Cleve

Cardiac Tamponade Symptoms

Cardiac Tamponade Symptoms

Cardiac tamponade is a critical medical emergency that occurs when fluid accumulates in the pericardium—the sac surrounding the heart—putting life-threatening pressure on the heart muscle. This pressure prevents the heart's ventricles from expanding fully, which drastically reduces the amount of blood pumped to the rest of the body. Recognizing cardiac tamponade symptoms quickly is essential, as this condition can rapidly progress to cardiovascular collapse and death if left untreated. Understanding the warning signs is not just for medical professionals; it is vital knowledge for everyone to ensure timely intervention.

Understanding the Mechanics of Cardiac Tamponade

To understand why symptoms appear, it helps to visualize the anatomy. The pericardium is a fibrous sac that usually contains a small amount of lubricating fluid. When injury, infection, or disease causes rapid fluid accumulation (blood, pus, or fluid), the rigid sac cannot stretch fast enough to accommodate the increase. As pressure rises, the heart chambers are compressed, leading to a decrease in cardiac output. This is why the body reacts with specific, often dramatic, physical manifestations.

Key Cardiac Tamponade Symptoms

The clinical presentation of this condition is often dictated by how quickly the fluid accumulates. If fluid builds up slowly, the pericardium may stretch, delaying severe symptoms. However, rapid accumulation (such as from a traumatic chest injury) leads to an acute onset of symptoms. The classic triad of signs, known as Beck’s Triad, is frequently referenced by clinicians, but patients may experience a wider range of issues.

  • Shortness of breath (Dyspnea): Often the first sign, as the body struggles to maintain oxygen levels.
  • Chest pain: Usually sharp or stabbing in nature, potentially radiating to the neck, shoulder, or back.
  • Tachycardia: An abnormally fast heart rate as the heart tries to compensate for lower stroke volume.
  • Hypotension: A dangerous drop in blood pressure caused by the heart's inability to pump efficiently.
  • Jugular venous distention: Visible bulging of the veins in the neck because blood is backing up from the heart.
  • Muffled heart sounds: A classic clinical finding detected by doctors using a stethoscope.
  • Anxiety and restlessness: Due to reduced oxygen flow to the brain and the body's stress response.

⚠️ Note: If you or someone you are with experiences sudden, severe shortness of breath combined with lightheadedness or fainting, call emergency services immediately. Do not wait for symptoms to resolve on their own.

Clinical Signs vs. Patient Experience

While a patient might feel dizzy, anxious, or have chest pain, medical professionals look for more specific diagnostic signs during an assessment. The table below outlines how these symptoms manifest differently from the patient’s perspective compared to what a doctor identifies.

Symptom Category Patient Experience Clinical/Physical Finding
Cardiac Function Racing heartbeat, fluttering Tachycardia, Muffled heart sounds
Blood Circulation Dizziness, cold/clammy skin Hypotension, Narrow pulse pressure
Respiration Severe shortness of breath Rapid, shallow breathing
Physical Appearance General sense of "impending doom" Jugular venous distention

Risk Factors and Causes

Identifying the root cause is part of the emergency diagnosis process. Knowing what puts an individual at risk can help in early detection. Common triggers include:

  • Trauma: Penetrating or blunt chest injuries (e.g., car accidents or gunshot wounds).
  • Malignancy: Certain cancers, particularly lung or breast cancer, can spread to the pericardium.
  • Pericarditis: Severe inflammation of the pericardium.
  • Post-operative complications: Heart surgery recovery can sometimes lead to bleeding into the pericardial sac.
  • Aortic dissection: A tear in the aorta, which is a severe, life-threatening vascular event.

The Importance of Swift Diagnosis

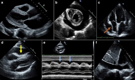
When healthcare providers suspect these symptoms, they move quickly. The primary diagnostic tool used is an Echocardiogram, which provides a real-time ultrasound image of the heart. It allows doctors to visualize the fluid surrounding the heart and observe the mechanical compression of the chambers. In an emergency setting, doctors may not wait for extensive imaging if the patient is unstable; instead, they may perform a procedure called a pericardiocentesis to drain the fluid immediately.

💡 Note: Pericardiocentesis is a procedure where a thin needle or catheter is inserted into the pericardial space to remove excess fluid. This is a life-saving intervention that provides immediate relief to the compressed heart.

When to Seek Professional Medical Care

Cardiac tamponade is never a condition that can be managed at home or monitored with “wait and see” tactics. Because the progression from initial symptoms to cardiogenic shock can occur within minutes, any suspicion of this condition necessitates an immediate trip to the emergency room. If you observe someone who has suffered a chest injury and is now exhibiting cardiac tamponade symptoms like extreme anxiety, difficulty breathing, or visible neck vein bulging, ensure they are transported to a facility capable of managing advanced cardiac life support.

The underlying message here is that awareness saves lives. Because the heart is the engine of the entire body, any compromise to its physical space creates a domino effect of systemic failures. By remaining vigilant about chest pain, unusual shortness of breath, and signs of poor circulation, you can recognize when the heart is in distress. Whether it is triggered by an underlying medical condition or acute trauma, professional medical intervention is the only way to alleviate the pressure and restore the heart to its normal, rhythmic, and efficient function. Always prioritize professional medical consultation, as early detection through diagnostic imaging and physical examination remains the gold standard for survival.

Related Terms:

  • cardiac tamponade ekg
  • cardiac tamponade causes
  • how to diagnose cardiac tamponade
  • cardiac tamponade symptoms triad
  • cardiac tamponade symptoms ekg
  • cardiac tamponade symptoms blood pressure