Rp

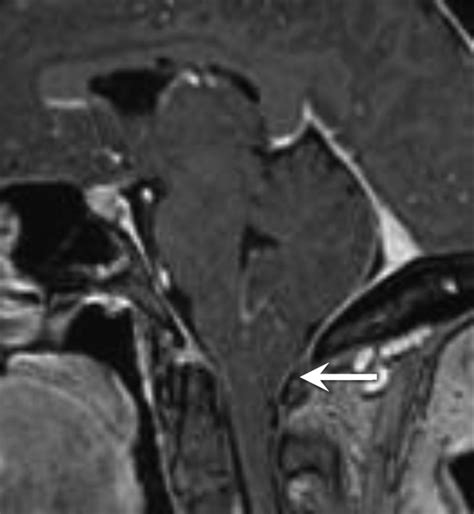
Cerebellar Tonsillar Ectopia

Cerebellar Tonsillar Ectopia

The human brain is a marvel of biological engineering, resting securely within the skull and balanced atop the spinal column. One of the critical structures located at the base of the skull is the cerebellum, the portion of the brain responsible for coordination, precision, and balance. Occasionally, anatomical variations occur where these structures do not remain in their intended positions. This condition is known as Cerebellar Tonsillar Ectopia. When the cerebellar tonsils—the lower parts of the cerebellum—extend downward through the opening at the base of the skull called the foramen magnum, they can compress surrounding tissues and disrupt the normal flow of cerebrospinal fluid (CSF). Understanding this condition is essential for patients, caregivers, and medical professionals to manage symptoms effectively and improve quality of life.

What is Cerebellar Tonsillar Ectopia?

At its core, Cerebellar Tonsillar Ectopia describes the displacement of the cerebellar tonsils into the upper spinal canal. While often used interchangeably with Chiari malformation, it is important to note that the term "ectopia" typically refers to the physical descent of these structures. In many cases, this descent is identified incidentally during imaging studies like an MRI, performed for unrelated reasons such as persistent headaches or neck pain.

The primary concern with this condition is the crowding of the space at the base of the skull. Because the foramen magnum is a rigid, bony ring, any structure occupying space that should be reserved for fluid flow can lead to increased intracranial pressure. The degree of displacement is usually measured in millimeters, and while not every patient with this condition experiences debilitating symptoms, those who do often report complex neurological challenges.

Common Symptoms and Clinical Presentation

The symptoms associated with Cerebellar Tonsillar Ectopia are highly variable. Because the cerebellum is involved in motor control and the area near the brainstem handles vital autonomic functions, the range of clinical indicators is broad. Many individuals may remain asymptomatic, while others struggle with chronic discomfort.

  • Headaches: Often described as a "valsalva-induced" headache, triggered by coughing, sneezing, or straining.
  • Neck and Shoulder Pain: Persistent stiffness or deep aches in the upper back and neck region.
  • Dizziness and Vertigo: Difficulty with balance, unsteadiness while walking, or a sensation of spinning.
  • Visual Disturbances: Blurred vision, light sensitivity, or nystagmus (involuntary eye movement).
  • Sensory Issues: Numbness, tingling, or "pins and needles" sensations in the hands and feet.
  • Sleep Apnea: Disrupted breathing patterns, particularly during sleep.

⚠️ Note: Symptoms can fluctuate based on physical activity levels and posture. If you experience sudden, severe neurological deficits, seek immediate medical attention.

Diagnostic Approaches

To confirm the presence of Cerebellar Tonsillar Ectopia, physicians rely heavily on high-resolution imaging. The diagnostic process is essential for differentiating between simple ectopia and other structural pathologies. The following table summarizes the primary tools used in evaluation:

Diagnostic Tool Purpose
Magnetic Resonance Imaging (MRI) Gold standard for visualizing the brain and spinal cord structure.
Cine Flow MRI Analyzes the velocity and volume of cerebrospinal fluid (CSF) flow.
Neurological Exam Assesses reflexes, motor coordination, and sensory processing.
CT Scan Examines the bony anatomy of the cranium and cervical spine.

Understanding the Role of Cerebrospinal Fluid

The flow of cerebrospinal fluid is the "pulse" of the central nervous system. It acts as a shock absorber and clears waste products from the brain. In patients with Cerebellar Tonsillar Ectopia, the displaced tonsils may partially obstruct the narrow space where the CSF exits the skull. This blockage can create a bottleneck effect, leading to pressure buildup. When the fluid cannot circulate freely, it may lead to the formation of a syrinx—a fluid-filled cyst within the spinal cord—which can cause further neurological damage if left unaddressed.

Management and Treatment Options

Not every case of Cerebellar Tonsillar Ectopia requires surgical intervention. For many, a "watch and wait" approach combined with symptom management is sufficient. However, for those with progressive neurological decline or significant pain, treatment becomes necessary.

Conservative Management

This includes physical therapy to improve neck stability, pain management medications for headaches, and monitoring via periodic MRIs. Lifestyle modifications, such as avoiding activities that involve heavy lifting or intense straining, can also help minimize pressure spikes.

Surgical Intervention

When conservative measures fail to provide relief, a procedure known as a posterior fossa decompression may be recommended. During this surgery, the surgeon removes a small piece of bone at the back of the skull (and sometimes the top of the first cervical vertebra) to create more room for the cerebellum and restore normal CSF flow. This helps alleviate the pressure and allows the brain to function without the constant constraint of the bony environment.

💡 Note: Surgical outcomes are typically best when the patient is monitored by a multidisciplinary team involving neurologists and neurosurgeons specializing in cranio-cervical junction disorders.

Living with the Condition

Living with Cerebellar Tonsillar Ectopia often requires a proactive approach to health. Patients are encouraged to track their symptoms in a diary to identify specific triggers. Maintaining good posture and engaging in gentle neck-strengthening exercises (as prescribed by a physical therapist) can often stabilize the cervical spine and reduce the intensity of symptoms. Education is the most powerful tool in the patient's arsenal, as understanding the mechanical nature of the condition helps in communicating effectively with healthcare providers.

While the prospect of a neurological condition can be daunting, the current understanding of Cerebellar Tonsillar Ectopia has significantly improved. By focusing on early identification through advanced imaging and personalized management strategies, many individuals successfully mitigate their symptoms and maintain an active lifestyle. Whether through conservative observation or specialized surgical decompression, the primary goal remains the restoration of neurological function and the improvement of daily comfort. Ongoing research continues to shed light on why these structural variations occur, offering hope for even more precise, non-invasive therapeutic techniques in the future. If you suspect you or a loved one may be affected, consulting with a neurosurgeon who specializes in the cranio-cervical junction is the most effective step toward finding a path forward.

Related Terms:

  • cerebellar tonsillar ectopia treatment
  • cerebellar tonsillar ectopia radiopaedia
  • cerebellar tonsil
  • low lying cerebellar tonsils radiopaedia
  • mild cerebellar tonsillar ectopia
  • cerebellar tonsillar ectopia management