Rp

Cavitary Lesion Of Lung

Cavitary Lesion Of Lung

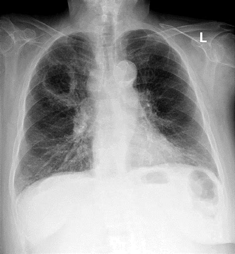
A cavitary lesion of lung is a significant radiological finding that requires careful medical evaluation. In clinical terms, a cavity is defined as a gas-filled space within a pulmonary consolidation, a mass, or a nodule. When a patient undergoes a chest X-ray or a computed tomography (CT) scan and receives this diagnosis, it often triggers immediate concern. However, understanding that these lesions can result from a wide spectrum of causes—ranging from common infections to serious malignancies—is crucial for both patients and healthcare providers to ensure accurate diagnosis and appropriate management.

Understanding the Nature of Cavitary Lung Lesions

At its core, a cavitary lesion of lung represents a localized area of the lung parenchyma that has been destroyed or excavated. This destruction often occurs when an area of diseased lung tissue undergoes necrosis—the death of cells—and the necrotic material is subsequently evacuated, usually through the bronchial tree. This leaves behind a hollow, air-filled void that appears distinctly on medical imaging.

Because the lung is highly vascularized and constantly exposed to environmental pathogens, it is susceptible to various insults that can cause tissue death. Identifying the precise cause is essential, as the treatment strategy varies dramatically depending on the underlying pathology. For instance, a cavity caused by a bacterial infection requires a different therapeutic approach than one caused by a primary lung tumor or an autoimmune condition.

Common Causes and Differential Diagnosis

The differential diagnosis for a cavitary lesion of lung is broad. Clinicians typically use the "CAVITY" mnemonic or similar frameworks to categorize potential causes. These causes are generally grouped into infectious, malignant, and inflammatory or structural origins.

Infectious Etiologies

Infections are perhaps the most frequent cause of cavitary lung disease. These occur when microorganisms proliferate, causing localized tissue necrosis and subsequent cavitation.

  • Mycobacterial Infections: Tuberculosis (TB) remains a leading global cause of cavitary lesions, especially in the upper lobes of the lungs.
  • Pyogenic Abscesses: Bacterial pneumonia caused by pathogens like Staphylococcus aureus or gram-negative bacteria can progress to lung abscesses.
  • Fungal Infections: Fungi such as Aspergillus, Histoplasma, or Cryptococcus can form cavitary lesions, particularly in immunocompromised individuals.
  • Parasitic Infections: Although rarer in many regions, some parasites can cause cavitary-like cystic lesions in the lung.

Malignant Etiologies

While infections are common, it is critical to rule out malignancy in any patient presenting with a cavitary lesion of lung. Primary lung cancers, particularly squamous cell carcinomas, are notorious for developing central necrosis, which manifests as a cavity on imaging.

  • Squamous Cell Carcinoma: The most common malignancy associated with cavitation.
  • Adenocarcinoma: Can also present with cavitation, though less frequently than squamous cell type.
  • Metastatic Disease: Metastases from other primary sites, such as head and neck cancers or gastrointestinal tumors, can occasionally cavitate in the lungs.

Inflammatory and Autoimmune Causes

Certain systemic diseases involve inflammation of the blood vessels (vasculitis) or autoimmune reactions that lead to tissue destruction in the lungs.

  • Granulomatosis with Polyangiitis (Wegener’s): This autoimmune vasculitis frequently presents with multiple cavitary nodules in the lungs.
  • Rheumatoid Arthritis: Rheumatoid nodules in the lung can occasionally cavitate.
  • Sarcoidosis: While less common, sarcoidosis can sometimes lead to cystic changes that resemble cavitary lesions.

Clinical Evaluation and Diagnostic Approaches

When a physician identifies a cavitary lesion of lung on imaging, they will typically initiate a systematic investigation to determine the etiology. The process often involves a blend of history taking, physical examination, laboratory testing, and advanced imaging or biopsy.

Category Diagnostic Tool Purpose
Imaging High-Resolution CT Scan Details wall thickness, location, and presence of air-fluid levels.
Laboratory Sputum Culture/AFB Smear Tests for tuberculosis and common bacterial pathogens.
Invasive Bronchoscopy/Biopsy Used to obtain tissue for histology and culture.
Blood Work Serology/Autoimmune markers Checks for indicators of vasculitis or systemic inflammation.

💡 Note: Always consult with a pulmonologist or a thoracic specialist if a cavitary lesion is detected. Timely intervention is crucial, as delayed diagnosis of malignant or severe infectious causes can significantly impact patient outcomes.

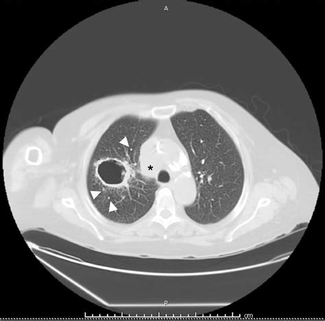
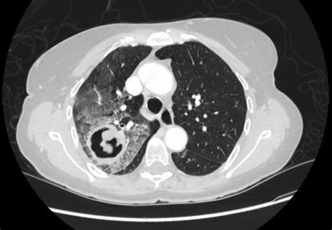
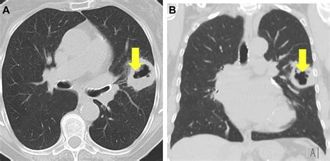
Distinguishing Features on Imaging

Radiologists look for specific markers to help narrow down the diagnosis. The appearance of the cavity's wall, for instance, provides vital clues:

  • Thick, Irregular Walls: These are more suggestive of malignancy (e.g., squamous cell carcinoma).
  • Thin, Smooth Walls: Often point toward benign causes, such as a congenital cyst or a resolved infection (pneumatocele).
  • Air-Fluid Levels: Highly indicative of a lung abscess, suggesting a collection of pus that has not yet been fully drained.

Management and Therapeutic Strategies

Treatment for a cavitary lesion of lung is entirely dependent on the underlying diagnosis. There is no "one-size-fits-all" approach because the pathophysiology is so varied.

If the cause is infectious, the patient will receive targeted antimicrobial therapy. For example, tuberculosis requires a prolonged regimen of multiple antibiotics, while a bacterial abscess might require intravenous antibiotics and, in rare instances, percutaneous drainage. If the etiology is malignant, the management plan may involve surgical resection, chemotherapy, radiation therapy, or a combination of these, depending on the stage and type of cancer.

💡 Note: If you have been diagnosed with a lung cavity, avoid smoking immediately. Smoking impairs lung healing and can exacerbate the underlying conditions that lead to tissue necrosis.

Ultimately, detecting a cavitary lesion of lung is a signal that your lungs are undergoing significant structural changes. Because the potential causes range from highly treatable infections to life-threatening malignancies, it is imperative to undergo a thorough medical investigation. Early detection, accurate diagnosis, and prompt initiation of appropriate treatment are the cornerstones of managing these lesions successfully. Always prioritize follow-up appointments and adhere to the guidance of your multidisciplinary medical team to navigate the diagnostic process effectively.

Related Terms:

  • cavitary lesion of lung treatment
  • cavitary lesion of lung tb
  • cavitary lesion of lung differential
  • cavitary lesion of lung causes
  • cavitary lung lesion prognosis
  • cavitary lesion of lung meaning