Rp

Brain Cancer Ct Scan

Brain Cancer Ct Scan

Receiving a medical referral for imaging can be an anxiety-inducing experience, especially when the term brain cancer ct scan is mentioned. Understanding what this procedure entails, why it is requested, and how it helps medical professionals diagnose neurological conditions is essential for patients and their families. While the prospect of a brain scan may feel overwhelming, being armed with accurate information can help demystify the process and provide a sense of control during your healthcare journey.

What is a Brain Cancer CT Scan?

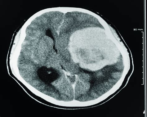
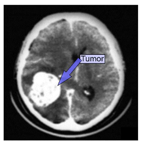
A brain cancer CT scan, or Computed Tomography scan, is a sophisticated diagnostic imaging test that uses X-ray technology to capture detailed cross-sectional images of the brain. Unlike a standard X-ray, which produces a single flat image, a CT scan takes multiple images from various angles and uses computer processing to create comprehensive "slices" of the internal structures of the head. This allows radiologists to examine the brain tissue, blood vessels, and bone structures in high definition.

Doctors often order this scan if they suspect an abnormality such as a tumor, cyst, or inflammation. By visualizing the physical landscape of the brain, medical experts can identify the location, size, and shape of potential growths, which is crucial for determining the next steps in a clinical treatment plan.

When Do Doctors Recommend a CT Scan?

A CT scan is generally one of the first lines of investigation when a patient presents with persistent or unexplained neurological symptoms. While it is not the only diagnostic tool, it is frequently chosen for its speed and availability. Common reasons a doctor might order a brain cancer CT scan include:

  • Unexplained, chronic, or sudden severe headaches.
  • Sudden changes in vision, hearing, or balance.
  • Unexplained seizures or convulsions.
  • Difficulty speaking, confusion, or personality changes.
  • Persistent nausea or vomiting without a clear cause.
  • Recovery monitoring after a head injury or surgery.

💡 Note: While a CT scan is highly effective at detecting structural changes, your physician may also request an MRI, which offers superior soft-tissue detail, depending on the specific suspected diagnosis.

Preparing for the Procedure

Preparing for a CT scan is relatively straightforward, which helps reduce stress for most patients. Because the scan uses ionizing radiation, it is important to provide your medical history accurately. Here are the common steps involved in preparation:

  • Medical History: Inform your doctor about any allergies, especially if you have had reactions to contrast dye in the past.
  • Medications: Provide a complete list of current medications and supplements you are taking.
  • Fasting: Depending on whether you will receive a contrast agent, you may be asked to avoid eating or drinking for a few hours before the scan.
  • Clothing: You will likely be asked to remove jewelry, hairpins, glasses, or hearing aids, as these can interfere with image quality.

The Procedure Experience

During the brain cancer CT scan, you will be asked to lie on a motorized table that slides into the center of a donut-shaped machine called a gantry. The process is painless and typically quick, often lasting only 10 to 20 minutes.

Aspect Details
Duration 10–20 Minutes
Comfort The machine is open-ended; no confinement feeling
Noise May hear buzzing or clicking sounds
Presence Technicians monitor from an adjacent room

You must lie as still as possible during the scan, as movement can blur the images. If contrast dye is used, you might feel a warm sensation or a metallic taste in your mouth, which is a normal, temporary reaction. A technician will communicate with you throughout the scan via an intercom system to ensure you are comfortable.

Interpreting the Results

Once the scan is complete, a radiologist—a doctor specialized in interpreting medical images—will analyze the data. They look for masses, swelling, or structural anomalies that could indicate cancer or other conditions. The results are typically sent to your primary physician or neurologist, who will then discuss the findings with you during a follow-up appointment.

It is important to remember that a "positive" finding on a scan does not automatically confirm cancer. Many non-cancerous conditions, such as benign cysts or infections, can mimic the appearance of a tumor. Further diagnostic procedures, such as a biopsy or an MRI with gadolinium contrast, may be required to reach a definitive diagnosis.

Safety and Radiation Considerations

A primary concern for many patients involves exposure to radiation. CT scans do use ionizing radiation, which carries a theoretical risk. However, medical professionals prioritize the "ALARA" principle—As Low As Reasonably Achievable—meaning they use the minimum amount of radiation necessary to obtain a high-quality diagnostic image. When weighed against the risks of leaving a serious condition like brain cancer undiagnosed, the benefit of the scan almost always outweighs the risk of the radiation exposure itself.

⚠️ Note: Always consult with your radiologist or referring physician if you are pregnant or think you might be, as special precautions may need to be taken.

Final Thoughts and Moving Forward

Navigating the diagnostic process for potential brain health issues is a serious matter, but understanding the role of a brain cancer CT scan can help take the mystery out of your medical care. By acting as a clear window into the structures of your brain, this imaging technology provides the necessary information for your medical team to formulate the most effective care plan. If you are awaiting a scan, focus on following the pre-procedure instructions, and do not hesitate to ask your doctor questions to clarify any uncertainties. Taking these steps ensures you are an informed partner in your health journey, moving forward with clarity and confidence regarding your medical status and the path toward wellness.

Related Terms:

  • best imaging for brain tumor
  • ct brain without contrast
  • ct of head without contrast
  • head ct scan vs mri
  • does ct scan show tumors
  • mri brain tumor vs normal