Cleve

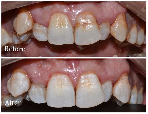
Brown Staining Teeth

Brown Staining Teeth

Discovering brown staining teeth when you look in the mirror can be a startling experience. Whether it appears as subtle streaks, isolated spots, or a more generalized discoloration, changes in your smile often cause concern. While many people immediately assume the worst regarding their oral hygiene, the truth is that dental discoloration is a complex issue with a wide variety of causes, ranging from simple lifestyle choices to underlying medical conditions. Understanding why these stains occur is the first step toward reclaiming a bright, healthy smile and ensuring your dental health is in its best possible state.

Common Causes of Brown Stains

The enamel on our teeth is remarkably durable, yet it is porous. This means that over time, it can absorb pigments from the things we consume, or be affected by internal changes within the tooth structure. Identifying the root cause is essential for effective treatment. Here are the most common culprits behind brown staining teeth:

  • Dietary Habits: Frequent consumption of chromogenic (color-pigment) foods and drinks, such as coffee, black tea, red wine, dark sodas, and soy sauce, can leave deep residues on the enamel surface.
  • Tobacco Use: Smoking or chewing tobacco contains nicotine and tar, which are notorious for causing stubborn, dark brown or even black stains that are difficult to remove with standard brushing.
  • Poor Oral Hygiene: When plaque and tartar (hardened plaque) are allowed to accumulate, they provide a rough, porous surface that readily absorbs stains from foods and drinks.
  • Aging: As we get older, the outer layer of white enamel gradually wears away, revealing the yellowish or brownish dentin layer underneath.
  • Medications: Certain antibiotics, particularly tetracycline if taken during tooth development in childhood, can cause deep-seated, intrinsic brown staining.
  • Dental Trauma: If a tooth has been injured, it may undergo internal changes, such as nerve damage or bleeding inside the pulp chamber, which can cause the tooth to turn brown or gray over time.

Differentiating Between Extrinsic and Intrinsic Stains

To treat brown staining teeth effectively, dentists categorize them into two main types: extrinsic and intrinsic. Understanding this difference is crucial because the treatment approach for each is entirely different.

Also read: Face Fat Removal Without Surgery
Feature Extrinsic Stains Intrinsic Stains
Definition Stains on the surface enamel. Stains within the tooth structure.
Primary Cause External factors (food, tobacco, plaque). Internal factors (trauma, medication, genetics).
Treatment Professional cleaning, whitening, lifestyle changes. Veneers, crowns, internal bleaching.

Extrinsic stains are usually easier to manage. They are often the result of lifestyle factors and are typically addressed by professional dental cleanings (prophylaxis) or high-quality whitening treatments. Intrinsic stains, however, exist beneath the surface, meaning surface whitening methods may be ineffective, requiring restorative solutions like dental bonding or veneers.

The Impact of Tartar Accumulation

Often, brown staining teeth are not just about surface pigmentation; they are a sign of hardened plaque, known as calculus or tartar. When plaque is not removed through thorough brushing and flossing, it mineralizes and bonds tightly to the tooth surface. Because tartar is porous, it attracts stains much more aggressively than healthy, smooth enamel.

Once tartar has formed, it cannot be removed with a toothbrush or floss at home. It requires specialized dental tools used by a dental hygienist during a professional cleaning session. Ignoring tartar buildup can lead to gingivitis or more advanced gum disease, which can eventually threaten the stability of your teeth.

⚠️ Note: Never attempt to scrape off tartar at home using metal tools or DIY instruments, as this can permanently damage your enamel or cause serious gum injury.

When to See a Dentist

While some minor staining is manageable through improved oral hygiene routines, there are specific scenarios where professional intervention is mandatory. Do not ignore changes in your dental health if you experience the following:

  • Staining that appears suddenly and rapidly spreads across multiple teeth.
  • Brown spots accompanied by sensitivity to hot or cold temperatures, which could indicate decay or enamel erosion.
  • Discoloration that is isolated to a single tooth, which may be a sign of internal trauma or a dying nerve.
  • Bleeding gums, swelling, or persistent bad breath alongside the discoloration.

A dentist can determine whether the brown staining is superficial or if it indicates deeper issues like cavities or structural decay. Furthermore, they can provide personalized advice on whitening products that are safe for your specific tooth sensitivity levels and enamel thickness.

Preventative Strategies for a Brighter Smile

Prevention is significantly more effective and less expensive than treatment. By making minor adjustments to your daily routine, you can prevent brown staining teeth from returning or forming in the first place.

  • Practice Diligent Oral Hygiene: Brush twice a day with fluoride toothpaste and floss daily to remove food particles and plaque before they have a chance to harden into tartar.
  • Rinse After Eating: If you consume staining foods or drinks, rinse your mouth with water immediately afterward to minimize the contact time between pigments and your enamel.
  • Use a Straw: When drinking iced coffee, tea, or soda, use a straw to bypass your front teeth and reduce the direct exposure of liquid to the visible parts of your smile.
  • Limit Staining Agents: Reduce the frequency of consuming coffee, red wine, and tobacco products.
  • Schedule Regular Checkups: Professional cleanings twice a year are the most effective way to remove early buildup that you might miss, keeping your smile clean and bright.

💡 Note: Teeth whitening toothpastes can be helpful for surface stains, but they use abrasive particles to scrub teeth. Use them sparingly to avoid wearing down your enamel over time.

Addressing the appearance of brown staining teeth starts with identifying the cause, whether it is related to lifestyle, diet, or internal dental factors. By understanding the distinction between extrinsic surface stains and intrinsic structural discoloration, you can better navigate the options for treatment. Maintaining a consistent oral hygiene routine, scheduling regular professional cleanings, and being mindful of dietary habits are the most effective ways to manage existing issues and prevent future staining. If you are concerned about persistent discoloration, consulting with your dentist is always the safest path to determining the underlying cause and establishing a personalized plan to restore the health and appearance of your smile.

Related Terms:

  • bottom of teeth turning brown
  • my teeth suddenly turning brown
  • teeth turning brown near gums
  • brown stain between 2 teeth
  • brown build up on teeth
  • teeth turning brown meaning