A bone contusion knee injury, often referred to as a bone bruise, is a common yet frequently misunderstood orthopedic condition. Unlike a soft tissue bruise which affects the skin or muscle, a bone contusion involves the microscopic damage to the trabecular bone—the spongy, inner part of the bone. This injury typically occurs after a high-impact event, such as a sports collision, a fall, or a sudden twisting motion. Because bones are highly vascular and contain nerve endings, these injuries can be significantly more painful and persistent than common muscle strains. Understanding the nuances of this condition is essential for proper recovery and long-term joint health.
What Exactly is a Bone Contusion Knee?

At its core, a bone contusion knee represents an area of localized trauma where the bone marrow and internal bone structures have suffered hemorrhaging or edema (fluid buildup). While an X-ray might show that your bones are intact and not fractured, the marrow remains inflamed and sensitive. This internal reaction is the body’s natural response to trauma, and it requires specific care to resolve.
The severity of a bone bruise is generally categorized based on the location and the volume of the fluid accumulation. Common areas affected include the femoral condyles and the tibial plateau, which act as the main weight-bearing surfaces of the knee joint. Because these areas are subject to constant force during walking or standing, healing requires time and patience.
Common Symptoms to Look For
Identifying the signs early can prevent further damage to the joint. If you have recently experienced trauma to the leg, be aware of the following indicators:
- Persistent, deep-seated pain that does not improve significantly with rest.
- Swelling and tenderness localized around the knee joint.
- Difficulty bearing weight on the affected leg.
- Stiffness or a limited range of motion compared to the uninjured side.
- Increased pain during physical activity or when climbing stairs.
Risk Factors and Causes
The primary cause of a bone contusion knee is direct impact or shear force. However, certain conditions make individuals more susceptible to these injuries:
- Athletic Participation: High-contact sports like soccer, football, and rugby involve frequent collisions that lead to bone bruises.
- Ligament Injuries: It is common for a bone bruise to accompany an ACL tear. When the ligament snaps, the bones may strike each other, causing a “kissing lesion” or secondary bone contusion.
- Age and Bone Density: Older adults or individuals with osteopenia may suffer bone bruises from less significant impacts than younger, healthier bone structures.
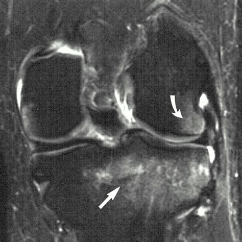
Diagnostic Procedures
It is difficult to diagnose a bone contusion through physical examination alone. Medical professionals usually follow a specific diagnostic pathway:
| Method | Purpose |
|---|---|
| X-ray | To rule out fractures or bone chips. |
| MRI (Magnetic Resonance Imaging) | The gold standard for detecting edema and damage within the bone marrow. |
| Physical Exam | To assess ligament stability and joint mechanics. |
💡 Note: While X-rays are helpful to confirm the absence of a complete break, an MRI is strictly necessary to visualize the internal fluid buildup indicative of a bone contusion.
Recovery and Treatment Strategies

The road to recovery for a bone contusion knee is rarely a “quick fix.” Because bone heals slower than muscle or skin, patients must adhere to a structured protocol to regain full function.
Initial Phase: Protection
The first few weeks are critical. The goal is to allow the marrow to stop hemorrhaging and start the repair process. This includes:
- Rest: Avoiding activities that trigger pain.
- Offloading: Using crutches or a knee brace to limit weight-bearing forces on the joint.
- Icing: Applying ice packs for 15–20 minutes several times a day to reduce inflammation.
Secondary Phase: Strengthening
Once the acute pain subsides, gradual physical therapy is introduced. This is designed to rebuild the muscles surrounding the knee—specifically the quadriceps and hamstrings—which provide stability to the joint.
💡 Note: Never rush into high-impact activities like running or jumping until you have been cleared by a healthcare provider, as premature stress can lead to chronic pain or bone degradation.
Long-term Outlook and Prevention
While most bone bruises heal completely within 2 to 6 months, severe cases can take longer. It is important to stay consistent with mobility exercises even after the pain subsides to prevent muscle atrophy. To lower the risk of recurrence, focus on improving your proprioception—the body’s ability to sense its position in space—through balance training and core conditioning. Proper footwear and ensuring that your sports equipment fits correctly are also simple but effective ways to protect your knees from future trauma.
Managing a bone bruise requires a disciplined approach, prioritizing rest and professional guidance over quick results. By respecting the healing timeline of your internal structures and addressing any underlying muscular imbalances, you can successfully return to your regular activities with a stronger, more resilient knee. Always listen to your body’s signals during the recovery period, as pushing through sharp pain can often delay the healing process significantly. With the right rehabilitation plan, most individuals achieve a full recovery and regain their previous level of function, ensuring the long-term health and stability of the knee joint.
Related Terms:
- bone bruise recovery time knee
- bone contusion knee recovery time
- severe bone contusion in knee
- bone contusion knee icd 10
- had accident knees badly bruised
- knee contusion recovery time