Rp

Cat Scan Brain Aneurysm

Cat Scan Brain Aneurysm

Discovering that you or a loved one needs a neurological examination can be an overwhelming experience. When doctors suspect a vascular abnormality, a Cat Scan brain aneurysm assessment often becomes the gold standard for immediate diagnosis. An aneurysm is essentially a "ballooning" or weakening of an arterial wall in the brain, which can lead to life-threatening complications if it ruptures. Understanding how medical professionals use advanced imaging to detect these anomalies is vital for patient advocacy and peace of mind.

Understanding the Role of CT Scans in Aneurysm Detection

Medical imaging technology

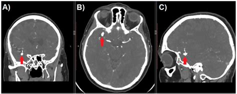
A computed tomography (CT) scan is a non-invasive diagnostic tool that uses X-rays and computer processing to create detailed cross-sectional images of your brain. When a physician orders a Cat Scan brain aneurysm screening, they are looking for specific indicators of blood vessel distress. In many emergency scenarios, such as the sudden onset of a “thunderclap” headache, a non-contrast CT scan is the first line of defense to rule out acute bleeding, known as a subarachnoid hemorrhage.

While a standard CT scan is excellent for identifying active bleeding, a CT Angiography (CTA) is typically required to visualize the actual anatomy of the aneurysm. By injecting a contrast dye into the bloodstream, radiologists can map the arteries of the brain with high precision. This allows them to see the size, shape, and exact location of a potential aneurysm, which is essential for determining the best course of treatment.

Common Symptoms That Lead to Testing

Most small brain aneurysms remain asymptomatic and may only be discovered incidentally during imaging for other conditions. However, when an aneurysm presses on nearby nerves or begins to leak, specific symptoms may manifest. If you experience these red flags, medical professionals may prioritize a Cat Scan brain aneurysm protocol:

  • Sudden, severe headache: Often described as the “worst headache of your life.”
  • Vision changes: Including double vision or sudden loss of sight.
  • Neurological deficits: Numbness, weakness on one side of the body, or difficulty speaking.
  • Seizures: Unexplained neurological activity that deviates from your norm.
  • Stiff neck: Often accompanied by sensitivity to light (photophobia).

Comparison of Diagnostic Imaging Modalities

It is helpful to understand how a CT scan stacks up against other imaging technologies. While the Cat Scan brain aneurysm protocol is frequently used due to its speed and availability, other tests may provide additional clarity.

Imaging Type Primary Use Key Advantage
Non-Contrast CT Emergency bleed detection Extremely fast; ideal for acute trauma
CT Angiography (CTA) Detailed vascular mapping High-resolution images of vessel walls
Magnetic Resonance Angiography (MRA) Non-invasive screening No radiation exposure involved
Digital Subtraction Angiography (DSA) Gold standard for treatment planning Real-time invasive vascular navigation

⚠️ Note: Always consult with your neurologist or neurosurgeon regarding which test is appropriate for your specific health history, as each modality carries different levels of risk regarding contrast dyes and radiation.

Preparing for Your Imaging Appointment

If you have been scheduled for a CTA, the preparation is relatively straightforward but requires attention to detail. Since the procedure involves a contrast agent, your medical team will need to ensure your kidneys are functioning optimally to process the dye.

  • Fasting: You may be asked to avoid eating or drinking for several hours before the scan to minimize the risk of nausea from the contrast dye.
  • Medication Review: Inform your doctor of all current medications, especially if you take drugs for diabetes, such as metformin, as these may need to be paused.
  • Allergy Reporting: If you have ever had an adverse reaction to iodine-based contrast, you must inform the radiology staff immediately.
  • Clothing: Wear comfortable, loose-fitting clothing without metal fasteners, as metal can interfere with image clarity.

What to Expect During the Procedure

The Cat Scan brain aneurysm process is generally quick, usually lasting between 15 and 30 minutes. You will lie on a motorized table that slides into the doughnut-shaped scanner. During the CTA portion, you will feel a warm sensation as the contrast dye is injected through an intravenous (IV) line. It is vital to remain perfectly still, as even minor movements can result in “blurring” of the images, potentially leading to inaccurate results.

💡 Note: While the scanner makes some mechanical noises during the process, communication lines are always open so that the technician can hear you and provide instructions throughout the test.

Interpreting the Findings and Next Steps

Once the scan is complete, a radiologist analyzes the images to look for any abnormalities in the cerebral vasculature. If an aneurysm is identified, the report will detail its size and morphology. Smaller aneurysms are often managed through “watchful waiting” and strict blood pressure control, whereas larger or more complex aneurysms may require surgical intervention, such as clipping or endovascular coiling.

Understanding the results is a collaborative process. Your neurosurgeon will look at the imaging and discuss the risks associated with leaving the aneurysm untreated versus the risks of surgical or endovascular procedures. Having your questions ready for this consultation—such as asking about the size of the aneurysm and the risk of rupture—is a proactive step in managing your neurological health.

Managing the health of your brain vasculature requires vigilance and professional guidance. Whether you are undergoing a screening due to a family history or investigating new symptoms, the use of modern imaging allows for precise detection and effective management of arterial health. By staying informed about the Cat Scan brain aneurysm protocols and communicating openly with your medical team, you are taking the best possible approach to protecting your well-being. Early detection remains one of the most effective strategies for preventing long-term complications, ensuring that you can continue living a full and active life with the confidence that your health is being monitored by the best tools available.

Related Terms:

  • Brain Aneurysm CT Scan
  • Brain Aneurysm MRI Scan
  • Early Symptoms of Brain Aneurysm
  • Brain Aneurysm Recovery
  • Types of Brain Aneurysm
  • Angiogram Brain Aneurysm