Cleve

Carotid Body Tumor

Carotid Body Tumor

A Carotid Body Tumor, medically known as a paraganglioma, is a rare, slow-growing neoplasm that develops in the neck at the bifurcation of the carotid artery. Located at the carotid body—a tiny cluster of chemoreceptor cells that monitor blood oxygen levels and regulate blood pressure—these tumors are typically benign but require careful clinical management due to their strategic location near vital nerves and major blood vessels. Understanding the nature, symptoms, and treatment options for this condition is crucial for patients and healthcare providers alike to ensure timely diagnosis and optimal outcomes.

Understanding the Pathology and Location

The carotid body is a small, oval-shaped gland situated deep within the neck where the common carotid artery splits into the internal and external carotid arteries. A Carotid Body Tumor arises from the chief cells, also known as glomus cells, which are part of the paraganglion system. Because this area is rich in blood supply and highly vascular, these tumors are known for being exceptionally blood-rich, which historically made surgical intervention challenging.

While most of these tumors are benign (non-cancerous), they are locally aggressive. As they grow, they can press against critical structures, including the carotid arteries, the jugular vein, and several cranial nerves (such as the vagus and hypoglossal nerves). In rare instances, a small percentage may be malignant, meaning they have the potential to spread to distant parts of the body.

Common Symptoms and Clinical Presentation

Because the growth of a Carotid Body Tumor is typically indolent, symptoms may not appear for months or even years. Often, the first sign noticed by a patient is a painless, slow-growing mass in the upper part of the neck, just below the angle of the jaw. As the tumor increases in size, it may cause various secondary symptoms depending on which nerves or vessels are being compressed.

  • Pulsatile Neck Mass: A lump that beats in rhythm with your pulse.
  • Hoarseness or Voice Changes: Often caused by pressure on the vagus nerve or the recurrent laryngeal nerve.
  • Difficulty Swallowing (Dysphagia): Compression of pharyngeal structures.
  • Neck Pain: Dull, aching discomfort in the area of the carotid bifurcation.
  • Cranial Nerve Deficits: Issues with tongue movement, swallowing, or shoulder shrugging if the tumor compresses the hypoglossal or spinal accessory nerves.

Diagnostic Techniques for Carotid Body Tumors

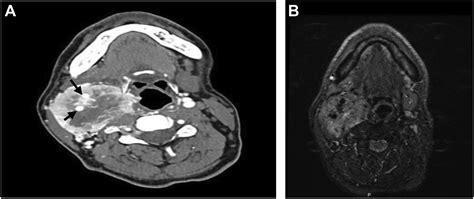
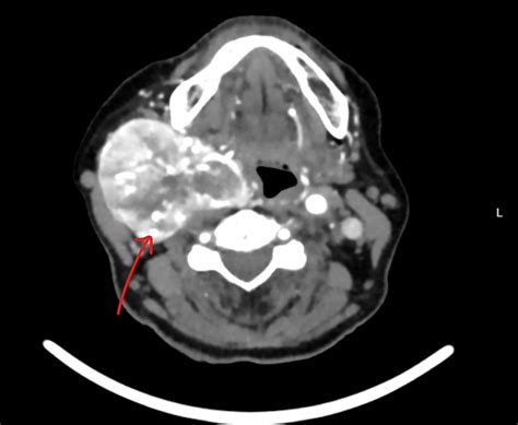
Diagnosing a Carotid Body Tumor requires a combination of physical examination and advanced imaging studies. When a physician suspects such a growth, they typically use specific diagnostic tools to differentiate it from enlarged lymph nodes or other neck masses. The “Lyre sign,” seen on imaging, is a classic finding where the internal and external carotid arteries are splayed apart by the tumor mass.

Diagnostic Tool Purpose
Ultrasound (Doppler) To visualize the mass and evaluate the vascularity and blood flow patterns.
CT Angiography (CTA) Provides detailed views of the tumor's size and its relationship to major arteries.
Magnetic Resonance Imaging (MRI) Offers excellent soft-tissue contrast to identify involvement of nerves.
Catheter Angiography The "gold standard" for identifying the blood supply and planning potential embolization.

⚠️ Note: Biopsy of a suspected Carotid Body Tumor is generally avoided because these tumors are highly vascular, and an invasive procedure could lead to severe, uncontrollable bleeding.

Treatment Pathways: Surgery and Alternatives

The primary treatment for a Carotid Body Tumor is surgical resection. Due to the high vascularity of the tumor, surgeons often perform preoperative embolization, which involves injecting a substance into the tumor’s blood vessels to block the supply. This step significantly reduces the risk of excessive bleeding during the main operation.

Modern surgical techniques, including robotic-assisted or minimally invasive approaches, have improved outcomes significantly. The goal of surgery is complete excision of the tumor while preserving the integrity of the carotid arteries and the nearby cranial nerves. For patients who are not candidates for surgery—due to advanced age, poor health, or the tumor being too intertwined with vital structures—radiation therapy may be considered. Radiation does not usually remove the tumor but can effectively halt its growth and manage the condition over time.

Post-Operative Recovery and Monitoring

Following the removal of a Carotid Body Tumor, patients typically require a period of observation in the hospital to monitor for any delayed complications. Possible post-operative challenges may include temporary nerve weakness, such as difficulty swallowing or a hoarse voice, which often resolve with time and speech therapy.

Long-term surveillance is essential. Patients are typically followed with periodic imaging (like annual MRIs or ultrasounds) to ensure there is no recurrence. Because there is a hereditary component in approximately 10-30% of cases—often linked to genetic mutations—patients may be referred for genetic counseling, especially if they have a family history of paragangliomas or other endocrine tumors.

Living with the Condition

Living with a diagnosis of a Carotid Body Tumor can be stressful, but the prognosis for most patients is excellent when treated by a multidisciplinary team. Specialists such as head and neck surgeons, vascular surgeons, and neurosurgeons often work in concert to manage these complex cases. Patients are encouraged to maintain open communication with their healthcare team regarding any new or worsening symptoms, such as changes in speech, vision, or swallowing, to ensure prompt intervention.

💡 Note: Early detection is paramount. If you notice an unexplained, pulsatile lump in your neck, consult an otolaryngologist or a vascular specialist immediately for a professional evaluation.

Managing this condition effectively hinges on early detection and a carefully planned therapeutic approach. Because these growths involve critical structures in the neck, they require specialized surgical expertise to minimize the risks of nerve injury and vascular complications. Whether the chosen path is surgery or radiation management, current medical advancements offer high rates of success and long-term stability for most individuals diagnosed with a paraganglioma. By staying informed about the symptoms and maintaining regular follow-up appointments, patients can effectively manage the condition and maintain a high quality of life. Ongoing research into the genetic markers of these tumors continues to pave the way for more personalized care strategies in the years ahead.

Related Terms:

  • carotid body tumor icd 10
  • carotid body tumor radiology
  • paraganglioma carotid body tumor
  • carotid body tumor symptoms
  • carotid body tumor pathology
  • carotid body tumor ultrasound images