Cleve

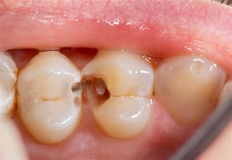
Cavity On Side Of Tooth

Cavity On Side Of Tooth

Discovering a cavity on side of tooth can be an alarming experience, often characterized by a sudden sensitivity or the feeling of an irregular surface when you run your tongue along your gum line. Unlike cavities that form on the chewing surfaces of your molars, these lesions—medically known as proximal or cervical caries—often develop in the narrow spaces between teeth or near the delicate margin where the tooth meets the gum. Because these areas are difficult to reach with standard brushing, they can progress silently, eventually leading to discomfort, pain, or even structural compromise of the tooth. Understanding why these cavities occur and how to address them is essential for maintaining your oral health and preventing more invasive dental procedures down the road.

Understanding the Causes of Side Cavities

Dental checkup illustration

A cavity on side of tooth typically originates from a combination of poor hygiene in tight spaces and lifestyle factors. When food particles and plaque remain trapped between teeth for extended periods, the bacteria within that plaque produce acids. These acids demineralize the tooth enamel, eventually creating a hole. Several factors contribute to this specific type of decay:

  • Inadequate Flossing: Traditional toothbrushes cannot reach the interproximal spaces (the areas between teeth). Without daily flossing or interdental cleaning, plaque accumulates undisturbed.
  • Dry Mouth (Xerostomia): Saliva plays a critical role in neutralizing acids and remineralizing enamel. If you suffer from dry mouth due to medication or dehydration, your teeth lose this natural defense mechanism.
  • Gum Recession: As gums recede, the root surface of the tooth—which lacks the protective, hard enamel—becomes exposed. This area is highly susceptible to decay.
  • High Sugar Intake: Consuming frequent sugary snacks or acidic drinks creates a constant supply of fuel for bacteria to thrive.

Identifying Symptoms Early

Early detection is the most effective way to avoid expensive and painful restorative treatments. A cavity on side of tooth may not always cause immediate pain, but it often sends subtle warning signals. You should be vigilant if you notice any of the following:

  • Sensitivity: Sharp, brief pain when consuming cold, hot, or sugary foods or beverages.
  • Food Impaction: A persistent feeling that food is getting stuck in the same spot between two teeth.
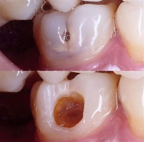
  • Visible Discoloration: A white, brown, or black spot appearing near the gum line or on the side surface of the tooth.
  • Rough Texture: Detecting a pitted or irregular area when feeling the tooth with your tongue or dental floss.
  • Floss Snagging: If your dental floss consistently shreds or catches in one specific area, it is often a sign of a rough cavity edge or an overhanging dental restoration.

Comparison of Cavity Types

Understanding where a cavity is located helps in assessing the urgency and the type of treatment required. The following table provides a quick reference to distinguish between common cavity locations.

Cavity Type Location Difficulty of Detection
Occlusal Chewing surface (pits and fissures) Low (visible)
Proximal Between teeth High (requires X-ray)
Cervical Near the gum line Medium (often visible)
Root Exposed tooth root Medium (requires checkup)

💡 Note: Professional dental X-rays are the gold standard for identifying a cavity on side of tooth that is situated between two teeth, as these are often invisible to the naked eye during a standard mirror examination.

Professional Treatment Options

If your dentist confirms the presence of a cavity, the treatment approach will depend on the depth and extent of the decay. For a cavity on side of tooth, standard options include:

  • Dental Fillings: For smaller cavities, dentists use composite resin (tooth-colored material) to fill the hole and restore the tooth’s shape.
  • Onlays or Inlays: If the decay is too large for a simple filling but does not require a full crown, a custom-made porcelain piece may be fitted to the side of the tooth.
  • Dental Crowns: If the cavity has compromised a significant portion of the tooth structure, a crown will cover the entire visible portion of the tooth to protect it from further damage.
  • Fluoride Treatments: In cases of very early-stage “decalcification” (where the enamel is weakened but no hole has formed), professional fluoride applications or prescribed high-fluoride toothpaste can help remineralize the surface.

Preventing Future Decay

Maintaining a proactive oral hygiene routine is the most effective way to prevent a cavity on side of tooth from recurring. Consider these preventative habits:

  • Mastering Floss Technique: Ensure you are curving the floss around the side of each tooth in a “C” shape rather than just snapping it in and out.
  • Use Interdental Brushes: These small brushes are often more effective than floss for people with wider gaps between their teeth or those with dental bridges.
  • Hydration: Drink plenty of water throughout the day to stimulate saliva production.
  • Consistent Checkups: Visiting your dentist every six months allows for professional cleaning and early detection via digital radiography.
  • Use Fluoridated Products: Fluoride strengthens tooth enamel against acid attacks, making it harder for cavities to gain a foothold.

💡 Note: If you have a permanent retainer, be extra diligent with threading floss under the wire, as this is a common "hot spot" for plaque accumulation that can lead to cavities on the inner sides of your front teeth.

Final Thoughts

Addressing a cavity on side of tooth as soon as you notice symptoms is the best way to preserve your natural smile and avoid more extensive dental work. While the prospect of a dental procedure might feel daunting, modern dentistry offers minimally invasive options that can restore your tooth to its full function and aesthetic appearance. By staying consistent with flossing, maintaining a healthy diet, and keeping up with regular professional examinations, you can significantly reduce the risk of future decay. Prioritizing your oral hygiene today will ensure that those small issues don’t develop into major health concerns later on, keeping your teeth strong and your smile healthy for years to come.

Related Terms:

  • cavity on outside of tooth
  • cavity on bottom tooth
  • are cavities permanent
  • cavity on side of molar
  • deep cavity in molar
  • cause of cavities in adults