Rp

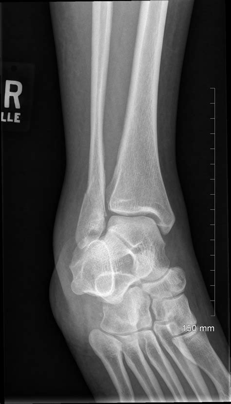
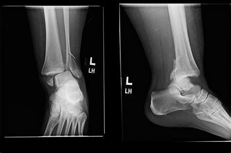
Broken Ankle Xray

Broken Ankle Xray

Experiencing a sudden, sharp pain in your ankle after a fall or an awkward twist can be a frightening experience. One of the most critical steps in diagnosing the severity of this injury is obtaining a broken ankle Xray. This medical imaging test is the gold standard for determining whether the bone is fractured, the extent of the damage, and the appropriate course of treatment. Whether you are dealing with a simple hairline fracture or a more complex break involving multiple bones, understanding what to expect during the imaging process and how to interpret the results is essential for your recovery journey.

Why a Broken Ankle Xray is Essential

When you visit an urgent care clinic or an emergency room with ankle pain, the physician will first perform a physical examination. However, even the most experienced doctor cannot confirm a fracture just by looking at the surface. A broken ankle Xray is necessary to visualize the internal structure of the joint. It provides a clear, two-dimensional image of the tibia, fibula, and talus, allowing medical professionals to rule out or confirm a break.

Without an Xray, it is nearly impossible to distinguish between a severe sprain and a fracture, as both injuries often present with similar symptoms, such as:

  • Severe pain and tenderness at the site of the injury.
  • Significant swelling and bruising (ecchymosis).
  • Inability to put weight on the affected foot.
  • Visible deformity or misalignment of the joint.

By securing an image, the radiologist or orthopedist can identify the exact location and pattern of the break. This accuracy is vital because different types of fractures require vastly different treatments, ranging from simple immobilization in a walking boot to surgical intervention with plates and screws.

What to Expect During the Imaging Process

The process of getting a broken ankle Xray is quick, generally painless, and non-invasive. When you arrive at the radiology department, a technician will guide you through the necessary positions to get the most accurate views of the bone.

Typically, you can expect the following steps:

  • Positioning: You will be asked to sit or lie down on an examination table. The technician will position your ankle in three standard views: an anterior-posterior (front), lateral (side), and a mortise view (a slightly rotated view that better visualizes the joint space).
  • Safety Protocols: You may be provided with a lead apron to protect other parts of your body from unnecessary radiation, although the dose used for an ankle Xray is very small and considered safe.
  • Imaging: You must remain perfectly still while the image is taken to ensure the picture is not blurry. The entire process usually takes less than 15 minutes.

⚠️ Note: If you suspect a fracture, avoid moving the ankle unnecessarily before the Xray. Keep it elevated and apply ice to minimize swelling, which can sometimes make it harder to get a clear image.

Interpreting Your Results

Once the images are captured, they are reviewed by a radiologist. The broken ankle Xray will reveal whether there is a cortical breach—the medical term for a break in the bone's outer shell. The report will describe the type of fracture, which helps the orthopedic surgeon plan the treatment.

Fracture Type Characteristics Common Treatment
Hairline Fracture Small, thin crack in the bone. Cast or walking boot.
Displaced Fracture Bones are out of alignment. Reduction or surgery.
Comminuted Fracture Bone is shattered into pieces. Surgery (ORIF).
Avulsion Fracture Tendon/ligament pulls a piece of bone off. Variable (depending on size).

Treatment Paths Following the Xray

The results of your broken ankle Xray dictate your recovery plan. If the bone pieces are aligned, your doctor may suggest conservative treatment. This involves wearing a cast or specialized boot for several weeks to allow the body's natural healing process to bridge the gap in the bone.

However, if the Xray indicates that the joint surface is uneven or that the bone is severely displaced, surgery may be recommended. This is often referred to as Open Reduction Internal Fixation (ORIF), where a surgeon uses hardware like metal plates and screws to hold the bones in the correct anatomical position while they heal. Following surgery, you will likely undergo follow-up Xrays periodically to monitor bone union.

💡 Note: Always follow up with an orthopedic specialist after your initial emergency Xray, as they specialize in bone health and can provide a more precise recovery timeline.

When to Seek Immediate Medical Attention

While some minor fractures may feel manageable, you should seek a broken ankle Xray immediately if you observe "red flag" symptoms. Delaying imaging can lead to improper healing, chronic pain, and future joint instability. Indicators for an emergency visit include:

  • An obvious deformity where the ankle appears bent or out of place.
  • Bone protruding through the skin (an open fracture), which is a medical emergency requiring immediate surgery.
  • Numbness, tingling, or the foot turning pale or blue, indicating potential nerve or blood vessel damage.
  • The inability to move your toes, which can signal significant trauma near the ankle joint.

Preparing for Your Recovery

Once the diagnosis from the broken ankle Xray is confirmed, preparation becomes key. Recovery is not just about the bone healing; it is about restoring the function of the surrounding muscles and ligaments. You should discuss the following with your healthcare provider:

  • Weight-bearing status: Ask exactly how much weight you are allowed to place on the foot. Using crutches or a knee scooter incorrectly can delay healing.
  • Swelling management: Utilize the RICE method (Rest, Ice, Compression, Elevation) in the first 48 to 72 hours.
  • Physical Therapy: Once the bone is knit, physical therapy is vital to restore range of motion and strength in the ankle joint.

Recovering from an ankle fracture requires patience. While the broken ankle Xray provides the map for your treatment, your adherence to the physician's instructions regarding movement and protection is what will ultimately lead to a full recovery. Never rush the process; allow your body the necessary time to calcify the bone completely before returning to high-impact activities like running or jumping.

By taking the necessary steps to secure professional imaging and adhering to the prescribed recovery plan, you are setting yourself up for the best possible outcome. While an ankle fracture is a significant setback, most individuals return to their daily activities with full function following appropriate medical care and consistent rehabilitation. Always prioritize professional medical advice when dealing with potential fractures to ensure long-term joint health and mobility.

Related Terms:

  • broken ankle x ray images
  • best treatment for broken ankle
  • normal ankle x ray
  • ankle lateral xray anatomy
  • 6 year old ankle xray
  • does broken ankle need surgery