Cleve

Brain Mri Images

Brain Mri Images

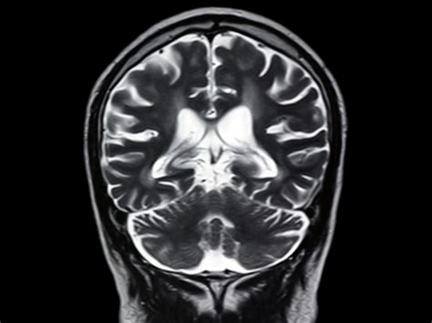
Medical imaging technology has revolutionized the way we understand human health, and among these diagnostic tools, Brain MRI Images stand out as the gold standard for visualizing the complex architecture of the central nervous system. Magnetic Resonance Imaging (MRI) provides incredibly detailed, non-invasive views of the brain's internal structures, allowing medical professionals to identify anomalies, track the progression of diseases, and plan surgical interventions with pinpoint accuracy. Unlike X-rays or CT scans, which rely on ionizing radiation, MRI machines utilize powerful magnetic fields and radio waves to generate sophisticated, multi-planar cross-sections of brain tissue.

Understanding the Basics of Brain MRI Technology

Medical professional reviewing Brain MRI Images on a monitor

At its core, the process of capturing Brain MRI Images is a marvel of physics and engineering. When a patient enters the scanner, their body interacts with a strong magnetic field that causes the hydrogen protons in their body’s water molecules to align. Radiofrequency pulses are then applied, forcing these protons to shift their alignment. As the pulses are turned off, the protons return to their natural state, emitting radio signals that the MRI scanner detects and converts into high-resolution imagery.

This technology is essential for distinguishing between various types of tissues, such as gray matter, white matter, and cerebrospinal fluid. By manipulating the timing of the radiofrequency pulses—a process referred to as adjusting pulse sequences—radiologists can emphasize different pathological features, making it easier to spot tumors, lesions, or inflammatory processes.

Clinical Applications and Diagnostic Value

The utility of Brain MRI Images extends across numerous neurological specialties. Because these images provide superior soft-tissue contrast, they are the preferred modality for identifying issues that other imaging techniques might miss. Clinicians rely on these scans to diagnose and monitor a variety of conditions, including:

  • Tumors and Neoplasms: Identifying the precise location, size, and type of brain tumors.
  • Neurodegenerative Diseases: Detecting patterns of brain atrophy associated with Alzheimer’s, Parkinson’s, and multiple sclerosis.
  • Cerebrovascular Issues: Assessing the impact of strokes, identifying aneurysms, or evaluating blood flow irregularities.
  • Infections and Inflammation: Spotting signs of meningitis, encephalitis, or abscesses within the cranial vault.
  • Congenital Abnormalities: Examining structural variations present from birth.

Furthermore, functional MRI (fMRI) is a specialized application that allows doctors to observe brain activity by measuring changes in blood flow. This is particularly useful in pre-surgical planning, where surgeons need to map out vital areas of the brain to ensure they avoid critical functional centers during an operation.

Comparing Imaging Modalities

Choosing the right diagnostic tool is crucial for patient care. The following table highlights why healthcare providers often choose an MRI over other common imaging methods:

Feature Brain MRI CT Scan X-Ray
Radiation None Ionizing Ionizing
Soft Tissue Detail Excellent Moderate Poor
Speed Slow Very Fast Very Fast
Best Use Case Complex neurological detail Trauma/Bone injury Initial bone fracture screening

💡 Note: Patients with certain metal implants, such as older pacemakers or cochlear implants, may not be candidates for MRI scans due to the powerful magnetic field. Always disclose your full medical history to your healthcare provider before scheduling an appointment.

What to Expect During the Procedure

Undergoing the process to obtain Brain MRI Images is generally a safe, albeit loud, experience. The machine produces significant noise due to the rapid switching of magnetic gradients, so technicians typically provide earplugs or noise-canceling headphones. Depending on the specific diagnostic requirement, a contrast agent known as gadolinium may be injected intravenously to highlight specific structures or blood vessels more clearly.

The patient must remain as still as possible during the scan, as even minor movements can result in "motion artifacts" that blur the images and make them difficult to interpret. The scan typically lasts between 30 and 60 minutes. Throughout the process, the patient is in constant communication with the technician via an intercom system, ensuring comfort and safety.

Interpreting the Results

Once the images are acquired, they are processed and sent to a radiologist. These specialists are trained to meticulously examine the Brain MRI Images, looking for subtle deviations from normal anatomy. They look for signals that are “hyperintense” (bright) or “hypointense” (dark) on the scan, which often indicate different types of pathology. The radiologist then synthesizes these findings into a comprehensive report for the referring physician, who uses the data to determine the next steps in treatment or management.

💡 Note: Receiving a report from a radiologist can be daunting, but it is important to remember that not every finding is indicative of a dangerous condition. Many MRI scans show incidental, benign findings that have no impact on the patient's health.

Future Advancements in Brain Imaging

The field of neuroimaging is constantly evolving. Researchers are currently working on integrating Artificial Intelligence (AI) into the analysis of Brain MRI Images. AI algorithms are showing great promise in identifying patterns that the human eye might overlook, such as extremely early markers of neurodegeneration. Additionally, newer scanners are being developed with higher magnetic field strengths (such as 7T MRI), which offer unprecedented detail and clarity, opening new doors for understanding the complexities of human cognition and brain disease.

The role of high-quality imaging in modern medicine cannot be overstated. By providing a window into the most complex organ in the human body, these scans offer clarity where there was once uncertainty, guiding clinicians toward accurate diagnoses and more effective, personalized treatment plans. As technology continues to improve, the capacity for these diagnostic tools to detect, track, and ultimately help treat neurological conditions will only grow stronger, solidifying their place at the forefront of medical diagnostics.

Related Terms:

  • brain scan images with tumor
  • mri brain scan images
  • brain mri imaios
  • brain mri images dataset kaggle
  • mri scan images
  • brain mri images dataset