Cleve

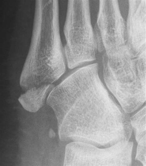
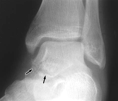
Cast For Avulsion Fracture

Cast For Avulsion Fracture

When you experience a sudden, sharp pain in a joint followed by swelling, you might be dealing with an avulsion fracture. This injury occurs when a small chunk of bone attached to a tendon or ligament gets pulled away from the main part of the bone. Unlike a typical break, this injury involves the soft tissue putting enough tension on the bone to cause a fracture at the attachment site. One of the most common treatments recommended by orthopedists is a cast for avulsion fracture, which serves to immobilize the affected area, allowing the bone to knit back together without the stress of daily movement.

Understanding the Mechanics of an Avulsion Fracture

Avulsion fractures are frequently seen in athletes, particularly those involved in sports requiring sudden changes in direction or explosive power. Common sites for these injuries include the ankle, hip, finger, and base of the fifth metatarsal in the foot. When a muscle contracts forcefully, it can pull on its tendon, and if the force is excessive, the bone simply gives way. Because the movement of tendons is constant, the primary goal of medical intervention is complete restriction. Using a cast for avulsion fracture ensures that the tendon does not pull the bone fragment further out of alignment while the healing process begins.

The severity of the injury often dictates the type of immobilization required. While some minor fractures may only need a walking boot or a splint, significant fractures usually necessitate a traditional plaster or fiberglass cast to ensure strict non-weight-bearing status. Failure to properly immobilize the site can lead to non-union or malunion of the bone fragment, which may eventually require surgical intervention.

The Role of Immobilization in Bone Healing

The primary purpose of a cast for avulsion fracture is stability. Bone tissue requires a static environment to facilitate the formation of a callus, which acts as a bridge between the fractured pieces. If the area remains mobile, the constant tension from attached muscles will keep the bone gap open, preventing healing.

Key benefits of using a cast include:

  • Reduced Pain: By preventing micro-movements of the bone fragments, the cast helps minimize the irritation of surrounding nerves and soft tissues.
  • Prevention of Displacement: It keeps the bone in its natural anatomical position, preventing the fragment from drifting away.
  • Soft Tissue Protection: It protects the area from accidental bumps or knocks during the early stages of recovery.
  • Clear Recovery Timeline: It acts as a physical reminder for the patient to remain cautious and follow weight-bearing restrictions.

Common Sites and Casting Requirements

Different parts of the body require specific approaches when applying a cast. Below is a comparison table showing how different locations might be handled during the recovery phase:

Fracture Location Common Treatment Immobilization Goal
Fifth Metatarsal Short Leg Cast Prevent weight-bearing pressure
Ankle (Malleolar) Fiberglass/Plaster Cast Restrict joint rotation and inversion
Finger (Boutonnière/Mallet) Finger Splint or Cast Prevent tendon extension pull
Hip/Pelvis Bed rest / Hip Spica Limit hip abductor tension

⚠️ Note: Always consult with a medical professional before deciding on home remedies. Improper casting can lead to circulation issues or muscle atrophy if not applied correctly by a certified orthopedic technician.

Life with a Cast for Avulsion Fracture

Adapting to life while wearing a cast for avulsion fracture requires patience and careful management. During the first few weeks, swelling is common. Keeping the injured limb elevated above the level of the heart is critical to reducing inflammation. Furthermore, keeping the cast clean and dry is vital; moisture trapped under the cast can lead to skin irritation or even bacterial infections.

Patients should also be mindful of the following daily practices:

  • Avoid inserting objects: Never stick knitting needles or hangers inside the cast to scratch an itch, as this can break the skin and cause a serious infection.
  • Monitor circulation: Check your toes or fingers for changes in color, temperature, or numbness. If your extremities turn blue or become freezing cold, seek medical help immediately.
  • Hygiene: Use a hairdryer on a cool setting if the inside of the cast feels damp or sweaty.
  • Muscle maintenance: If cleared by your doctor, perform isometric exercises or range-of-motion movements for joints not covered by the cast to maintain circulation.

When is Surgery Necessary?

While a cast for avulsion fracture is the standard non-invasive treatment, it is not always a permanent solution. If the avulsed fragment is significantly displaced—usually more than 1 to 2 centimeters—a cast may not be enough to hold the bone in the right place. In these instances, surgeons may use screws, pins, or wires to fix the bone fragment back to the original site. Even after surgery, a cast is often still used for a few weeks to provide the necessary support while the hardware integrates with the bone.

💡 Note: A follow-up X-ray is standard practice after 2 to 4 weeks to ensure the bone is setting correctly within the cast. Never skip these appointments, as the alignment of the fragment can shift unnoticed.

Transitioning to Rehabilitation

Once the healthcare provider determines that the bone has sufficiently healed, the cast will be removed. However, the end of casting is not the end of the journey. The muscles attached to the affected area will likely have weakened during the period of immobility. Physical therapy becomes the essential next step to restore strength, flexibility, and range of motion.

During the rehabilitation phase, you should focus on:

  • Gradual Loading: Slowly introducing weight back onto the limb as advised by your physical therapist.
  • Strengthening Exercises: Targeted resistance training to rebuild the muscles that pulled the bone during the initial injury.
  • Proprioceptive Training: Exercises that help the body relearn balance, especially important for foot and ankle fractures.
  • Flexibility Work: Stretching to ensure that scar tissue does not limit the normal movement of tendons.

Successfully recovering from an avulsion fracture requires a balance between strict immobilization and progressive rehabilitation. By utilizing a cast for avulsion fracture as the foundational step, you provide your body with the stability it needs to heal the fractured bone fragment. Following your orthopedic specialist’s guidance on weight-bearing, maintaining the integrity of the cast, and transitioning diligently into physical therapy will help you regain your mobility and prevent future complications. Healing is a gradual process, but with the right care, you can ensure the bone repairs itself fully, allowing you to return to your normal daily activities and athletic pursuits with confidence.

Related Terms:

  • avulsion fracture in ankle
  • medical treatment for avulsion fracture
  • avulsion fracture symptoms
  • what causes an avulsion fracture
  • avulsion fracture pain
  • avulsion fracture healing process