Cleve

Calcium Deposits In Shoulder

Calcium Deposits In Shoulder

Waking up with a sharp, stabbing pain in your shoulder can be incredibly disruptive, often turning simple tasks like reaching for a cup or brushing your hair into agonizing experiences. While many people immediately suspect a muscle strain or a rotator cuff tear, another common but often overlooked culprit is the presence of calcium deposits in shoulder tendons. Known medically as calcific tendinitis, this condition occurs when calcium crystals form within the tendons of the rotator cuff, leading to inflammation, intense pain, and limited range of motion. Understanding the nature of this condition is the first step toward effective management and long-term relief.

What Exactly Are Calcium Deposits in the Shoulder?

The shoulder joint is held together by the rotator cuff, a complex group of muscles and tendons that provide stability and allow for a wide range of movement. Sometimes, for reasons that are not entirely understood by medical science, calcium phosphate crystals begin to accumulate within these tendons. It is a misconception that these deposits are caused by high calcium intake or dietary habits; rather, it is a localized process often linked to aging, cellular changes, or chronic micro-trauma to the tendon tissue.

Calcific tendinitis typically progresses through several stages:

  • Pre-calcific stage: Changes occur in the tendon tissue, making it susceptible to calcium deposits.
  • Calcific stage: The body begins depositing calcium crystals. This stage consists of a "formative" phase (deposits building up) and a "resorptive" phase (the body attempting to dissolve the deposits).
  • Post-calcific stage: The tendon heals and remodels itself, usually resulting in a full recovery of function.

The resorptive phase is often the most painful, as the body’s inflammatory response is highest when it is trying to break down and clear away the calcium buildup.

Common Symptoms to Look Out For

If you suspect you have calcium deposits in shoulder tissues, the symptoms are usually quite distinct. Unlike a slow-developing injury, the pain associated with calcific tendinitis can come on quite suddenly and intensely. Key indicators include:

  • Severe, localized pain: The pain is often focused on the side or front of the shoulder.
  • Night pain: Many patients report that the pain worsens at night, especially when lying on the affected side.
  • Limited range of motion: You may find it difficult to lift your arm above your head or reach behind your back.
  • Tenderness: The area may be sensitive to touch, making it difficult to find a comfortable position.

⚠️ Note: If you experience sudden, unbearable pain accompanied by fever, chills, or redness in the shoulder, seek immediate medical attention, as these can be signs of an infection (septic arthritis) rather than simple calcific tendinitis.

Diagnostic Procedures

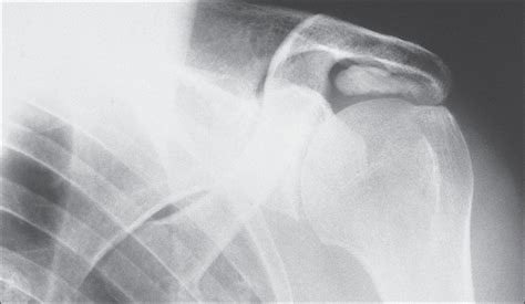
To confirm the diagnosis of calcium deposits in shoulder, an orthopedic specialist will usually conduct a physical examination followed by imaging tests. Because these deposits are essentially mineral structures, they show up very clearly on standard medical imaging.

Test Type Purpose
X-ray The most common tool; clearly shows the shape and size of the calcium deposit.
Ultrasound Useful for visualizing the surrounding soft tissue and identifying active inflammation.
MRI Rarely needed, but used if doctors need to rule out rotator cuff tears or other structural damage.

Effective Treatment Options

The good news is that most cases of calcium deposits in shoulder can be managed without surgery. Because the body naturally wants to resorb these deposits, treatment usually focuses on managing pain and inflammation until the process is complete.

Conservative Management

  • Nonsteroidal Anti-Inflammatory Drugs (NSAIDs): Over-the-counter medications can help manage pain and reduce localized swelling.
  • Physical Therapy: A structured exercise program is vital to maintain shoulder mobility while the deposit is resolving.
  • Corticosteroid Injections: A doctor may inject a steroid into the subacromial space to reduce severe inflammation.

Advanced Interventions

If conservative treatments fail, medical professionals may suggest more direct interventions, such as barbotage, where the doctor uses a needle to break up the calcium deposit and suction it out. Another option is extracorporeal shockwave therapy (ESWT), which uses sound waves to stimulate the breakdown of the calcification.

💡 Note: Always consult with a physical therapist before starting any new shoulder exercises to ensure you are not aggravating the affected tendon.

Recovery and Outlook

Recovery time varies depending on the size of the deposit and how your body reacts to the inflammatory process. While the acute pain might subside in a few weeks, the full healing process can take several months. Staying consistent with physical therapy exercises is the best way to prevent long-term stiffness, known as "frozen shoulder," which can sometimes develop as a secondary complication when the shoulder is kept immobile for too long.

In the vast majority of cases, the deposit eventually disappears completely, and the tendon heals back to its original strength. If the pain persists despite all non-surgical interventions, a surgeon might perform an arthroscopic procedure to remove the calcium directly. This is generally reserved for chronic, debilitating cases that do not respond to months of conservative care.

While dealing with the discomfort of shoulder calcification is undoubtedly challenging, it is important to remember that it is a manageable condition. By focusing on professional medical guidance, consistent physical therapy, and patience, most individuals return to their full, pain-free daily activities. If you are experiencing symptoms, prioritize an early diagnosis to determine the best path forward for your specific situation. Addressing the issue early often prevents the need for more invasive procedures and helps you regain your range of motion more quickly, allowing you to return to the active lifestyle you enjoy.

Related Terms:

  • calcific tendinitis of right shoulder
  • dissolve shoulder calcium deposits
  • shoulder pain calcium build up
  • calcific tendinosis
  • removing calcium buildup from shoulder
  • will calcific tendonitis go away