Cleve

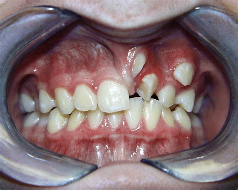
Buck Teeth Braces

Buck Teeth Braces

Many individuals feel self-conscious about the appearance of their smile, often due to teeth that protrude significantly. If you have been searching for solutions, you have likely come across the term buck teeth braces. Protruding front teeth, clinically known as malocclusion or an overbite, are a common dental concern. Fortunately, modern orthodontics provides highly effective ways to correct these issues, improving both the aesthetics of your smile and the overall functionality of your bite.

Understanding Buck Teeth and Why They Occur

Buck teeth, or maxillary incisor protrusion, occur when the upper front teeth extend further forward than the lower teeth. While many people desire correction for cosmetic reasons, treating this condition is also crucial for long-term oral health. Left untreated, severe protrusion can increase the risk of tooth injury, lead to uneven wear on enamel, and make proper cleaning more difficult, potentially contributing to gum disease.

Several factors contribute to the development of buck teeth:

  • Genetics: The size and shape of your jaw and teeth are often inherited. If your parents had an overbite, you may be more likely to have one as well.
  • Childhood Habits: Prolonged thumb sucking, pacifier use, or tongue thrusting during childhood can exert pressure on the teeth, pushing them out of alignment.
  • Jaw Structure: An imbalance in jaw growth, where the upper jaw grows faster or larger than the lower jaw, is a primary physiological cause.

How Buck Teeth Braces Work

When you opt for buck teeth braces, you are choosing a treatment plan designed to gradually move your teeth into their proper positions. Braces function by applying constant, gentle pressure over time. This process remodels the bone surrounding the tooth roots, allowing the teeth to shift into a more ideal alignment within the dental arch.

The orthodontic process generally follows these stages:

  1. Consultation and Assessment: An orthodontist will examine your teeth, take X-rays, and create a 3D scan to develop a customized treatment plan.
  2. Appliance Placement: Brackets are bonded to the front of your teeth, and an archwire is threaded through them. The tension in this wire is what drives the movement.
  3. Regular Adjustments: You will visit your orthodontist every few weeks to have your wires tightened or changed, ensuring steady progress toward your goal.
  4. Retention Phase: Once the braces are removed, you must wear a retainer to prevent your teeth from shifting back to their original position.

💡 Note: The duration of your treatment depends on the severity of your overbite and your commitment to following your orthodontist's care instructions, such as wearing rubber bands if prescribed.

Comparing Your Orthodontic Options

You have more options today than ever before when choosing the type of buck teeth braces that best fit your lifestyle and aesthetic preferences. Each type has its own set of advantages.

Type of Braces Description Best For
Traditional Metal Braces Stainless steel brackets and wires. Complex cases and budget-conscious patients.
Ceramic Braces Tooth-colored or clear brackets that blend in. Those seeking a less noticeable appearance.
Clear Aligners Removable, transparent trays. Mild to moderate overbites and aesthetic preference.
Lingual Braces Brackets placed on the back of the teeth. Total invisibility while wearing braces.

Benefits Beyond Aesthetics

While fixing buck teeth braces dramatically improves your smile, the functional benefits are equally important. Correcting an overbite helps to:

  • Improve Speech: Severe overbites can affect the way air escapes the mouth, leading to lisping or difficulty pronouncing certain sounds.
  • Ease Chewing and Digestion: Proper tooth alignment ensures that your teeth can work together efficiently, making it easier to break down food.
  • Reduce Jaw Pain: A misaligned bite places undue stress on the temporomandibular joint (TMJ), which can lead to chronic headaches and jaw discomfort.
  • Protect Against Injury: Protruding teeth are much more susceptible to fractures or being knocked out during sports or accidents.

Life During Treatment

Adapting to life with braces takes a little time, but it quickly becomes routine. The most critical aspect of your orthodontic journey is maintaining excellent oral hygiene. Because food can get trapped in brackets and wires, you must be diligent about brushing after every meal and using tools like interdental brushes or floss threaders to clean hard-to-reach areas.

Additionally, you should avoid foods that could damage your appliance, such as:

  • Hard candies or ice.
  • Sticky foods like caramel or taffy.
  • Crunchy foods like popcorn or whole apples (slice them first!).

💡 Note: If you experience any persistent discomfort or a wire becomes loose, contact your orthodontist immediately rather than trying to fix it yourself, as this can delay your progress.

Embarking on the journey to straighten your teeth is a significant investment in your health and confidence. By understanding how buck teeth braces work and carefully selecting the right type of treatment with the guidance of a professional, you can achieve the healthy, beautiful smile you have always wanted. The process requires patience and adherence to your orthodontist’s advice, but the long-term rewards of improved oral function and enhanced aesthetics make it a highly worthwhile endeavor. With the variety of modern options available, there is a solution tailored to meet your unique needs and lifestyle, setting the foundation for a lifetime of better oral health.

Related Terms:

  • buck teeth alignment
  • buck teeth problems
  • buck teeth in mouth
  • buck teeth protruding
  • buck teeth repair
  • what are buck teeth