Cleve

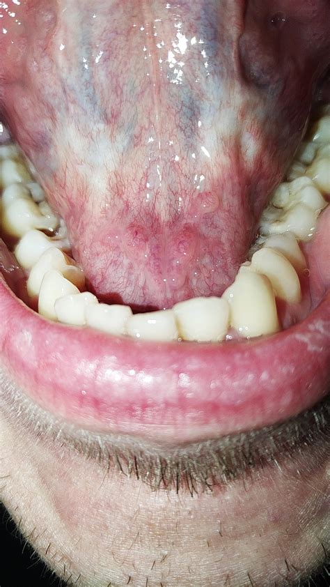
Bumps On Side Of Tongue

Bumps On Side Of Tongue

Discovering bumps on side of tongue can be an unsettling experience, often triggering immediate concern about your oral health. While it is natural to worry when you notice something unusual in your mouth, it is important to remember that most tongue-related issues are benign and resolve on their own. These bumps can appear due to a variety of reasons, ranging from simple irritation or minor trauma to common infections or inflammatory conditions. Understanding the potential causes, recognizing the symptoms, and knowing when to seek professional medical advice are essential steps in managing this condition effectively.

Common Causes of Bumps on Side of Tongue

The tongue is a complex organ covered in papillae, which are the tiny projections that give it a textured surface. Because of its constant movement and exposure to everything we eat, drink, or inhale, it is highly susceptible to temporary changes. When you notice bumps on side of tongue, they are frequently caused by one of the following factors:

  • Transient Lingual Papillitis: Often referred to as “lie bumps,” these are inflamed papillae that become swollen and irritated. They are usually harmless and disappear within a few days.
  • Trauma or Injury: Accidental biting of the tongue, irritation from sharp tooth edges, or abrasive food can cause localized inflammation and small bumps.
  • Canker Sores (Aphthous Ulcers): These are small, painful, white or yellowish ulcers surrounded by a red area. While more common on the soft tissues of the mouth, they can appear on the sides of the tongue.
  • Oral Herpes (Cold Sores): Caused by the herpes simplex virus, these can sometimes manifest as fluid-filled blisters on or around the tongue.
  • Poor Oral Hygiene: Bacteria buildup can lead to inflammation of the tongue’s surface, resulting in swollen bumps.
  • Allergic Reactions: Reactions to certain toothpastes, mouthwashes, or foods can cause swelling and irritation.

Distinguishing Between Benign and Serious Conditions

While most bumps on side of tongue are temporary, it is crucial to understand that persistent changes may require a medical evaluation. It can be difficult for a layperson to distinguish between a harmless irritation and a more serious condition. Generally, benign bumps tend to be small, resolve within a week or two, and may be painful but do not bleed or grow rapidly. Conversely, persistent, non-healing sores or growths that increase in size or become fixed in one place should never be ignored.

Also read: Best Face Mask Brands Plastic Surgery Recovery
Feature Benign Bumps (Common) Potentially Serious
Duration Lasts a few days to a week Lasts longer than two weeks
Progression Stays the same or shrinks Increases in size or spreads
Pain Level Often painful or tender Can be painless initially
Surface Smooth or slightly irregular Hard, firm, or ulcerated

⚠️ Note: If you notice a growth that feels firm, hard to the touch, or if you experience persistent pain and difficulty swallowing, please consult a dentist or a doctor immediately, as these can be signs of more significant health issues requiring professional diagnosis.

Diagnostic Procedures and When to See a Doctor

When you consult a medical professional regarding bumps on side of tongue, they will typically perform a physical examination of your oral cavity. They may ask about your medical history, recent dietary changes, or potential exposure to irritants. In many cases, a visual inspection is sufficient for a diagnosis. However, if the cause remains unclear, your healthcare provider may suggest a biopsy, where a small tissue sample is taken to rule out serious underlying conditions such as oral cancer.

You should seek professional medical help if:

  • The bumps do not go away after two weeks of home care.
  • The bumps are spreading or becoming larger.
  • You experience significant pain that interferes with eating or talking.
  • You notice bleeding from the area.
  • You develop unexplained fever, ear pain, or a persistent sore throat along with the tongue bumps.

Home Care and Management Strategies

For minor, temporary bumps on side of tongue, there are several self-care strategies you can employ to alleviate discomfort and promote healing. Maintaining strict oral hygiene is the foundation of oral health, but during an active breakout, be extra gentle to avoid further irritation.

  • Rinse with Salt Water: Mix half a teaspoon of salt in a cup of warm water and rinse your mouth several times a day to reduce inflammation and keep the area clean.
  • Avoid Irritants: Steer clear of spicy, acidic, or overly salty foods that can exacerbate soreness on the side of the tongue.
  • Gentle Oral Care: Use a soft-bristled toothbrush to prevent causing further trauma to the sensitive area.
  • Hydration: Drinking plenty of water helps maintain a healthy oral environment and prevents dryness, which can make tongue irritation worse.
  • Over-the-Counter Treatments: Consult a pharmacist about oral gels or topical treatments designed to soothe mouth sores.

💡 Note: Do not attempt to pop, drain, or pick at any bumps on your tongue. Doing so can introduce bacteria, lead to secondary infections, and significantly delay the natural healing process.

Long-Term Prevention Tips

Preventing recurrent bumps on side of tongue is often a matter of lifestyle adjustments and consistent oral care habits. By reducing irritation and maintaining a healthy mouth, you can significantly lower the frequency of these occurrences. Focus on eating a balanced diet rich in vitamins, particularly B-vitamins, as deficiencies are sometimes linked to oral health problems. Additionally, managing stress is vital, as stress can weaken your immune system and make you more prone to mouth ulcers or inflammatory conditions.

Regular check-ups with your dentist are also crucial. They can identify sharp tooth edges, ill-fitting dental appliances, or early signs of gum disease that might be contributing to tongue irritation. By being proactive rather than reactive, you can keep your tongue healthy and free from painful, lingering bumps.

In summary, while encountering bumps on the side of your tongue can be an uncomfortable and alarming experience, they are frequently temporary reactions to injury, irritation, or minor infections. By focusing on proper oral hygiene, avoiding potential irritants, and monitoring any changes closely, you can manage most minor cases at home. However, consistency is key; if you find that these bumps persist, grow in size, or become accompanied by other concerning symptoms, seeking professional medical evaluation is the most responsible path to take. Staying informed about your oral health and maintaining regular check-ups ensures that you can effectively address any issues before they escalate, helping you maintain a healthy and comfortable mouth.

Related Terms:

  • hard white bump on tongue
  • lump inside tongue that hurts
  • hard bumps on tongue
  • bumps on tongue that hurt
  • sore tongue causes nhs
  • Related searches lie bumps