Cleve

Carpal Boss Treatment

Carpal Boss Treatment

If you have noticed a hard, bony lump on the back of your hand, specifically near the base of your index or middle finger, you might be dealing with a condition known as a carpal boss. While often mistaken for a ganglion cyst, a carpal boss is actually an overgrowth of bone. Understanding the nuances of Carpal Boss Treatment is essential for managing the discomfort and potential functional limitations this condition can cause. Because the symptoms can mimic other wrist issues, getting a professional diagnosis is the first step toward reclaiming comfort in your daily activities.

What Exactly Is a Carpal Boss?

Close up of a hand showing potential wrist area for carpal boss

A carpal boss is essentially a bony prominence or exostosis that occurs at the carpometacarpal (CMC) joints. Unlike a ganglion cyst, which is fluid-filled and potentially soft or squishy, a carpal boss is rigid and immovable because it is fixed to the underlying bone. It typically forms due to chronic stress on the joints, degenerative changes, or previous trauma to the hand.

Most individuals discover the boss when they notice a bump that does not go away. While it may remain asymptomatic for years, it can become painful, especially when you apply pressure to the back of the hand or perform activities that require repetitive wrist extension. Effective Carpal Boss Treatment often focuses on symptom management, though surgery remains an option for those experiencing chronic pain.

Diagnostic Procedures for Your Hand

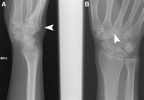
To determine if your bump requires medical intervention, a hand specialist will usually perform a physical examination and imaging. Diagnosing a carpal boss typically involves:

  • Physical Examination: Testing the range of motion and checking for tenderness directly over the bony prominence.
  • X-ray Imaging: This is the gold standard for confirmation. An X-ray will clearly show the bony overgrowth at the CMC joints, distinguishing it from a soft-tissue cyst.
  • Differential Diagnosis: Your doctor will rule out other conditions such as arthritis, lipomas, or ganglion cysts.

Effective Conservative Carpal Boss Treatment Options

In many cases, surgery is not the first line of defense. Physicians often suggest non-invasive methods to alleviate pain and inflammation. The goal of conservative Carpal Boss Treatment is to reduce irritation and allow the soft tissues around the bone to heal.

Method Description
Activity Modification Avoiding repetitive motions or sports that place excessive pressure on the back of the hand.
Splinting Using a wrist brace to immobilize the joint, which can reduce inflammation and prevent further irritation.
NSAIDs Over-the-counter anti-inflammatory medications like ibuprofen to help manage pain and swelling.
Corticosteroid Injections Localized injections to reduce inflammation around the boss, providing temporary relief.

💡 Note: Always consult with a certified medical professional before starting any new medication or splinting regimen, as incorrect usage may lead to muscle stiffness or joint dependency.

Surgical Intervention: When is it Necessary?

Medical professional examining a hand in a clinic

If conservative treatments fail to provide relief and the boss continues to interfere with your quality of life, surgical removal may be recommended. The procedure, known as a carpal boss excision, involves removing the bony prominence to smooth out the surface of the bone. This surgery is generally performed on an outpatient basis.

After the procedure, patients typically undergo a period of rehabilitation. Physical therapy is often required to regain full wrist strength and range of motion. Following the surgeon’s post-operative instructions is vital to ensure proper healing and to prevent the recurrence of the bony overgrowth.

Preventative Care and Lifestyle Adjustments

While you cannot always prevent the development of a carpal boss, you can manage the impact it has on your hand health. If you are prone to wrist stress due to your occupation or hobbies, consider the following:

  • Ergonomics: Ensure your workspace is set up to minimize wrist strain, especially for computer-related tasks.
  • Warm-up Exercises: Incorporate gentle wrist stretches before engaging in strenuous hand-based activities.
  • Listen to Your Body: If you feel localized pain or tenderness, rest your wrist immediately rather than pushing through the discomfort.

Living with a Carpal Boss

Living with a carpal boss does not necessarily mean you have to deal with constant pain. Many people go through life with this condition and experience minimal disruption. By staying informed about Carpal Boss Treatment, you can recognize when professional help is needed versus when you can manage symptoms at home. Maintaining good joint health through mobility exercises and being mindful of repetitive strain can significantly improve your long-term outlook. If the bump changes in size rapidly or becomes increasingly painful, do not hesitate to contact a hand specialist to discuss your options for relief.

Related Terms:

  • carpal boss wrist treatment
  • carpal boss x ray
  • carpal boss removal
  • carpal boss treatment at home
  • carpal boss wrist
  • carpal boss hand