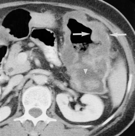
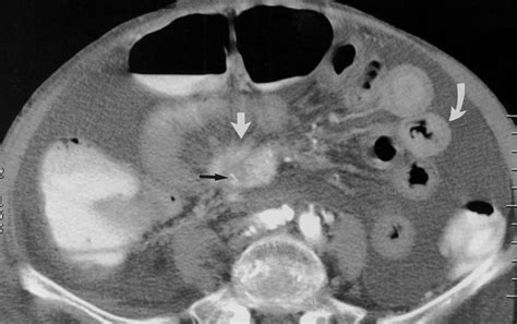
Discovering that you have bowel wall thickening on an imaging report, such as a CT scan or MRI, can be an understandably concerning experience. This term is frequently used by radiologists to describe a finding where a segment of the intestinal wall appears thicker than normal. While it is rarely a diagnosis in itself, it serves as a critical clinical indicator that necessitates further investigation. Understanding what this means, why it happens, and how healthcare providers evaluate it is essential for navigating your health journey with confidence and clarity.
What is Bowel Wall Thickening?
The intestinal wall is composed of several layers, including the mucosa, submucosa, and muscle layers. Under normal, healthy conditions, the bowel wall maintains a consistent, thin measurement. Bowel wall thickening occurs when these layers become inflamed, infiltrated by abnormal cells, or stretched due to various underlying conditions. Essentially, the body is responding to an internal stressor, causing the tissue to swell or expand.
Radiologists identify this condition when they measure the intestinal wall and find it exceeds the standard parameters during diagnostic imaging. Because the gut is a complex system involving both the small and large intestines, this finding can occur anywhere along the digestive tract. It is important to remember that this is a symptom of an underlying process rather than a disease on its own.
Common Causes of Intestinal Wall Thickening
The causes behind this imaging finding range from benign, temporary issues to chronic conditions requiring long-term management. Because the intestinal wall can respond to many different triggers, doctors must perform a thorough diagnostic workup to determine the exact cause.
- Inflammatory Bowel Disease (IBD): Conditions like Crohn’s disease and ulcerative colitis are primary causes. Chronic inflammation leads to sustained swelling and tissue changes.
- Infections: Bacterial, viral, or parasitic infections (such as gastroenteritis) can cause temporary, acute wall thickening due to the body's immediate inflammatory response.
- Ischemia: If the blood supply to a portion of the intestine is compromised (bowel ischemia), the tissue may swell and become thick.
- Diverticulitis: Inflammation of small pouches (diverticula) in the colon wall often results in localized thickening in the affected area.
- Malignancies: In some instances, the growth of a tumor or mass within the bowel wall can lead to thickening, which is why diagnostic follow-up is critical.

Diagnostic Approach and Evaluation
When a physician notices bowel wall thickening, they typically look at the entire clinical picture rather than relying on the image alone. They will evaluate your symptoms, medical history, and blood work to narrow down the potential causes. The goal is to distinguish between acute inflammation and more serious pathologies.
| Diagnostic Tool | Purpose |
|---|---|
| Blood Tests | Checks for elevated white blood cell counts or inflammatory markers like CRP. |
| Colonoscopy/Endoscopy | Allows direct visualization of the lining and facilitates tissue biopsies. |
| Stool Studies | Identifies potential infectious causes or markers of intestinal inflammation. |
| Repeat Imaging | Used to monitor if the thickening resolves after a period of treatment. |
💡 Note: Do not assume the worst when reading an imaging report. Many instances of wall thickening are due to manageable inflammatory conditions that resolve with proper medical care.
When Should You Be Concerned?
Not every instance of thickened bowel requires invasive surgery, but certain "red flag" symptoms should always be reported to your doctor immediately. If you experience these symptoms alongside a finding of bowel wall thickening, seek medical evaluation promptly:
- Unexplained and significant weight loss.
- Blood in the stool (either bright red or black, tarry stools).
- Persistent, severe abdominal pain that does not subside.
- Chronic changes in bowel habits, such as persistent diarrhea or constipation.
- Fever or signs of a systemic infection.
Treatment Pathways
Treatment is entirely dependent on the underlying diagnosis. Once your healthcare provider identifies the root cause, they will create a tailored management plan. For example, if the cause is an infection, a course of antibiotics may be all that is required to allow the tissue to return to its normal thickness. If the thickening is caused by an autoimmune condition like Crohn’s disease, long-term management with anti-inflammatory medications or immunosuppressants may be necessary.
In cases where the thickening is caused by structural issues or advanced disease, surgical intervention might be considered to remove the affected segment of the bowel. Always discuss the findings with your gastroenterologist, as they are best equipped to interpret how these results impact your specific health profile.
💡 Note: Always complete the full course of any prescribed medication, even if your abdominal discomfort improves, to ensure the underlying inflammation is fully treated.
Final Thoughts on Digestive Health
Navigating the complexities of gastrointestinal diagnostics can be overwhelming, but understanding that bowel wall thickening is simply a clinical signpost helps demystify the process. By focusing on identifying the source of the inflammation through clear communication with your medical team, you can take proactive steps toward recovery. Whether the cause is a minor infection or a chronic inflammatory condition, modern medicine offers a wide array of treatments to manage these findings effectively. Prioritize your follow-up appointments, stay vigilant about your symptoms, and work closely with your healthcare providers to maintain your long-term digestive wellness.
Related Terms:
- intestinal wall thickening
- bowel wall thickening ultrasound
- treatment for bowel wall thickening
- bowel wall thickening on ct
- small bowel wall thickening
- bowel wall thickening radiology