Cleve

Charcot Arthropathy Foot

Charcot Arthropathy Foot

Living with diabetes brings numerous health considerations, but few are as potentially life-altering as the development of Charcot Arthropathy Foot. Often referred to as "Charcot foot," this condition is a serious complication that affects the bones, joints, and soft tissues of the foot and ankle. It occurs most commonly in individuals with nerve damage, medically known as peripheral neuropathy. When the nerves in the feet are damaged, the sensation of pain or injury is dulled or lost, allowing a person to continue walking on a foot that may already be fractured or stressed, leading to severe deformity and, if left untreated, potential amputation.

Understanding the Mechanics of Charcot Foot

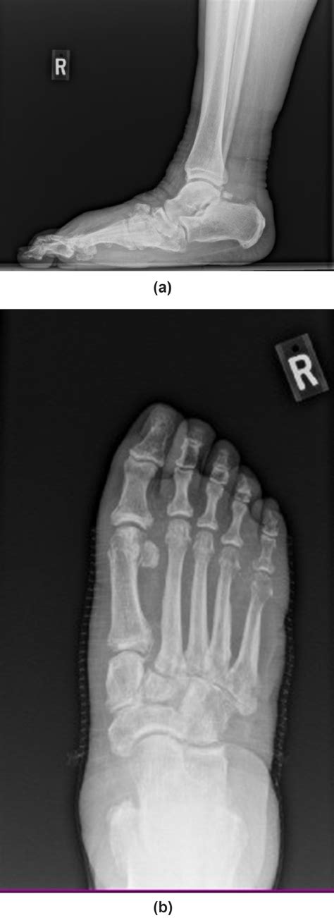
At its core, Charcot Arthropathy Foot is a progressive condition. Because the patient cannot feel the micro-traumas caused by everyday movement, the joints begin to weaken and collapse. The bones may fracture, shift, or even dislocate, causing the foot to lose its natural arch and shape. In the medical community, this is frequently described as a "rocker-bottom" deformity, where the middle of the foot drops, creating a convex shape on the sole.

The progression usually happens in three distinct stages:

  • Acute (Active) Phase: The foot becomes red, hot, and swollen. This stage is frequently misdiagnosed as an infection or gout.
  • Coalescence (Fragmentation) Phase: The body attempts to heal the damaged bones, but often does so improperly, leading to the fusion of joints in abnormal positions.
  • Reconstruction (Consolidation) Phase: The inflammation subsides, but the foot remains permanently deformed, leaving the patient at high risk for future skin ulcers.

Recognizing the Early Warning Signs

Early detection is the single most important factor in preventing long-term disability. Because Charcot Arthropathy Foot is linked to neuropathy, patients often fail to feel the initial injury, making visual and tactile monitoring essential. If you have diabetes, you must perform a daily foot check.

Watch for these primary red flags:

  • Unilateral Swelling: One foot appears significantly more swollen than the other.
  • Localized Heat: If the foot feels warm or hot to the touch compared to the ankle or the opposite foot.
  • Redness or Discoloration: Sudden changes in the skin color, often appearing inflamed.
  • Changes in Shape: Any visible change to the arch or the alignment of the toes.

⚠️ Note: If you notice any of these symptoms, avoid putting weight on the foot immediately and consult a podiatrist or orthopedic specialist to prevent rapid bone destruction.

Diagnostic Procedures and Clinical Evaluation

Doctors typically diagnose Charcot Arthropathy Foot through a combination of clinical history and imaging. Physical exams are used to assess the range of motion and look for signs of neuropathy. Imaging is critical to differentiate Charcot foot from cellulitis or other bone infections.

Diagnostic Tool Purpose
X-ray Detects fractures, dislocations, and bone fragments.
MRI Provides high-detail images of soft tissue and bone marrow edema.
Blood Tests Rules out systemic infections or inflammatory arthritic conditions.

Treatment Strategies and Management

The gold standard for treating Charcot Arthropathy Foot in the active phase is offloading. This means removing all pressure from the affected foot to allow the bones to stabilize. Patients are typically placed in a Total Contact Cast (TCC) or a removable walking boot that prevents the foot from bearing weight. This process can take several months, requiring patience and strict adherence to medical advice.

Beyond offloading, management strategies include:

  • Strict Glucose Control: High blood sugar levels interfere with the body's natural bone-healing process.
  • Orthotics and Bracing: Once the acute inflammation subsides, custom-molded orthotics or braces are often required to support the compromised foot architecture.
  • Surgical Intervention: In severe cases where the foot has become too unstable to support weight or where ulcers are constantly recurring, surgery may be necessary to realign the bones and fuse joints.

Lifestyle Adjustments and Long-term Prevention

Living with the aftermath of Charcot Arthropathy Foot requires a fundamental shift in daily habits. Because the foot’s structure has changed, the pressure points during walking are redistributed. This creates new areas of vulnerability where calluses and ulcers can form. Footwear choices become life-saving decisions; "off-the-shelf" shoes are rarely appropriate. Instead, most patients benefit from diabetic depth-inlay shoes and custom-molded inserts that provide a wider base and minimize shear forces.

Prevention of future complications should focus on:

  • Daily Foot Inspections: Utilizing a mirror to check the bottoms of the feet for any signs of redness, blisters, or skin breaks.
  • Professional Podiatric Care: Regular appointments to trim nails and remove calluses professionally.
  • Monitoring Circulation: Ensuring that blood flow to the lower extremities remains adequate, as poor circulation complicates healing.

💡 Note: Always wear socks made of moisture-wicking material to keep the feet dry, as trapped moisture increases the risk of skin breakdown.

Managing the health of your feet while living with diabetes is a continuous journey that requires vigilance and proactive care. Charcot Arthropathy Foot is a formidable challenge, but it does not have to result in a loss of mobility. By recognizing the subtle early signs, seeking immediate intervention during the inflammatory stage, and committing to long-term protective strategies like custom footwear and strict offloading, patients can preserve their functionality. The success of treatment relies heavily on the partnership between the patient and their healthcare team. Through consistent monitoring and an unwavering dedication to blood sugar management, you can protect your foot health and maintain an active, independent lifestyle for years to come.

Related Terms:

  • diabetic foot deformity pictures
  • is charcot foot permanent
  • what is charcot foot disorder
  • picture of charcot foot
  • does charcot foot go away
  • charcot foot healing time