Cleve

Bone Graft After Tooth Extraction

Bone Graft After Tooth Extraction

Losing a permanent tooth can be a daunting experience, both emotionally and physically. Beyond the immediate discomfort, one of the most critical considerations post-extraction is the long-term health of your jawbone. When a tooth is removed, the alveolar bone—the portion of the jaw that supports the teeth—no longer receives the stimulation it needs from chewing forces. This often leads to bone resorption, a process where the bone begins to shrink and deteriorate. Opting for a bone graft after tooth extraction is a highly effective procedure used by dentists to preserve your oral architecture and prepare your mouth for future restorations like dental implants.

Why Is Bone Preservation Necessary?

When you lose a tooth, the body naturally begins to reabsorb the bone that once held it in place because it is no longer being used. This phenomenon, known as "disuse atrophy," can happen quite rapidly in the months following an extraction. If you intend to have a dental implant later, having sufficient bone density and height is crucial. Without enough bone, an implant may not have a stable foundation, leading to complications or the need for more invasive procedures later on.

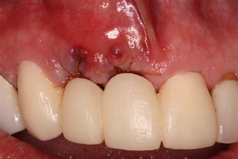
A bone graft after tooth extraction, often referred to as "socket preservation," serves as a scaffold for your body to grow new, healthy bone. By filling the empty socket with grafting material, your dentist creates a environment that encourages your natural bone cells to regenerate and integrate with the graft, effectively stopping the bone loss process before it starts.

Types of Bone Grafting Materials

There are several types of materials used for grafting, each with its own benefits and considerations. Your oral surgeon or periodontist will select the best option based on your specific clinical needs.

  • Autografts: Bone taken from another part of your own body, such as the chin or hip. This is considered the gold standard as it is your own biological tissue.
  • Allografts: Human bone sourced from a tissue bank. It is processed and sterilized to be safely used in your mouth.
  • Xenografts: Bone material sourced from an animal, typically bovine (cow). This acts as a framework that your body eventually replaces with your own bone.
  • Alloplasts: Synthetic materials, such as bioactive glass or hydroxyapatite, which are designed to stimulate natural bone growth.

💡 Note: Regardless of the material used, all options are rigorously tested and sterilized to ensure patient safety and minimize the risk of rejection or infection.

What to Expect During the Procedure

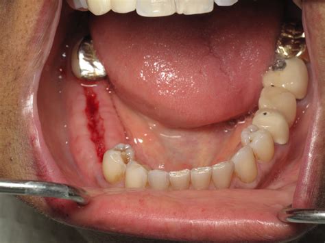
The process of placing a bone graft after tooth extraction is typically performed during the same appointment as the extraction itself. Once the tooth is removed, the dentist cleans the socket thoroughly to ensure no infection remains. The grafting material is then carefully packed into the space. A membrane is often placed over the site to hold the graft in place and protect the area from soft tissue ingrowth, ensuring the bone has the best chance to mature.

Phase Duration Goal
Extraction 15–30 mins Removal of damaged tooth
Graft Placement 15–20 mins Filling the socket for stability
Healing Phase 3–6 months Bone maturation/integration

Benefits of Socket Preservation

Choosing to move forward with a bone graft after tooth extraction provides several long-term advantages for your oral health and aesthetics. By maintaining the volume of your jawbone, you effectively support your facial structures. When bone is lost, it can lead to a "sunken" appearance in the lips and cheeks, making you look older. Socket preservation helps maintain the contours of your gums and face.

  • Implant Stability: Ensures a solid base for future dental implants.
  • Reduced Future Surgery: By preventing significant bone loss, you may avoid the need for complex "sinus lifts" or more expensive grafting procedures later.
  • Improved Aesthetics: Preserves gum tissue levels and supports natural-looking dental replacements.
  • Natural Healing: Uses the body's regenerative abilities to reinforce the jawline.

Post-Operative Care and Recovery

Recovery after a bone graft after tooth extraction is generally straightforward, but it requires patience to ensure the graft integrates properly. You will be provided with specific instructions regarding pain management and hygiene. It is normal to experience mild swelling or discomfort for the first few days. Avoiding strenuous activity and refraining from smoking is critical, as smoking significantly interferes with the bone regeneration process.

⚠️ Note: Keep the extraction site clean by gently rinsing with a prescribed saltwater solution, but avoid forceful spitting or using straws for at least 48 hours to prevent dislodging the graft or protective membrane.

Final Thoughts on Oral Reconstruction

Prioritizing bone health immediately following a tooth extraction is a proactive approach that pays off significantly in the long run. By choosing a bone graft after tooth extraction, you are essentially investing in the success of your future dental health. Whether you are planning for an implant next year or simply want to ensure your jaw remains strong and your face retains its shape, socket preservation is a routine and highly effective procedure. Consult with your dental provider to determine if this is the right path for your specific dental needs, as personalized treatment planning is always the most effective route to a healthy, lasting smile.

Related Terms:

  • after dental bone graft
  • bone graft healing stages pictures
  • molar extraction with bone graft
  • bone graft healing stages chart
  • bone graft recovery time
  • Tooth Extraction with Bone Graft