are usually invisible on a standard physical examination, doctors rely heavily on imaging technology to detect them and assess the extent of a pneumothorax if it occurs.

Diagnostic Tool Purpose
Chest X-Ray The first-line approach to identify a collapsed lung or locate air pockets.
CT Scan (High-Resolution) Provides highly detailed images that can pinpoint the exact location and size of blebs.
Physical Exam Involves listening to breath sounds with a stethoscope to detect air leakage.

Treatment Options for Blebs in Lungs

The management strategy for blebs in lungs depends entirely on whether they have caused a complication (a rupture) and the severity of that complication. If an individual has known blebs but has never experienced a pneumothorax, the standard approach is often observation and smoking cessation. If a patient is asymptomatic, doctors typically avoid surgical intervention.

However, when a bleb ruptures and causes a pneumothorax, treatment options include:

  • Observation and Supplemental Oxygen: For small, stable pneumothoraxes, the body may reabsorb the leaked air on its own.
  • Aspiration (Needle Decompression): Inserting a needle or small catheter into the chest to remove the trapped air.
  • Chest Tube Insertion (Thoracostomy): A more invasive procedure where a tube is placed in the chest for a few days to drain air and allow the lung to re-expand.
  • Surgical Intervention (VATS): Video-Assisted Thoracoscopic Surgery is used to remove the blebs (blebectomy) and potentially perform pleurodesis, a process that encourages the lung to adhere to the chest wall to prevent future collapses.

💡 Note: Surgical removal of blebs is generally recommended for patients who have experienced recurrent pneumothoraxes or have bilateral blebs.

Prevention and Lifestyle Considerations

While you cannot always prevent the development of blebs, especially if they are influenced by genetics or body type, you can take steps to minimize the risk of rupture and manage overall lung health.

Smoking cessation is the single most effective action an individual can take to protect their lungs. Smoking exacerbates existing lung issues and promotes the further development of bullae and blebs. Furthermore, maintaining a healthy lifestyle, avoiding activities that involve extreme pressure changes (like certain types of scuba diving if you have a known history of lung issues), and attending regular medical check-ups are vital steps.

If you have been diagnosed with blebs in lungs, discussing an action plan with your healthcare provider is important. Knowing the warning signs of a rupture and understanding when to seek emergency care can make a significant difference in outcomes. For the vast majority, simply staying mindful of symptoms and avoiding smoking leads to a healthy, normal life despite the presence of these small air pockets.

Addressing the presence of blebs in lungs requires a balance of awareness and proactive prevention. While the thought of a structural abnormality in your chest can be unsettling, these conditions are well-documented and highly manageable within modern medical practice. By understanding the risk factors, recognizing the signs of potential complications like a spontaneous pneumothorax, and strictly adhering to habits that support pulmonary health—most notably smoking cessation—you can effectively manage your respiratory health. Always maintain open communication with your primary care physician or a pulmonologist to monitor your status and ensure any symptoms are evaluated promptly. Prioritizing your lung health not only mitigates the risks associated with blebs but contributes to your overall physical well-being for years to come.

Related Terms:

  • what is a pleural bleb
  • blebs in lungs radiology
  • bulla vs bleb radiology
  • causes of blebs in lungs
  • what is an apical bleb
  • blebs in lungs treatment