Mayo

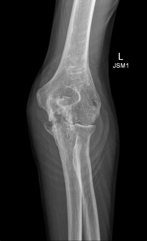
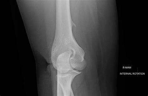
Bone Spur Elbow

Bone Spur Elbow

Experiencing persistent pain in your arm, especially near the joint, can be incredibly disruptive to your daily life. If you find that your range of motion is becoming restricted or you feel a grinding sensation, you might be dealing with a bone spur elbow condition. Often referred to by medical professionals as elbow osteophytes, these bony projections develop along the edges of the bones in the elbow joint. While they are often a natural byproduct of aging or joint wear and tear, understanding how they form, how to identify the symptoms, and what treatment options are available is crucial for regaining comfort and functionality in your arm.

What is a Bone Spur Elbow?

A bone spur elbow occurs when the body attempts to repair damage to the joint by creating extra bone tissue. Over time, the smooth cartilage that cushions the ends of your bones wears down due to osteoarthritis, repetitive stress, or trauma. In response to this instability or friction, the body builds these bony bumps, known as osteophytes, in an attempt to increase the surface area of the joint and stabilize it. Unfortunately, these spurs often do the opposite, causing friction against surrounding tendons, ligaments, and nerves, leading to significant discomfort.

Common Symptoms to Look For

Recognizing the symptoms early can prevent further damage to the joint. While some bone spurs remain asymptomatic for years, others cause localized inflammation and mechanical blockages. Keep an eye out for the following warning signs:

  • Restricted Range of Motion: You may find it increasingly difficult to fully straighten or bend your arm.
  • Pain: A dull ache or sharp pain, particularly during physical activity or when applying pressure to the joint.
  • Grinding Sensation: A feeling of “locking,” clicking, or grinding within the elbow joint when moving it.
  • Numbness or Tingling: If the spur compresses a nerve, such as the ulnar nerve, you might experience sensations radiating down to your ring and little finger.
  • Swelling: Visible inflammation or tenderness around the bony prominence.

⚠️ Note: If you experience sudden, severe swelling, numbness that does not go away, or an inability to move your arm at all, seek medical attention immediately, as these may indicate a more acute injury or nerve compression.

Causes and Risk Factors

Understanding why a bone spur elbow develops is key to managing the condition effectively. The primary driver is joint degeneration, but several specific factors accelerate this process:

  • Osteoarthritis: The most common cause, where age-related cartilage wear leads to bone-on-bone friction.
  • Repetitive Stress: Athletes, such as pitchers or weightlifters, and manual laborers who frequently use their elbows are at a higher risk.
  • Previous Trauma: Injuries like fractures or severe dislocations can alter the joint mechanics, triggering bone spur growth.
  • Genetics: Some individuals are predisposed to developing bone spurs due to family history or structural joint abnormalities.
  • Inflammatory Conditions: Conditions like rheumatoid arthritis can damage the joint lining, promoting spur development.

Diagnostic Procedures

To determine if you have a bone spur elbow, a healthcare professional will typically conduct a physical examination followed by imaging studies. During the physical exam, they will test your range of motion and look for areas of tenderness. Imaging is essential to confirm the diagnosis and assess the extent of the growth.

Diagnostic Tool Purpose
X-Ray The most common method to visualize bone density and identify bony projections.
MRI (Magnetic Resonance Imaging) Provides detailed images of soft tissues, useful for identifying nerve compression or ligament damage.
CT Scan Offers a more precise 3D view of the bone structure if the X-ray is inconclusive.

Treatment Options for Bone Spur Elbow

Management strategies for a bone spur elbow are generally divided into conservative treatments and surgical interventions. Most patients begin with conservative approaches to manage pain and improve functionality without going under the knife.

Conservative Management

  • Physical Therapy: Targeted exercises help strengthen the surrounding muscles, increase flexibility, and take pressure off the joint.
  • Anti-inflammatory Medications: Over-the-counter NSAIDs (like ibuprofen or naproxen) are often used to reduce swelling and pain.
  • Activity Modification: Avoiding activities that exacerbate the pain, such as heavy lifting or repetitive throwing motions, allows the joint time to recover.
  • Ice and Heat Therapy: Applying ice packs after activity reduces inflammation, while heat can help soothe chronic stiffness.

Surgical Intervention

If conservative treatments fail to provide relief or if the bone spur elbow is severely limiting your quality of life, surgery may be necessary. The most common procedure is an arthroscopic debridement. During this minimally invasive procedure, a surgeon makes small incisions to insert a camera and specialized tools to shave down or remove the bone spurs, effectively cleaning out the joint space and restoring motion.

💡 Note: Recovery time following surgical intervention can vary significantly. Adherence to a structured postoperative physical therapy program is mandatory to regain full strength and avoid future stiffness.

Preventative Strategies

While you cannot always prevent age-related joint changes, you can take steps to minimize the risk or slow the progression of a bone spur elbow. Maintaining a healthy weight reduces the overall load on your joints. If you work in a physically demanding field, utilize proper lifting techniques and take frequent breaks to rest your elbows. Additionally, incorporating regular, low-impact exercise keeps the joints lubricated and the muscles strong, which provides essential support to your elbows during daily activities.

Managing the effects of a bone spur in the elbow requires a balanced approach centered on patience and consistency. By recognizing the early signs of stiffness or pain, you can implement conservative measures like physical therapy and activity modification to preserve your joint health. While surgery remains a viable option for those experiencing severe pain or significant limitations, many individuals find that proactive care and lifestyle adjustments are enough to maintain an active, pain-free life. Always consult with a healthcare professional to determine the best path forward for your specific situation and to ensure that any chosen treatment plan aligns with your long-term health goals.

Related Terms:

  • bone spur in elbow treatment
  • bone spur elbow surgery
  • bone spur elbow surgery recovery
  • bone spurs elbow picture
  • bone spur elbow symptoms
  • bone spur on elbow pictures