Experiencing an injury to your arm can be an incredibly stressful and painful ordeal, especially when it involves a critical joint like the elbow. Recognizing the early broken elbow symptoms is essential for ensuring you seek the correct medical attention promptly. A fracture in this area can range from a hairline crack to a complex break involving multiple bones, and ignoring the signs can lead to long-term complications, including restricted range of motion or chronic pain. Whether caused by a sudden fall, a sports-related impact, or a direct blow, understanding how your body communicates this trauma helps in navigating the recovery process more effectively.
What Are the Primary Broken Elbow Symptoms?
When you suffer an elbow fracture, the body reacts immediately to stabilize the area and signal distress. The symptoms can vary depending on the severity and type of the break, but several common indicators often manifest right after the injury occurs.
The most frequent broken elbow symptoms include:
- Sudden, intense pain: This is almost always the first sign. The pain may worsen when you attempt to move or touch the joint.
- Significant swelling and bruising: The area around the elbow will likely swell rapidly, and deep purple or blue bruising may appear shortly after or over the following hours.
- Deformity: If the bone is significantly displaced, the elbow may look visibly misshapen, crooked, or "out of place."
- Limited range of motion: You will likely find it impossible to bend or straighten your arm. Attempting to do so often results in sharp, unbearable pain.
- Numbness or tingling: If the fracture is pressing against nerves, you might feel a "pins and needles" sensation in the arm, hand, or fingers.
- Tenderness: Even light pressure on the bony prominences of the elbow will be extremely painful.

Differentiating Between a Fracture, Sprain, and Dislocation
It is common to confuse a broken elbow with other injuries like a sprain or a dislocation because the symptoms often overlap. However, the treatment paths for these injuries differ significantly. A sprain involves damage to the ligaments, whereas a fracture involves the bones themselves. A dislocation occurs when the bones forming the joint are forced out of their normal position.
The following table outlines how to compare these common elbow injuries:
| Symptom | Fracture | Dislocation | Sprain |
|---|---|---|---|
| Pain Level | Severe, constant | Excruciating, immediate | Moderate to severe |
| Visual Appearance | May be misshapen if displaced | Clear deformity of the joint | Usually looks normal |
| Swelling | Rapid and intense | Rapid and intense | Gradual |
| Nerve Issues | Possible (numbness) | Common (due to pressure) | Rare |
Why Prompt Diagnosis Matters
Relying solely on identifying broken elbow symptoms is not a substitute for professional medical care. Because the elbow is a complex hinge joint that relies on the precise alignment of the humerus, radius, and ulna, even a minor fracture must be evaluated by a healthcare professional. Failure to immobilize the joint correctly can cause the bone to heal in an improper position, leading to long-term stiffness or permanent loss of function.
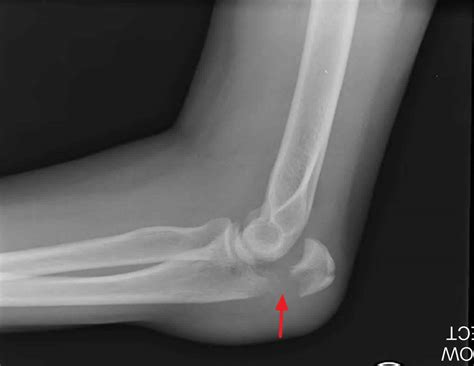
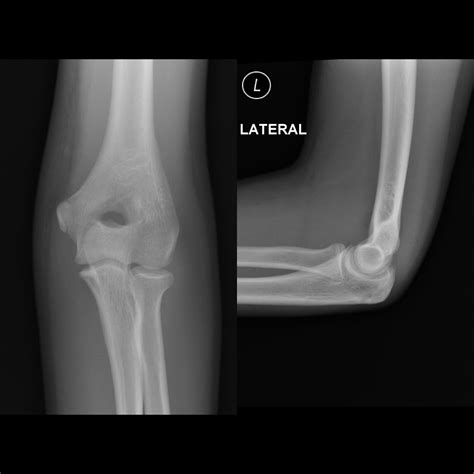
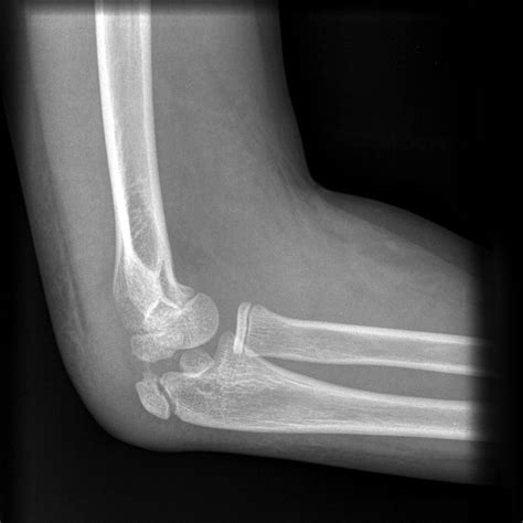
Doctors will typically use X-rays to visualize the bones and confirm a diagnosis. In more complex cases, such as intra-articular fractures, a CT scan might be required to determine if surgical intervention is necessary to realign the bone fragments.
⚠️ Note: If you notice the skin is broken near the site of the injury, this is considered an "open fracture," which requires immediate emergency medical attention to prevent severe infection.
Immediate First Aid Steps
If you suspect you have broken your elbow, your priority should be minimizing further damage while you arrange for medical transport. Do not attempt to "pop" the elbow back into place yourself, as this can cause irreversible damage to the surrounding nerves and blood vessels.
Follow these steps to manage the injury until you reach a medical facility:
- Immobilize the arm: Use a makeshift sling or a folded towel to hold the arm in the most comfortable position possible. Do not try to force it straight if it is bent.
- Apply ice: Gently apply an ice pack wrapped in a cloth to the swollen area for 15-20 minutes to reduce inflammation and numb the pain.
- Keep it elevated: If possible, keep the arm elevated above the level of your heart to help manage swelling.
- Seek urgent care: Go to the nearest emergency department or urgent care center immediately for an X-ray.
💡 Note: If you are experiencing cold fingers or an inability to feel or move your hand, this may indicate a compromise in blood flow or nerve damage, warranting immediate emergency intervention.
Long-term Recovery and Rehabilitation
Recovering from a fractured elbow is a process that requires patience. Even after the bone has knit back together, the surrounding muscles and ligaments often become stiff due to prolonged immobilization. Most patients will undergo a period of physical therapy to restore strength and flexibility.
During rehabilitation, the focus is on:
- Gradual range of motion exercises: Slowly introducing movement to prevent scar tissue buildup.
- Strengthening exercises: Rebuilding the muscles that stabilize the joint.
- Pain management: Using prescribed treatments to keep discomfort manageable during therapy sessions.
The time it takes to return to normal activity varies depending on the age of the patient and the complexity of the break. Following your orthopedic specialist's guidance is the best way to ensure you regain full function of your arm without lingering issues.
Successfully navigating an elbow injury begins with recognizing the warning signs early and securing professional medical evaluation. By understanding the common indicators such as localized swelling, intense pain, and restricted movement, you can take the necessary steps to get treatment quickly. While the recovery journey requires patience and diligent rehabilitation, most individuals achieve a full return to function when the fracture is managed correctly. If you suspect an injury, prioritize stability, apply basic first aid, and consult with a doctor to protect the long-term health of your joint.
Related Terms:
- signs you broke your elbow
- elbow fracture types
- broken elbow pain
- broken elbow pictures
- broken elbow treatment
- Broken Elbow Surgery